Thrombolysis and extracorporeal cardiopulmonary resuscitation for cardiac arrest due to pulmonary embolism: A case report.

Guan-Xing Yuan, Zhi-Ping Zhang, Jia Zhou
{"title":"Thrombolysis and extracorporeal cardiopulmonary resuscitation for cardiac arrest due to pulmonary embolism: A case report.","authors":"Guan-Xing Yuan, Zhi-Ping Zhang, Jia Zhou","doi":"10.5492/wjccm.v14.i1.97443","DOIUrl":null,"url":null,"abstract":"<p><strong>Background: </strong>Cardiac arrest caused by acute pulmonary embolism (PE) is the most serious clinical circumstance, necessitating rapid identification, immediate cardiopulmonary resuscitation (CPR), and systemic thrombolytic therapy. Extracorporeal CPR (ECPR) is typically employed as a rescue therapy for selected patients when conventional CPR is failing in settings where it can be implemented.</p><p><strong>Case summary: </strong>We present a case of a 69-year-old male who experienced a prolonged cardiac arrest in an ambulance with pulseless electrical activity. Upon arrival at the emergency department with ongoing manual chest compressions, bedside point-of-care ultrasound revealed an enlarged right ventricle without contractility. Acute PE was suspected as the cause of cardiac arrest, and intravenous thrombolytic therapy with 50 mg tissue plasminogen activator was administered during mechanical chest compressions. Despite 31 minutes of CPR, return of spontaneous circulation was not achieved until 8 minutes after initiation of Veno-arterial extracorporeal membrane oxygenation (ECMO) support. Under ECMO support, the hemodynamic status and myocardial contractility significantly improved. However, the patient ultimately did not survive due to intracerebral hemorrhagic complications, leading to death a few days later in the hospital.</p><p><strong>Conclusion: </strong>This case illustrates the potential of combining systemic thrombolysis with ECPR for refractory cardiac arrest caused by acute PE, but it also highlights the increased risk of significant bleeding complications, including fatal intracranial hemorrhage.</p>","PeriodicalId":66959,"journal":{"name":"世界危重病急救学杂志(英文版)","volume":"14 1","pages":"97443"},"PeriodicalIF":0.0000,"publicationDate":"2025-03-09","publicationTypes":"Journal Article","fieldsOfStudy":null,"isOpenAccess":false,"openAccessPdf":"https://www.ncbi.nlm.nih.gov/pmc/articles/PMC11671844/pdf/","citationCount":"0","resultStr":null,"platform":"Semanticscholar","paperid":null,"PeriodicalName":"世界危重病急救学杂志(英文版)","FirstCategoryId":"3","ListUrlMain":"https://doi.org/10.5492/wjccm.v14.i1.97443","RegionNum":0,"RegionCategory":null,"ArticlePicture":[],"TitleCN":null,"AbstractTextCN":null,"PMCID":null,"EPubDate":"","PubModel":"","JCR":"","JCRName":"","Score":null,"Total":0}
引用次数: 0

Abstract

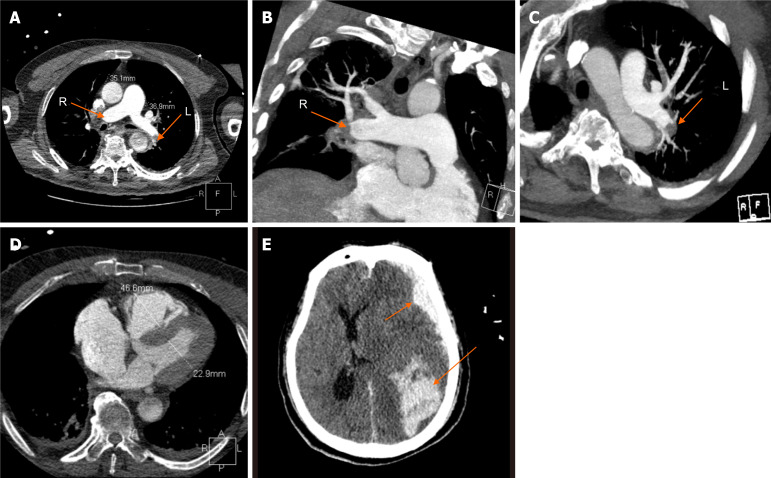
Background: Cardiac arrest caused by acute pulmonary embolism (PE) is the most serious clinical circumstance, necessitating rapid identification, immediate cardiopulmonary resuscitation (CPR), and systemic thrombolytic therapy. Extracorporeal CPR (ECPR) is typically employed as a rescue therapy for selected patients when conventional CPR is failing in settings where it can be implemented.

Case summary: We present a case of a 69-year-old male who experienced a prolonged cardiac arrest in an ambulance with pulseless electrical activity. Upon arrival at the emergency department with ongoing manual chest compressions, bedside point-of-care ultrasound revealed an enlarged right ventricle without contractility. Acute PE was suspected as the cause of cardiac arrest, and intravenous thrombolytic therapy with 50 mg tissue plasminogen activator was administered during mechanical chest compressions. Despite 31 minutes of CPR, return of spontaneous circulation was not achieved until 8 minutes after initiation of Veno-arterial extracorporeal membrane oxygenation (ECMO) support. Under ECMO support, the hemodynamic status and myocardial contractility significantly improved. However, the patient ultimately did not survive due to intracerebral hemorrhagic complications, leading to death a few days later in the hospital.

Conclusion: This case illustrates the potential of combining systemic thrombolysis with ECPR for refractory cardiac arrest caused by acute PE, but it also highlights the increased risk of significant bleeding complications, including fatal intracranial hemorrhage.

Abstract Image

溶栓和体外心肺复苏治疗肺栓塞引起的心脏骤停1例。
背景:急性肺栓塞(PE)引起的心脏骤停是最严重的临床情况,需要快速识别,立即进行心肺复苏(CPR)和全身溶栓治疗。体外心肺复苏术(Extracorporeal CPR, ECPR)通常是在传统心肺复苏术无法实施的情况下,作为特定患者的一种抢救治疗方法。病例总结:我们提出一个病例69岁的男性谁经历了长时间的心脏骤停与无脉电活动的救护车。在到达急诊科进行持续的手动胸外按压后,床边护理点超声显示右心室增大,无收缩性。急性PE被怀疑是心脏骤停的原因,在机械胸外按压期间给予50mg组织型纤溶酶原激活剂静脉溶栓治疗。尽管进行了31分钟的心肺复苏术,自发循环的恢复直到开始静脉-动脉体外膜氧合(ECMO)支持8分钟后才实现。在ECMO支持下,血流动力学状态和心肌收缩力明显改善。然而,由于脑出血并发症,患者最终未能存活,几天后在医院死亡。结论:该病例说明了全身溶栓联合ECPR治疗急性PE引起的难治性心脏骤停的潜力,但也突出了显著出血并发症(包括致命性颅内出血)的风险增加。
本文章由计算机程序翻译,如有差异,请以英文原文为准。
求助全文
约1分钟内获得全文 求助全文
来源期刊
自引率
0.00%
发文量
216
×
引用
GB/T 7714-2015
复制
MLA
复制
APA
复制
导出至
BibTeX EndNote RefMan NoteFirst NoteExpress
×
提示
您的信息不完整,为了账户安全,请先补充。
现在去补充
×
提示
您因"违规操作"
具体请查看互助需知
我知道了
×
提示
确定
请完成安全验证×
copy
已复制链接
快去分享给好友吧!
我知道了
右上角分享
点击右上角分享
0
联系我们:info@booksci.cn Book学术提供免费学术资源搜索服务,方便国内外学者检索中英文文献。致力于提供最便捷和优质的服务体验。 Copyright © 2023 布克学术 All rights reserved.
京ICP备2023020795号-1
ghs 京公网安备 11010802042870号
Book学术文献互助
Book学术文献互助群
群 号:604180095
Book学术官方微信