Efficiency of intranodal lymphangiography in the treatment of postoperative lymphatic leakage.

IF 1
Ahmet Baş, Ahmet Üstündağ, Muhammet Özdemir, Sefa Ergün, Cesur Samancı, Osman Şimşek, Onur Tutar
{"title":"Efficiency of intranodal lymphangiography in the treatment of postoperative lymphatic leakage.","authors":"Ahmet Baş, Ahmet Üstündağ, Muhammet Özdemir, Sefa Ergün, Cesur Samancı, Osman Şimşek, Onur Tutar","doi":"10.14744/tjtes.2024.79444","DOIUrl":null,"url":null,"abstract":"<p><strong>Background: </strong>This study aimed to evaluate the safety and efficacy of intranodal lymphangiography (IL) for the treatment of postoperative chyle leakage (CL), chylothorax, and chylous ascites.</p><p><strong>Methods: </strong>Between April 2018 and July 2022, eight patients who underwent IL for CL following thyroid and thoraco-abdominal surgeries were included in this retrospective study. Among these eight patients, six underwent bilateral total thyroidectomy, one underwent lobectomy of the lung, and one underwent total abdominal hysterectomy with bilateral salpingo-oophorectomy. Prior to the procedure, thoracic duct ligation was attempted in one patient. Lymphangiographic findings, technical and clinical success rates, and complications were analyzed. Technical success was defined as the successful ultrasound-guided puncture of an inguinal lymph node and the opacification of the lymphatic system in the pelvis and abdomen by fluoroscopy. Clinical success was defined as a progressively decreasing drain output, culminating in the cessation of output within one week after the procedure.</p><p><strong>Results: </strong>Technical and clinical success was achieved in all patients. On lymphangiography, ethiodized oil leakage near the surgical bed was identified in seven of the eight patients. The median time from the procedure to drain removal was three days (range: 1-6 days) for patients who underwent surgical drainage. No recurrence of CL, chylothorax, or chylous ascites was observed during the follow-up period (range: 21-73 months; median: 38 months).</p><p><strong>Conclusion: </strong>Intranodal lymphangiography appears to be a safe and effective minimally invasive treatment option for CL following thyroid and thoraco-abdominal surgeries, demonstrating acceptable technical and clinical success rates.</p>","PeriodicalId":94263,"journal":{"name":"Ulusal travma ve acil cerrahi dergisi = Turkish journal of trauma & emergency surgery : TJTES","volume":"31 3","pages":"221-225"},"PeriodicalIF":1.0000,"publicationDate":"2025-03-01","publicationTypes":"Journal Article","fieldsOfStudy":null,"isOpenAccess":false,"openAccessPdf":"https://www.ncbi.nlm.nih.gov/pmc/articles/PMC11894238/pdf/","citationCount":"0","resultStr":null,"platform":"Semanticscholar","paperid":null,"PeriodicalName":"Ulusal travma ve acil cerrahi dergisi = Turkish journal of trauma & emergency surgery : TJTES","FirstCategoryId":"1085","ListUrlMain":"https://doi.org/10.14744/tjtes.2024.79444","RegionNum":0,"RegionCategory":null,"ArticlePicture":[],"TitleCN":null,"AbstractTextCN":null,"PMCID":null,"EPubDate":"","PubModel":"","JCR":"","JCRName":"","Score":null,"Total":0}
引用次数: 0

Abstract

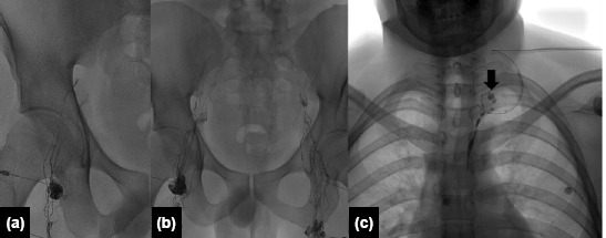
Background: This study aimed to evaluate the safety and efficacy of intranodal lymphangiography (IL) for the treatment of postoperative chyle leakage (CL), chylothorax, and chylous ascites.

Methods: Between April 2018 and July 2022, eight patients who underwent IL for CL following thyroid and thoraco-abdominal surgeries were included in this retrospective study. Among these eight patients, six underwent bilateral total thyroidectomy, one underwent lobectomy of the lung, and one underwent total abdominal hysterectomy with bilateral salpingo-oophorectomy. Prior to the procedure, thoracic duct ligation was attempted in one patient. Lymphangiographic findings, technical and clinical success rates, and complications were analyzed. Technical success was defined as the successful ultrasound-guided puncture of an inguinal lymph node and the opacification of the lymphatic system in the pelvis and abdomen by fluoroscopy. Clinical success was defined as a progressively decreasing drain output, culminating in the cessation of output within one week after the procedure.

Results: Technical and clinical success was achieved in all patients. On lymphangiography, ethiodized oil leakage near the surgical bed was identified in seven of the eight patients. The median time from the procedure to drain removal was three days (range: 1-6 days) for patients who underwent surgical drainage. No recurrence of CL, chylothorax, or chylous ascites was observed during the follow-up period (range: 21-73 months; median: 38 months).

Conclusion: Intranodal lymphangiography appears to be a safe and effective minimally invasive treatment option for CL following thyroid and thoraco-abdominal surgeries, demonstrating acceptable technical and clinical success rates.

Abstract Image

Abstract Image

结内淋巴管造影治疗术后淋巴漏的效果。
背景:本研究旨在评价结内淋巴管造影(IL)治疗术后乳糜漏(CL)、乳糜胸和乳糜腹水的安全性和有效性。方法:回顾性研究2018年4月至2022年7月期间,8例甲状腺和胸腹手术后接受IL治疗CL的患者。在这8例患者中,6例行双侧甲状腺全切除术,1例行肺叶切除术,1例行腹部全子宫切除术并双侧输卵管-卵巢切除术。在手术之前,曾有一名患者尝试过胸导管结扎术。分析淋巴管造影结果、技术及临床成功率及并发症。技术上的成功被定义为超声引导下成功穿刺腹股沟淋巴结和透视下骨盆和腹部淋巴系统的混浊。临床成功被定义为引流液输出逐渐减少,最终在手术后一周内停止输出。结果:所有患者均取得技术和临床成功。在淋巴管造影中,8名患者中有7名在手术床附近发现了乙硫化油泄漏。对于手术引流的患者,从手术到引流的中位时间为3天(范围:1-6天)。随访期间(21-73个月;中位数:38个月)。结论:结内淋巴管造影似乎是甲状腺和胸腹手术后CL的安全有效的微创治疗选择,显示出可接受的技术和临床成功率。
本文章由计算机程序翻译,如有差异,请以英文原文为准。
求助全文
约1分钟内获得全文 求助全文
来源期刊
自引率
0.00%
发文量
0
×
引用
GB/T 7714-2015
复制
MLA
复制
APA
复制
导出至
BibTeX EndNote RefMan NoteFirst NoteExpress
×
提示
您的信息不完整,为了账户安全,请先补充。
现在去补充
×
提示
您因"违规操作"
具体请查看互助需知
我知道了
×
提示
确定
请完成安全验证×
copy
已复制链接
快去分享给好友吧!
我知道了
右上角分享
点击右上角分享
0
联系我们:info@booksci.cn Book学术提供免费学术资源搜索服务,方便国内外学者检索中英文文献。致力于提供最便捷和优质的服务体验。 Copyright © 2023 布克学术 All rights reserved.
京ICP备2023020795号-1
ghs 京公网安备 11010802042870号
Book学术文献互助
Book学术文献互助群
群 号:604180095
Book学术官方微信