Radiological outcomes of two non-surgical management methods for mid-shaft clavicle fractures in school-age children: No difference between figure-of-eight bandage and arm sling.

IF 1
Ali Engin Daştan, Arman Vahabi, Volga Öztürk, Taha Ahmet Türkoğlu, Aytek Hüseyin Çeliksöz, Okan Tezgel, Levent Küçük, Erhan Coşkunol, Kemal Aktuğlu
{"title":"Radiological outcomes of two non-surgical management methods for mid-shaft clavicle fractures in school-age children: No difference between figure-of-eight bandage and arm sling.","authors":"Ali Engin Daştan, Arman Vahabi, Volga Öztürk, Taha Ahmet Türkoğlu, Aytek Hüseyin Çeliksöz, Okan Tezgel, Levent Küçük, Erhan Coşkunol, Kemal Aktuğlu","doi":"10.14744/tjtes.2025.29946","DOIUrl":null,"url":null,"abstract":"<p><strong>Background: </strong>Although non-surgical management is a commonly used treatment for pediatric clavicle fractures, there is limited data in the literature regarding the most effective method. This study aims to compare the radiological outcomes of the figure-of-eight bandage versus the arm sling in the treatment of mid-shaft clavicle fractures in school-age children.</p><p><strong>Methods: </strong>Patients were divided into two groups based on the preferred conservative management method: Group 1 (arm sling) and Group 2 (figure-of-eight bandage). The degree of angulation and shortening was measured at initial admission and during follow-up. Demographic characteristics and radiological data were compared between the two groups.</p><p><strong>Results: </strong>Group 1 included 10 girls and 10 boys, while Group 2 included 12 girls and 17 boys (p=0.761). The mean shortening at initial presentation was 7.28+-6.06 mm in Group 1 and 6.65+-5.58 mm in Group 2 (p=0.625). At follow-up, the mean shortening was 6.24+-5.59 mm in Group 1 and 5.59+-4.91 mm in Group 2 (p=0.569). The mean angulation at initial presentation was 21.28+-10.05° in Group 1 and 20.41+-12.23° in Group 2 (p=0.752). At follow-up, the mean angulation was 14.45+-9.41° in Group 1 and 11.82+-10.27° in Group 2 (p=0.189). In intra-group comparisons, no significant difference was found between the initial shortening and follow-up shortening in either group (Group 1: p=0.062; Group 2: p=0.190). A significant reduction in angulation was observed in both groups during follow-up (p=0.001 for Group 1; p=0.001 for Group 2).</p><p><strong>Conclusion: </strong>The radiological outcomes of the figure-of-eight bandage and the arm sling in the treatment of mid-shaft clavicle fractures in school-age children are similar.</p>","PeriodicalId":94263,"journal":{"name":"Ulusal travma ve acil cerrahi dergisi = Turkish journal of trauma & emergency surgery : TJTES","volume":"31 3","pages":"303-309"},"PeriodicalIF":1.0000,"publicationDate":"2025-03-01","publicationTypes":"Journal Article","fieldsOfStudy":null,"isOpenAccess":false,"openAccessPdf":"https://www.ncbi.nlm.nih.gov/pmc/articles/PMC11894237/pdf/","citationCount":"0","resultStr":null,"platform":"Semanticscholar","paperid":null,"PeriodicalName":"Ulusal travma ve acil cerrahi dergisi = Turkish journal of trauma & emergency surgery : TJTES","FirstCategoryId":"1085","ListUrlMain":"https://doi.org/10.14744/tjtes.2025.29946","RegionNum":0,"RegionCategory":null,"ArticlePicture":[],"TitleCN":null,"AbstractTextCN":null,"PMCID":null,"EPubDate":"","PubModel":"","JCR":"","JCRName":"","Score":null,"Total":0}
引用次数: 0

Abstract

Background: Although non-surgical management is a commonly used treatment for pediatric clavicle fractures, there is limited data in the literature regarding the most effective method. This study aims to compare the radiological outcomes of the figure-of-eight bandage versus the arm sling in the treatment of mid-shaft clavicle fractures in school-age children.

Methods: Patients were divided into two groups based on the preferred conservative management method: Group 1 (arm sling) and Group 2 (figure-of-eight bandage). The degree of angulation and shortening was measured at initial admission and during follow-up. Demographic characteristics and radiological data were compared between the two groups.

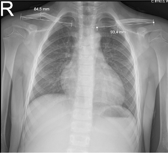
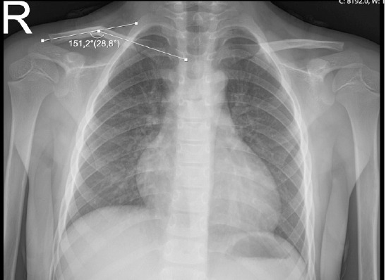
Results: Group 1 included 10 girls and 10 boys, while Group 2 included 12 girls and 17 boys (p=0.761). The mean shortening at initial presentation was 7.28+-6.06 mm in Group 1 and 6.65+-5.58 mm in Group 2 (p=0.625). At follow-up, the mean shortening was 6.24+-5.59 mm in Group 1 and 5.59+-4.91 mm in Group 2 (p=0.569). The mean angulation at initial presentation was 21.28+-10.05° in Group 1 and 20.41+-12.23° in Group 2 (p=0.752). At follow-up, the mean angulation was 14.45+-9.41° in Group 1 and 11.82+-10.27° in Group 2 (p=0.189). In intra-group comparisons, no significant difference was found between the initial shortening and follow-up shortening in either group (Group 1: p=0.062; Group 2: p=0.190). A significant reduction in angulation was observed in both groups during follow-up (p=0.001 for Group 1; p=0.001 for Group 2).

Conclusion: The radiological outcomes of the figure-of-eight bandage and the arm sling in the treatment of mid-shaft clavicle fractures in school-age children are similar.

Abstract Image

Abstract Image

Abstract Image

两种非手术治疗学龄儿童锁骨中段骨折的影像学结果:八字绷带与臂吊无差异。
背景:虽然非手术治疗是儿童锁骨骨折的常用治疗方法,但文献中关于最有效方法的数据有限。本研究的目的是比较八字绷带与臂吊带治疗学龄儿童锁骨中段骨折的放射学结果。方法:根据首选的保守治疗方法将患者分为两组:1组(臂吊)和2组(8字形绷带)。在初次入院和随访期间测量成角和缩短的程度。比较两组患者的人口学特征和放射学资料。结果:组1女生10名,男生10名;组2女生12名,男生17名(p=0.761)。组1和组2的平均缩短时间分别为7.28+-6.06 mm和6.65+-5.58 mm (p=0.625)。随访时,组1平均缩短6.24+-5.59 mm,组2平均缩短5.59+-4.91 mm (p=0.569)。第1组的平均角度为21.28+-10.05°,第2组为20.41+-12.23°(p=0.752)。随访时,组1平均成角14.45+-9.41°,组2平均成角11.82+-10.27°(p=0.189)。组内比较,两组患者初始缩短与随访缩短均无显著差异(1组:p=0.062;第二组:p=0.190)。随访期间,两组的成角度均显著降低(第一组p=0.001;结论:八字绷带与臂吊带治疗学龄期儿童锁骨中段骨折的放射学效果相近。
本文章由计算机程序翻译,如有差异,请以英文原文为准。
求助全文
约1分钟内获得全文 求助全文
来源期刊
自引率
0.00%
发文量
0
×
引用
GB/T 7714-2015
复制
MLA
复制
APA
复制
导出至
BibTeX EndNote RefMan NoteFirst NoteExpress
×
提示
您的信息不完整,为了账户安全,请先补充。
现在去补充
×
提示
您因"违规操作"
具体请查看互助需知
我知道了
×
提示
确定
请完成安全验证×
copy
已复制链接
快去分享给好友吧!
我知道了
右上角分享
点击右上角分享
0
联系我们:info@booksci.cn Book学术提供免费学术资源搜索服务,方便国内外学者检索中英文文献。致力于提供最便捷和优质的服务体验。 Copyright © 2023 布克学术 All rights reserved.
京ICP备2023020795号-1
ghs 京公网安备 11010802042870号
Book学术文献互助
Book学术文献互助群
群 号:604180095
Book学术官方微信