A case of congenital fibular hemimelia associated with skeletal and non-skeletal malformations.

IF 0.5 Q4 RADIOLOGY, NUCLEAR MEDICINE & MEDICAL IMAGING
BJR Case Reports Pub Date : 2025-02-18 eCollection Date: 2025-03-01 DOI:10.1093/bjrcr/uaaf008
Mahmoud R Manasra, Rahaf E Farah, Roua E Farah, Sama S Yassin, Shadi A Abuisneina
{"title":"A case of congenital fibular hemimelia associated with skeletal and non-skeletal malformations.","authors":"Mahmoud R Manasra, Rahaf E Farah, Roua E Farah, Sama S Yassin, Shadi A Abuisneina","doi":"10.1093/bjrcr/uaaf008","DOIUrl":null,"url":null,"abstract":"<p><p>Fibular hemimelia (FH) is a rare congenital abnormality where the fibula is either totally or partially absent. It can occur alone or alongside other skeletal malformations, and in very few cases, it may occur along with non-skeletal anomalies. A 4-year-old female was diagnosed with unilateral right-sided FH, accompanied by limb shortening, a right-side ankle deformity, valgus foot, and 3 lateral rays that had been totally absent since the first week of birth. And she was incidentally diagnosed with spina bifida occulta at a 3-year-old age. FH is most commonly unilateral and mostly affects the right side, leads to a limb-length discrepancy, and maybe comes as a symptom of a syndrome such as Foetus-Fibula-Ulna syndrome and so on. Risk factors include prenatal history, drugs, and no supplementation intake. Together, these elements could be a contributing factor to our condition. The congenital limb abnormalities may be discovered during pregnancy by sonography. If present, other investigations need to be done to differentiate the diagnosis. Treatment according to degree: mild, moderate, and severe cases. In our case, the type 2 FH characteristic was shown by sonography, accompanied by limb shortening, lateral rays absent, and a non-skeletal anomaly (spina bifida). These anomalies very rarely come with each other at the same time. To the best of our knowledge, this case is exceptional in that FH is present at birth alongside spina bifida.</p>","PeriodicalId":45216,"journal":{"name":"BJR Case Reports","volume":"11 2","pages":"uaaf008"},"PeriodicalIF":0.5000,"publicationDate":"2025-02-18","publicationTypes":"Journal Article","fieldsOfStudy":null,"isOpenAccess":false,"openAccessPdf":"https://www.ncbi.nlm.nih.gov/pmc/articles/PMC11879310/pdf/","citationCount":"0","resultStr":null,"platform":"Semanticscholar","paperid":null,"PeriodicalName":"BJR Case Reports","FirstCategoryId":"1085","ListUrlMain":"https://doi.org/10.1093/bjrcr/uaaf008","RegionNum":0,"RegionCategory":null,"ArticlePicture":[],"TitleCN":null,"AbstractTextCN":null,"PMCID":null,"EPubDate":"2025/3/1 0:00:00","PubModel":"eCollection","JCR":"Q4","JCRName":"RADIOLOGY, NUCLEAR MEDICINE & MEDICAL IMAGING","Score":null,"Total":0}
引用次数: 0

Abstract

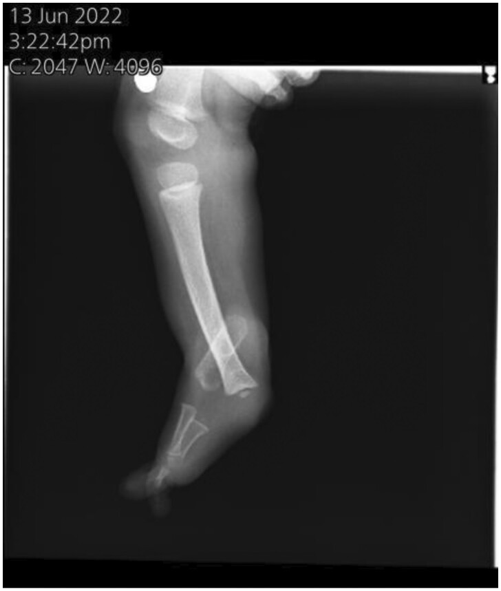
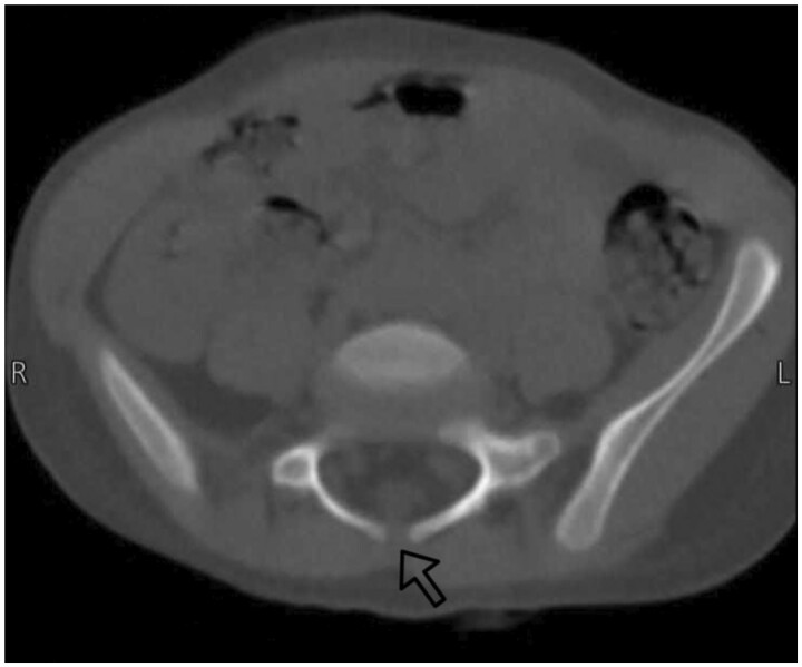
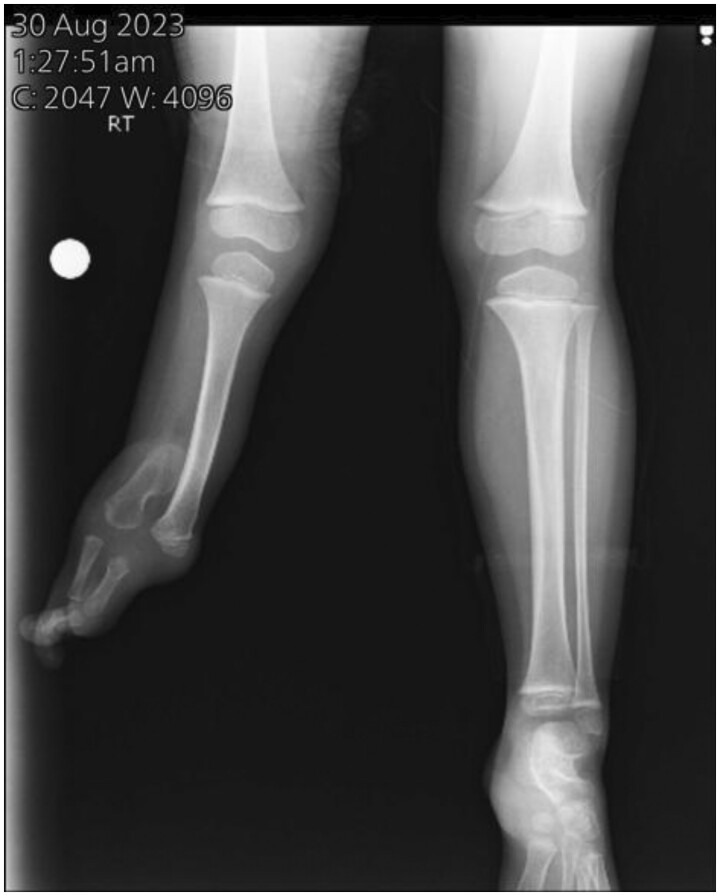
Fibular hemimelia (FH) is a rare congenital abnormality where the fibula is either totally or partially absent. It can occur alone or alongside other skeletal malformations, and in very few cases, it may occur along with non-skeletal anomalies. A 4-year-old female was diagnosed with unilateral right-sided FH, accompanied by limb shortening, a right-side ankle deformity, valgus foot, and 3 lateral rays that had been totally absent since the first week of birth. And she was incidentally diagnosed with spina bifida occulta at a 3-year-old age. FH is most commonly unilateral and mostly affects the right side, leads to a limb-length discrepancy, and maybe comes as a symptom of a syndrome such as Foetus-Fibula-Ulna syndrome and so on. Risk factors include prenatal history, drugs, and no supplementation intake. Together, these elements could be a contributing factor to our condition. The congenital limb abnormalities may be discovered during pregnancy by sonography. If present, other investigations need to be done to differentiate the diagnosis. Treatment according to degree: mild, moderate, and severe cases. In our case, the type 2 FH characteristic was shown by sonography, accompanied by limb shortening, lateral rays absent, and a non-skeletal anomaly (spina bifida). These anomalies very rarely come with each other at the same time. To the best of our knowledge, this case is exceptional in that FH is present at birth alongside spina bifida.

Abstract Image

Abstract Image

Abstract Image

先天性腓骨偏瘫伴骨骼及非骨骼畸形1例。
腓骨半缺症(FH)是一种罕见的先天性畸形,腓骨完全或部分缺失。它可以单独发生或与其他骨骼畸形一起发生,在极少数情况下,它可能与非骨骼异常一起发生。一名4岁女性被诊断为单侧右侧FH,并伴有肢体缩短、右侧踝关节畸形、足外翻和3条自出生第一周以来完全缺失的侧位射线。她在3岁时被偶然诊断出患有隐性脊柱裂。FH最常见的是单侧,主要影响右侧,导致肢体长度差异,可能是胎儿-腓骨-尺骨综合征等综合征的症状。危险因素包括产前病史、药物和未摄入补充剂。这些因素加在一起可能是导致我们病情的一个因素。妊娠期超声检查可发现先天性肢体畸形。如果出现,需要进行其他检查以鉴别诊断。按病情分治疗:轻、中、重度。在我们的病例中,2型FH特征通过超声显示,伴有肢体缩短,侧位射线缺失和非骨骼异常(脊柱裂)。这些异常现象很少同时出现。据我们所知,这个病例是例外的,因为FH在出生时伴随着脊柱裂。
本文章由计算机程序翻译,如有差异,请以英文原文为准。
求助全文
约1分钟内获得全文 求助全文
来源期刊
BJR Case Reports
BJR Case Reports RADIOLOGY, NUCLEAR MEDICINE & MEDICAL IMAGING-
自引率
0.00%
发文量
77
审稿时长
11 weeks
×
引用
GB/T 7714-2015
复制
MLA
复制
APA
复制
导出至
BibTeX EndNote RefMan NoteFirst NoteExpress
×
提示
您的信息不完整,为了账户安全,请先补充。
现在去补充
×
提示
您因"违规操作"
具体请查看互助需知
我知道了
×
提示
确定
请完成安全验证×
copy
已复制链接
快去分享给好友吧!
我知道了
右上角分享
点击右上角分享
0
联系我们:info@booksci.cn Book学术提供免费学术资源搜索服务,方便国内外学者检索中英文文献。致力于提供最便捷和优质的服务体验。 Copyright © 2023 布克学术 All rights reserved.
京ICP备2023020795号-1
ghs 京公网安备 11010802042870号
Book学术文献互助
Book学术文献互助群
群 号:604180095
Book学术官方微信