Ruptured aneurysm of the medial posterior choroidal artery in the pineal region: A rare location easily missed.

Samuel Hall, Difei Wang, Vishnu Suresh, Nicholas Borg, Diederik Bulters
{"title":"Ruptured aneurysm of the medial posterior choroidal artery in the pineal region: A rare location easily missed.","authors":"Samuel Hall, Difei Wang, Vishnu Suresh, Nicholas Borg, Diederik Bulters","doi":"10.7461/jcen.2025.E2024.09.007","DOIUrl":null,"url":null,"abstract":"<p><p>Aneurysms of the pineal region are rare and theoretically could arise from the medial posterior choroidal artery (MPChoA) or lateral posterior choroidal arteries (LPChoA). A 64-year-old lady with subarachnoid haemorrhage (SAH) and intraventricular haemorrhage (IVH) due to a ruptured MPChoA aneurysm was treated with microsurgical aneurysm excision via an occipital interhemispheric approach. This case demonstrates the importance of being mindful of rare aneurysm locations when initial vascular imaging in SAH appears normal.</p>","PeriodicalId":94072,"journal":{"name":"Journal of cerebrovascular and endovascular neurosurgery","volume":" ","pages":"66-70"},"PeriodicalIF":0.0000,"publicationDate":"2025-03-01","publicationTypes":"Journal Article","fieldsOfStudy":null,"isOpenAccess":false,"openAccessPdf":"https://www.ncbi.nlm.nih.gov/pmc/articles/PMC11984263/pdf/","citationCount":"0","resultStr":null,"platform":"Semanticscholar","paperid":null,"PeriodicalName":"Journal of cerebrovascular and endovascular neurosurgery","FirstCategoryId":"1085","ListUrlMain":"https://doi.org/10.7461/jcen.2025.E2024.09.007","RegionNum":0,"RegionCategory":null,"ArticlePicture":[],"TitleCN":null,"AbstractTextCN":null,"PMCID":null,"EPubDate":"2025/3/4 0:00:00","PubModel":"Epub","JCR":"","JCRName":"","Score":null,"Total":0}
引用次数: 0

Abstract

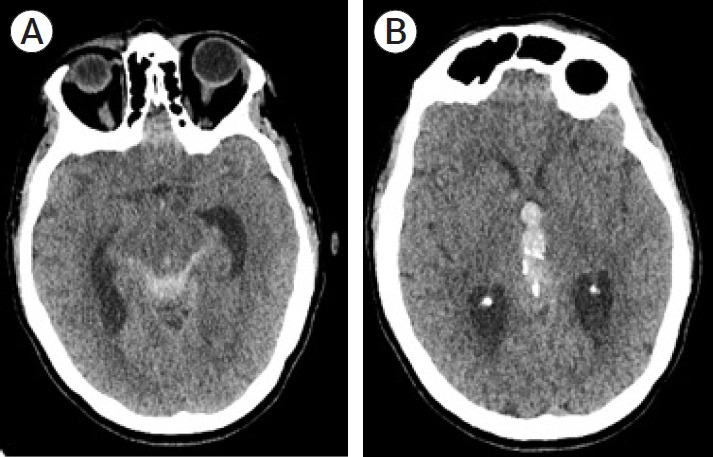
Aneurysms of the pineal region are rare and theoretically could arise from the medial posterior choroidal artery (MPChoA) or lateral posterior choroidal arteries (LPChoA). A 64-year-old lady with subarachnoid haemorrhage (SAH) and intraventricular haemorrhage (IVH) due to a ruptured MPChoA aneurysm was treated with microsurgical aneurysm excision via an occipital interhemispheric approach. This case demonstrates the importance of being mindful of rare aneurysm locations when initial vascular imaging in SAH appears normal.

Abstract Image

Abstract Image

Abstract Image

松果体区内侧后脉络膜动脉破裂动脉瘤:一个罕见的容易被遗漏的位置。
松果体区域的动脉瘤是罕见的,理论上可能起源于内侧后脉络膜动脉(MPChoA)或外侧后脉络膜动脉(LPChoA)。一位64岁的女性因MPChoA动脉瘤破裂而出现蛛网膜下腔出血(SAH)和脑室内出血(IVH),经枕半球间入路行显微手术切除动脉瘤。本病例表明,当SAH的初始血管成像显示正常时,注意罕见动脉瘤位置的重要性。
本文章由计算机程序翻译,如有差异,请以英文原文为准。
求助全文
约1分钟内获得全文 求助全文
来源期刊
CiteScore
1.10
自引率
0.00%
发文量
0
×
引用
GB/T 7714-2015
复制
MLA
复制
APA
复制
导出至
BibTeX EndNote RefMan NoteFirst NoteExpress
×
提示
您的信息不完整,为了账户安全,请先补充。
现在去补充
×
提示
您因"违规操作"
具体请查看互助需知
我知道了
×
提示
确定
请完成安全验证×
copy
已复制链接
快去分享给好友吧!
我知道了
右上角分享
点击右上角分享
0
联系我们:info@booksci.cn Book学术提供免费学术资源搜索服务,方便国内外学者检索中英文文献。致力于提供最便捷和优质的服务体验。 Copyright © 2023 布克学术 All rights reserved.
京ICP备2023020795号-1
ghs 京公网安备 11010802042870号
Book学术文献互助
Book学术文献互助群
群 号:604180095
Book学术官方微信