Assessing Co-Localization of ITM2B With Alzheimer's Disease and Limbic-Predominant Age-Related TDP-43 Encephalopathy Neuropathologic Changes.

IF 1.2 4区 医学 Q4 CLINICAL NEUROLOGY
Neuropathology Pub Date : 2025-08-01 Epub Date: 2025-03-05 DOI:10.1111/neup.70003
Ryan K Shahidehpour, Peter T Nelson, Sukanya Srinivasan, Zhong Yu, Adam D Bachstetter
{"title":"Assessing Co-Localization of ITM2B With Alzheimer's Disease and Limbic-Predominant Age-Related TDP-43 Encephalopathy Neuropathologic Changes.","authors":"Ryan K Shahidehpour, Peter T Nelson, Sukanya Srinivasan, Zhong Yu, Adam D Bachstetter","doi":"10.1111/neup.70003","DOIUrl":null,"url":null,"abstract":"<p><p>Mutations in the Integral membrane protein 2B (ITM2B) gene are linked to the development of familial British and Danish dementias, two relatively early-onset dementia disorders known also to be associated with Tau neurofibrillary tangles (NFTs). However, to date, the involvement of ITM2B in limbic-predominant age-related TDP-43 encephalopathy neuropathologic changes (LATE-NC) remains unclear. To address this question, we used brain samples from the University of Kentucky Alzheimer's Disease Research Center community-based autopsy cohort. We investigated the patterns and co-localizations of ITM2B immunohistochemistry in subiculum, CA1, CA2, CA3 and dentate gyrus of the hippocampus from brains with Alzheimer's disease neuropathologic changes (ADNC), LATE-NC, and comorbid ADNC+LATE-NC, as well as low-pathology controls (n = 4 per disease state). There was frequent co-localization between ITM2B protein and intracellular Tau pathology in ADNC; however, there was a far weaker rate of co-localization between ITM2B and TDP-43 pathology. There also was, as previously described, an association between ITM2B immunostaining and neuritic-appearing amyloid plaques. Additionally, co-localization of intracellular ITM2B pathology with Thioflavin-S in NFTs suggested a potential role for ITM2B in marking neurons undergoing transition from relatively healthy (early NFT-bearing cells) to more severely affected (later NFT-bearing) cellular disease states. This study indicates that ITM2B has a relatively specific pattern of involvement in Tau-related neurodegeneration and in neuritic amyloid plaques, while implying minimal, if any, role for ITM2B in the synergistic relationship between Tau and TDP-43 pathologies.</p>","PeriodicalId":19204,"journal":{"name":"Neuropathology","volume":" ","pages":"e70003"},"PeriodicalIF":1.2000,"publicationDate":"2025-08-01","publicationTypes":"Journal Article","fieldsOfStudy":null,"isOpenAccess":false,"openAccessPdf":"https://www.ncbi.nlm.nih.gov/pmc/articles/PMC12309431/pdf/","citationCount":"0","resultStr":null,"platform":"Semanticscholar","paperid":null,"PeriodicalName":"Neuropathology","FirstCategoryId":"3","ListUrlMain":"https://doi.org/10.1111/neup.70003","RegionNum":4,"RegionCategory":"医学","ArticlePicture":[],"TitleCN":null,"AbstractTextCN":null,"PMCID":null,"EPubDate":"2025/3/5 0:00:00","PubModel":"Epub","JCR":"Q4","JCRName":"CLINICAL NEUROLOGY","Score":null,"Total":0}
引用次数: 0

Abstract

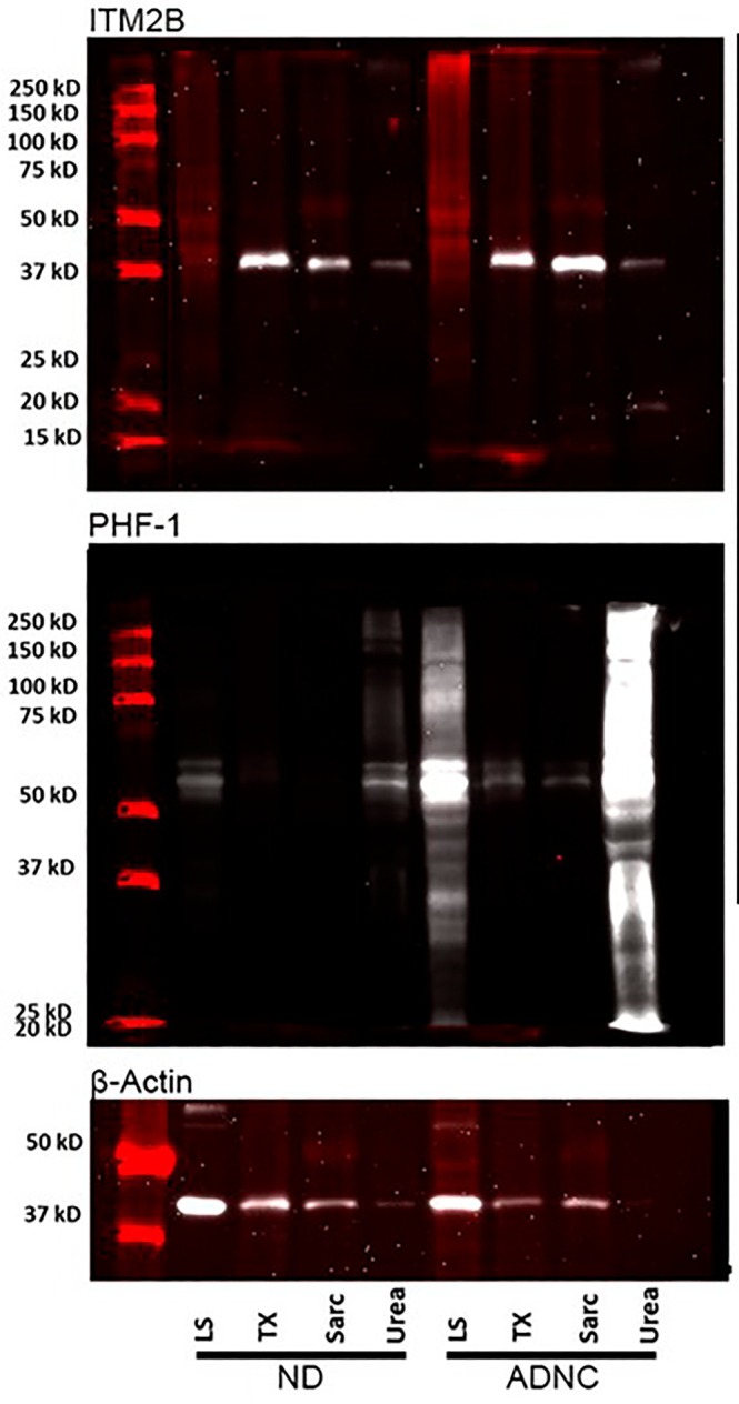
Mutations in the Integral membrane protein 2B (ITM2B) gene are linked to the development of familial British and Danish dementias, two relatively early-onset dementia disorders known also to be associated with Tau neurofibrillary tangles (NFTs). However, to date, the involvement of ITM2B in limbic-predominant age-related TDP-43 encephalopathy neuropathologic changes (LATE-NC) remains unclear. To address this question, we used brain samples from the University of Kentucky Alzheimer's Disease Research Center community-based autopsy cohort. We investigated the patterns and co-localizations of ITM2B immunohistochemistry in subiculum, CA1, CA2, CA3 and dentate gyrus of the hippocampus from brains with Alzheimer's disease neuropathologic changes (ADNC), LATE-NC, and comorbid ADNC+LATE-NC, as well as low-pathology controls (n = 4 per disease state). There was frequent co-localization between ITM2B protein and intracellular Tau pathology in ADNC; however, there was a far weaker rate of co-localization between ITM2B and TDP-43 pathology. There also was, as previously described, an association between ITM2B immunostaining and neuritic-appearing amyloid plaques. Additionally, co-localization of intracellular ITM2B pathology with Thioflavin-S in NFTs suggested a potential role for ITM2B in marking neurons undergoing transition from relatively healthy (early NFT-bearing cells) to more severely affected (later NFT-bearing) cellular disease states. This study indicates that ITM2B has a relatively specific pattern of involvement in Tau-related neurodegeneration and in neuritic amyloid plaques, while implying minimal, if any, role for ITM2B in the synergistic relationship between Tau and TDP-43 pathologies.

Abstract Image

Abstract Image

Abstract Image

评估ITM2B与阿尔茨海默病和边缘显性年龄相关TDP-43脑病的共定位
整体膜蛋白2B (ITM2B)基因突变与家族性英国和丹麦痴呆的发展有关,这两种相对早发性痴呆疾病也与Tau神经原纤维缠结(nft)有关。然而,迄今为止,ITM2B在边缘显性年龄相关性TDP-43脑病神经病理改变(LATE-NC)中的参与尚不清楚。为了解决这个问题,我们使用了肯塔基大学阿尔茨海默病研究中心社区尸检队列的大脑样本。我们研究了来自阿尔茨海默病神经病理改变(ADNC)、晚期nc、共病ADNC+晚期nc以及低病理对照(每种疾病状态n = 4)的大脑中ITM2B免疫组织化学的模式和共定位,包括海马体的托下、CA1、CA2、CA3和齿状回。ADNC中ITM2B蛋白与细胞内Tau蛋白常发生共定位;然而,ITM2B和TDP-43病理之间的共定位率要低得多。如前所述,ITM2B免疫染色与神经样淀粉样斑块之间也存在关联。此外,细胞内ITM2B病理与Thioflavin-S在NFTs中的共定位表明,ITM2B在标记从相对健康(早期携带nft的细胞)到更严重(后期携带nft的)细胞疾病状态转变的神经元中具有潜在作用。这项研究表明,ITM2B在Tau相关的神经变性和神经性淀粉样斑块中具有相对特定的参与模式,而ITM2B在Tau和TDP-43病理之间的协同关系中几乎没有作用。
本文章由计算机程序翻译,如有差异,请以英文原文为准。
求助全文
约1分钟内获得全文 求助全文
来源期刊
Neuropathology
Neuropathology 医学-病理学
CiteScore
4.10
自引率
4.30%
发文量
105
审稿时长
6-12 weeks
期刊介绍: Neuropathology is an international journal sponsored by the Japanese Society of Neuropathology and publishes peer-reviewed original papers dealing with all aspects of human and experimental neuropathology and related fields of research. The Journal aims to promote the international exchange of results and encourages authors from all countries to submit papers in the following categories: Original Articles, Case Reports, Short Communications, Occasional Reviews, Editorials and Letters to the Editor. All articles are peer-reviewed by at least two researchers expert in the field of the submitted paper.
×
引用
GB/T 7714-2015
复制
MLA
复制
APA
复制
导出至
BibTeX EndNote RefMan NoteFirst NoteExpress
×
提示
您的信息不完整,为了账户安全,请先补充。
现在去补充
×
提示
您因"违规操作"
具体请查看互助需知
我知道了
×
提示
确定
请完成安全验证×
copy
已复制链接
快去分享给好友吧!
我知道了
右上角分享
点击右上角分享
0
联系我们:info@booksci.cn Book学术提供免费学术资源搜索服务,方便国内外学者检索中英文文献。致力于提供最便捷和优质的服务体验。 Copyright © 2023 布克学术 All rights reserved.
京ICP备2023020795号-1
ghs 京公网安备 11010802042870号
Book学术文献互助
Book学术文献互助群
群 号:604180095
Book学术官方微信