Two Separate Small and Large Ischemic Bowel Events Secondary to Sigmoid Adenocarcinoma: A Case Report.

IF 0.8 Q4 SURGERY
Surgery Journal Pub Date : 2024-12-20 eCollection Date: 2024-10-01 DOI:10.1055/s-0044-1800978
Alamir-Noureddine AlAyoubi, Souad Ghattas, Hani Maalouf, Georges Chahine, Kiril Kiriakos, Mirna Fares
{"title":"Two Separate Small and Large Ischemic Bowel Events Secondary to Sigmoid Adenocarcinoma: A Case Report.","authors":"Alamir-Noureddine AlAyoubi, Souad Ghattas, Hani Maalouf, Georges Chahine, Kiril Kiriakos, Mirna Fares","doi":"10.1055/s-0044-1800978","DOIUrl":null,"url":null,"abstract":"<p><p>Colonic obstruction is reported in 85% of emergency colorectal surgery for cancer. Colonic ischemia, however, is a rare entity and is found in 5% of these emergency cases. We herein present the case of a 72-year-old man presenting with signs and symptoms of obstruction and was found to have an obstructive sigmoid cancer. A first urgent laparotomy showed small bowel ischemia, for which small bowel resection and large bowel decompression were done without tumor resection. Postoperatively, the patient transiently improved, then deteriorated in few days, and a second urgent laparotomy showed a large bowel ischemia proximal to the mass. The treatment for patients with colon cancer with suspected colonic ischemia should be emergency laparotomy with long abdominal incision, carefully exploring the whole length of the small and large bowel. Despite large bowel decompression, a secondary colonic ischemic event should be suspected in case of deterioration.</p>","PeriodicalId":44614,"journal":{"name":"Surgery Journal","volume":"10 4","pages":"e65-e70"},"PeriodicalIF":0.8000,"publicationDate":"2024-12-20","publicationTypes":"Journal Article","fieldsOfStudy":null,"isOpenAccess":false,"openAccessPdf":"https://www.ncbi.nlm.nih.gov/pmc/articles/PMC11661887/pdf/","citationCount":"0","resultStr":null,"platform":"Semanticscholar","paperid":null,"PeriodicalName":"Surgery Journal","FirstCategoryId":"1085","ListUrlMain":"https://doi.org/10.1055/s-0044-1800978","RegionNum":0,"RegionCategory":null,"ArticlePicture":[],"TitleCN":null,"AbstractTextCN":null,"PMCID":null,"EPubDate":"2024/10/1 0:00:00","PubModel":"eCollection","JCR":"Q4","JCRName":"SURGERY","Score":null,"Total":0}
引用次数: 0

Abstract

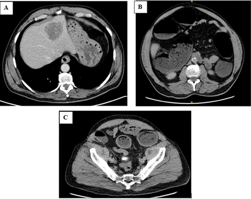
Colonic obstruction is reported in 85% of emergency colorectal surgery for cancer. Colonic ischemia, however, is a rare entity and is found in 5% of these emergency cases. We herein present the case of a 72-year-old man presenting with signs and symptoms of obstruction and was found to have an obstructive sigmoid cancer. A first urgent laparotomy showed small bowel ischemia, for which small bowel resection and large bowel decompression were done without tumor resection. Postoperatively, the patient transiently improved, then deteriorated in few days, and a second urgent laparotomy showed a large bowel ischemia proximal to the mass. The treatment for patients with colon cancer with suspected colonic ischemia should be emergency laparotomy with long abdominal incision, carefully exploring the whole length of the small and large bowel. Despite large bowel decompression, a secondary colonic ischemic event should be suspected in case of deterioration.

Abstract Image

Abstract Image

Abstract Image

乙状结肠腺癌继发的两个独立的小、大缺血性肠事件:1例报告。
据报道,85%的直肠癌紧急结直肠手术发生结肠梗阻。然而,结肠缺血是一个罕见的实体,在这些急诊病例中发现5%。我们在此提出的情况下,72岁的男子提出的迹象和症状梗阻,并被发现有梗阻性乙状结肠癌。首次紧急开腹手术显示小肠缺血,不切除肿瘤行小肠切除和大肠减压。术后,患者短暂好转,几天后病情恶化,第二次紧急剖腹手术显示肿块近端大肠缺血。对于怀疑结肠缺血的结肠癌患者,应采取紧急剖腹手术,切开腹部长切口,仔细探查小肠和大肠的全长。尽管进行了大肠减压,但如果病情恶化,仍应怀疑继发性结肠缺血事件。
本文章由计算机程序翻译,如有差异,请以英文原文为准。
求助全文
约1分钟内获得全文 求助全文
来源期刊
Surgery Journal
Surgery Journal SURGERY-
自引率
0.00%
发文量
64
审稿时长
12 weeks
×
引用
GB/T 7714-2015
复制
MLA
复制
APA
复制
导出至
BibTeX EndNote RefMan NoteFirst NoteExpress
×
提示
您的信息不完整,为了账户安全,请先补充。
现在去补充
×
提示
您因"违规操作"
具体请查看互助需知
我知道了
×
提示
确定
请完成安全验证×
copy
已复制链接
快去分享给好友吧!
我知道了
右上角分享
点击右上角分享
0
联系我们:info@booksci.cn Book学术提供免费学术资源搜索服务,方便国内外学者检索中英文文献。致力于提供最便捷和优质的服务体验。 Copyright © 2023 布克学术 All rights reserved.
京ICP备2023020795号-1
ghs 京公网安备 11010802042870号
Book学术文献互助
Book学术文献互助群
群 号:604180095
Book学术官方微信