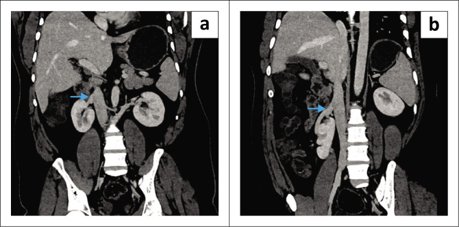
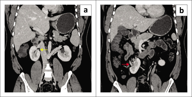
Incidentally detected right partially fused, malrotated, supernumerary kidney.

IF 0.9 Q4 RADIOLOGY, NUCLEAR MEDICINE & MEDICAL IMAGING
SA Journal of Radiology Pub Date : 2025-02-17 eCollection Date: 2025-01-01 DOI:10.4102/sajr.v29i1.3054
Nishanth Raavani Kumaraswamy, Sushmita Balol, Vittal Manohar, Yashwanth Naik, Shubha Tavarakere Shamasundara
{"title":"Incidentally detected right partially fused, malrotated, supernumerary kidney.","authors":"Nishanth Raavani Kumaraswamy, Sushmita Balol, Vittal Manohar, Yashwanth Naik, Shubha Tavarakere Shamasundara","doi":"10.4102/sajr.v29i1.3054","DOIUrl":null,"url":null,"abstract":"<p><p>Supernumerary kidney (SK) is an uncommon anomaly of the urinary tract, usually occurring on the left side. A rare case of a partially-fused, SK on the right side is presented. The diagnosis is made through the identification of a distinct pelvicalyceal system along with its supplying renal artery and vein, utilising ultrasound, CT, or MRI.</p><p><strong>Contribution: </strong>Correct diagnosis of partially-fused, supernumerary kidneys based on imaging is crucial to avoid unnecessary procedures, so that asymptomatic cases are managed conservatively.</p>","PeriodicalId":43442,"journal":{"name":"SA Journal of Radiology","volume":"29 1","pages":"3054"},"PeriodicalIF":0.9000,"publicationDate":"2025-02-17","publicationTypes":"Journal Article","fieldsOfStudy":null,"isOpenAccess":false,"openAccessPdf":"https://www.ncbi.nlm.nih.gov/pmc/articles/PMC11886458/pdf/","citationCount":"0","resultStr":null,"platform":"Semanticscholar","paperid":null,"PeriodicalName":"SA Journal of Radiology","FirstCategoryId":"1085","ListUrlMain":"https://doi.org/10.4102/sajr.v29i1.3054","RegionNum":0,"RegionCategory":null,"ArticlePicture":[],"TitleCN":null,"AbstractTextCN":null,"PMCID":null,"EPubDate":"2025/1/1 0:00:00","PubModel":"eCollection","JCR":"Q4","JCRName":"RADIOLOGY, NUCLEAR MEDICINE & MEDICAL IMAGING","Score":null,"Total":0}
引用次数: 0

Abstract

Supernumerary kidney (SK) is an uncommon anomaly of the urinary tract, usually occurring on the left side. A rare case of a partially-fused, SK on the right side is presented. The diagnosis is made through the identification of a distinct pelvicalyceal system along with its supplying renal artery and vein, utilising ultrasound, CT, or MRI.

Contribution: Correct diagnosis of partially-fused, supernumerary kidneys based on imaging is crucial to avoid unnecessary procedures, so that asymptomatic cases are managed conservatively.

Abstract Image

Abstract Image

Abstract Image

偶然发现右侧部分融合,旋转不良,多肾。
摘要多余肾(SK)是一种罕见的泌尿道异常,通常发生在左侧。一个罕见的情况下,部分融合,SK在右侧提出。诊断是通过识别一个独特的骨盆骨盆系统及其供应肾动脉和静脉,利用超声,CT或MRI。贡献:基于影像的部分融合、多肾的正确诊断对于避免不必要的手术至关重要,因此对无症状的病例进行保守处理。
本文章由计算机程序翻译,如有差异,请以英文原文为准。
求助全文
约1分钟内获得全文 求助全文
来源期刊
SA Journal of Radiology
SA Journal of Radiology RADIOLOGY, NUCLEAR MEDICINE & MEDICAL IMAGING-
CiteScore
1.20
自引率
11.10%
发文量
35
审稿时长
16 weeks
期刊介绍: The SA Journal of Radiology is the official journal of the Radiological Society of South Africa and the Professional Association of Radiologists in South Africa and Namibia. The SA Journal of Radiology is a general diagnostic radiological journal which carries original research and review articles, pictorial essays, case reports, letters, editorials, radiological practice and other radiological articles.
×
引用
GB/T 7714-2015
复制
MLA
复制
APA
复制
导出至
BibTeX EndNote RefMan NoteFirst NoteExpress
×
提示
您的信息不完整,为了账户安全,请先补充。
现在去补充
×
提示
您因"违规操作"
具体请查看互助需知
我知道了
×
提示
确定
请完成安全验证×
copy
已复制链接
快去分享给好友吧!
我知道了
右上角分享
点击右上角分享
0
联系我们:info@booksci.cn Book学术提供免费学术资源搜索服务,方便国内外学者检索中英文文献。致力于提供最便捷和优质的服务体验。 Copyright © 2023 布克学术 All rights reserved.
京ICP备2023020795号-1
ghs 京公网安备 11010802042870号
Book学术文献互助
Book学术文献互助群
群 号:604180095
Book学术官方微信