Endovascular treatment of a giant arteria lusoria aneurysm in a young female with Marfan syndrome.

IF 0.5 Q4 RADIOLOGY, NUCLEAR MEDICINE & MEDICAL IMAGING
BJR Case Reports Pub Date : 2025-02-07 eCollection Date: 2025-03-01 DOI:10.1093/bjrcr/uaaf005
Sandra Fraund-Cremer, Rene Rusch, Anselm Uebing, Inga Voges, Philipp Schäfer
{"title":"Endovascular treatment of a giant arteria lusoria aneurysm in a young female with Marfan syndrome.","authors":"Sandra Fraund-Cremer, Rene Rusch, Anselm Uebing, Inga Voges, Philipp Schäfer","doi":"10.1093/bjrcr/uaaf005","DOIUrl":null,"url":null,"abstract":"<p><p>Aneurysms of an aberrant right subclavian artery (ARSA) are rare but constitute a potentially lethal condition, especially with concomitant Marfan syndrome (MFS). A 27-year-old female with confirmed MFS presented with a relevant progression of a known aneurysm of an ARSA in MRI. The patient had undergone valve-sparing aortic root replacement (David procedure) 4 months prior. After interdisciplinary discussion, she underwent endovascular exclusion of the aneurysm using a combination of established vascular plugs and novel shape memory polymer embolization plugs to fill the large ARSA aneurysm volume. The shape memory polymer embolization plugs expand in the vessel to a porous scaffold, designed to support thrombus formation throughout its structure. The polymer is also radiolucent, which minimizes artefact and facilitates follow-up imaging. Development of a strategy for the treatment of ARSA aneurysms is challenging and different surgical, endovascular, and combined approaches have been published. Interdisciplinary discussion is crucial to minimize the overall risk and trauma. In our case of a young female and new mother, an endovascular approach was successfully and safely performed. The future need for surgery due to concomitant MFS is expected.</p>","PeriodicalId":45216,"journal":{"name":"BJR Case Reports","volume":"11 2","pages":"uaaf005"},"PeriodicalIF":0.5000,"publicationDate":"2025-02-07","publicationTypes":"Journal Article","fieldsOfStudy":null,"isOpenAccess":false,"openAccessPdf":"https://www.ncbi.nlm.nih.gov/pmc/articles/PMC11879303/pdf/","citationCount":"0","resultStr":null,"platform":"Semanticscholar","paperid":null,"PeriodicalName":"BJR Case Reports","FirstCategoryId":"1085","ListUrlMain":"https://doi.org/10.1093/bjrcr/uaaf005","RegionNum":0,"RegionCategory":null,"ArticlePicture":[],"TitleCN":null,"AbstractTextCN":null,"PMCID":null,"EPubDate":"2025/3/1 0:00:00","PubModel":"eCollection","JCR":"Q4","JCRName":"RADIOLOGY, NUCLEAR MEDICINE & MEDICAL IMAGING","Score":null,"Total":0}
引用次数: 0

Abstract

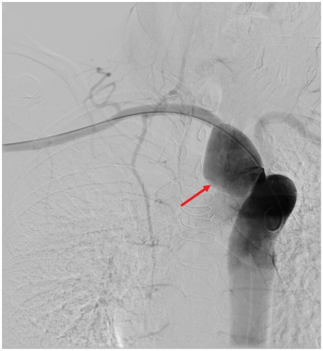
Aneurysms of an aberrant right subclavian artery (ARSA) are rare but constitute a potentially lethal condition, especially with concomitant Marfan syndrome (MFS). A 27-year-old female with confirmed MFS presented with a relevant progression of a known aneurysm of an ARSA in MRI. The patient had undergone valve-sparing aortic root replacement (David procedure) 4 months prior. After interdisciplinary discussion, she underwent endovascular exclusion of the aneurysm using a combination of established vascular plugs and novel shape memory polymer embolization plugs to fill the large ARSA aneurysm volume. The shape memory polymer embolization plugs expand in the vessel to a porous scaffold, designed to support thrombus formation throughout its structure. The polymer is also radiolucent, which minimizes artefact and facilitates follow-up imaging. Development of a strategy for the treatment of ARSA aneurysms is challenging and different surgical, endovascular, and combined approaches have been published. Interdisciplinary discussion is crucial to minimize the overall risk and trauma. In our case of a young female and new mother, an endovascular approach was successfully and safely performed. The future need for surgery due to concomitant MFS is expected.

Abstract Image

Abstract Image

Abstract Image

年轻女性马凡氏综合征巨大阔动脉动脉瘤的血管内治疗。
异常右锁骨下动脉(ARSA)的动脉瘤是罕见的,但构成了潜在的致命疾病,特别是伴随马凡氏综合征(MFS)。一位27岁的女性确诊MFS,在MRI上表现为已知的ARSA动脉瘤的相关进展。患者在4个月前接受了保留瓣膜的主动脉根部置换术(David手术)。在跨学科的讨论后,她接受了血管内动脉瘤排除术,使用已建立的血管塞和新型形状记忆聚合物栓塞塞的组合来填充大的ARSA动脉瘤体积。形状记忆聚合物栓塞塞在血管中膨胀成多孔支架,旨在支持血栓在其整个结构中形成。该聚合物也是辐射透光的,这最大限度地减少了伪影,便于后续成像。ARSA动脉瘤治疗策略的发展是具有挑战性的,不同的手术、血管内和联合治疗方法已经发表。跨学科的讨论对于最小化整体风险和创伤至关重要。在我们的病例中,一个年轻的女性和新妈妈,血管内入路是成功和安全的。由于合并MFS,预计未来需要手术治疗。
本文章由计算机程序翻译,如有差异,请以英文原文为准。
求助全文
约1分钟内获得全文 求助全文
来源期刊
BJR Case Reports
BJR Case Reports RADIOLOGY, NUCLEAR MEDICINE & MEDICAL IMAGING-
自引率
0.00%
发文量
77
审稿时长
11 weeks
×
引用
GB/T 7714-2015
复制
MLA
复制
APA
复制
导出至
BibTeX EndNote RefMan NoteFirst NoteExpress
×
提示
您的信息不完整,为了账户安全,请先补充。
现在去补充
×
提示
您因"违规操作"
具体请查看互助需知
我知道了
×
提示
确定
请完成安全验证×
copy
已复制链接
快去分享给好友吧!
我知道了
右上角分享
点击右上角分享
0
联系我们:info@booksci.cn Book学术提供免费学术资源搜索服务,方便国内外学者检索中英文文献。致力于提供最便捷和优质的服务体验。 Copyright © 2023 布克学术 All rights reserved.
京ICP备2023020795号-1
ghs 京公网安备 11010802042870号
Book学术文献互助
Book学术文献互助群
群 号:604180095
Book学术官方微信