Estimation of proximal junctional failure and associated risk factors in adult spine deformity surgery: an observational study from a single institution.

IF 2.7 Q2 ORTHOPEDICS
Asian Spine Journal Pub Date : 2025-06-01 Epub Date: 2025-03-04 DOI:10.31616/asj.2024.0405
Vishwajeet Singh, Marcelo Oppermann, Nathan Evaniew, Alexandra Soroceanu, Fred Nicholls, Bradley Jacobs, Kenneth Thomas, Ganesh Swamy
{"title":"Estimation of proximal junctional failure and associated risk factors in adult spine deformity surgery: an observational study from a single institution.","authors":"Vishwajeet Singh, Marcelo Oppermann, Nathan Evaniew, Alexandra Soroceanu, Fred Nicholls, Bradley Jacobs, Kenneth Thomas, Ganesh Swamy","doi":"10.31616/asj.2024.0405","DOIUrl":null,"url":null,"abstract":"<p><strong>Study design: </strong>A retrospective observational cohort study.</p><p><strong>Purpose: </strong>To estimate the proximal junctional failure (PJF) rate and identify associated factors.</p><p><strong>Overview of literature: </strong>Proximal junctional pathologies are challenging and common complications of adult spine deformity (ASD) surgery. However, the PJF rate was not accurately defined within the ASD cohort. A correct estimate of PJF incidence and associated factors will inform clinicians on reoperation risk and prevention strategies.</p><p><strong>Methods: </strong>This retrospective observational study included patients with degenerative or adult idiopathic thoracolumbar deformity, extended instrumentation, sacropelvic fixation, and more than 2 years of follow-up. Patients with post-traumatic or iatrogenic sagittal malalignment were excluded. Demographic and operative data were obtained from the electronic medical records. Preoperative and followup scoliosis radiographs were reviewed to calculate the spinal alignment parameters. Patients were categorized into the PJF and non- PJF groups using the modified Hart-ISSG criteria, and their demographic, surgical, and radiographic parameters were compared using descriptive statistics. Multivariable logistic regression models were fitted to estimate the association measures of PJF occurrence, and their odds ratios (ORs) were reported with corresponding 95% confidence intervals (CI).</p><p><strong>Results: </strong>Of the eligible 157 patients who underwent surgery between 2011 and 2018, 130 were included. The mean age was 64.6±8 years, and 73% of the patients were female. Moreover, 42 (32%) and 88 patients (68%) were allocated to the PJF and non-PJF groups, respectively. The mean change in the proximal junctional angle (△PJA) in the PJF group was 26°±8.2°, and 33 patients (79%) had a final PJA >20°, 4 (10%) had an additional upper instrumented vertebra (UIV)/UIV+1 fracture, and 5 (12%) had an additional screw dislodgement or fixation failure. Postoperative changes in PJA (OR, 1.23; 95% CI, 1.12-1.37; p <0.001), thoracic kyphosis (TK; OR, 1.06; 95% CI, 1.02-1.11; p =0.004), and the use of a proximal tether (OR, 0.22; 95% CI, 0.04-0.82; p =0.03) were associated with PJF.</p><p><strong>Conclusions: </strong>In this study, the PJF rate was 32%, of which 67% of the patients underwent reoperation. Postoperative PJA and TK changes and the use of proximal tethers were significantly associated with PJF.</p>","PeriodicalId":8555,"journal":{"name":"Asian Spine Journal","volume":" ","pages":"452-462"},"PeriodicalIF":2.7000,"publicationDate":"2025-06-01","publicationTypes":"Journal Article","fieldsOfStudy":null,"isOpenAccess":false,"openAccessPdf":"https://www.ncbi.nlm.nih.gov/pmc/articles/PMC12242246/pdf/","citationCount":"0","resultStr":null,"platform":"Semanticscholar","paperid":null,"PeriodicalName":"Asian Spine Journal","FirstCategoryId":"1085","ListUrlMain":"https://doi.org/10.31616/asj.2024.0405","RegionNum":0,"RegionCategory":null,"ArticlePicture":[],"TitleCN":null,"AbstractTextCN":null,"PMCID":null,"EPubDate":"2025/3/4 0:00:00","PubModel":"Epub","JCR":"Q2","JCRName":"ORTHOPEDICS","Score":null,"Total":0}
引用次数: 0

Abstract

Study design: A retrospective observational cohort study.

Purpose: To estimate the proximal junctional failure (PJF) rate and identify associated factors.

Overview of literature: Proximal junctional pathologies are challenging and common complications of adult spine deformity (ASD) surgery. However, the PJF rate was not accurately defined within the ASD cohort. A correct estimate of PJF incidence and associated factors will inform clinicians on reoperation risk and prevention strategies.

Methods: This retrospective observational study included patients with degenerative or adult idiopathic thoracolumbar deformity, extended instrumentation, sacropelvic fixation, and more than 2 years of follow-up. Patients with post-traumatic or iatrogenic sagittal malalignment were excluded. Demographic and operative data were obtained from the electronic medical records. Preoperative and followup scoliosis radiographs were reviewed to calculate the spinal alignment parameters. Patients were categorized into the PJF and non- PJF groups using the modified Hart-ISSG criteria, and their demographic, surgical, and radiographic parameters were compared using descriptive statistics. Multivariable logistic regression models were fitted to estimate the association measures of PJF occurrence, and their odds ratios (ORs) were reported with corresponding 95% confidence intervals (CI).

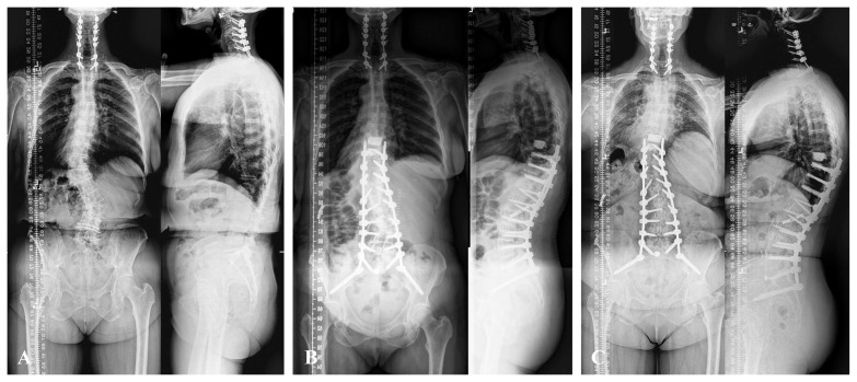
Results: Of the eligible 157 patients who underwent surgery between 2011 and 2018, 130 were included. The mean age was 64.6±8 years, and 73% of the patients were female. Moreover, 42 (32%) and 88 patients (68%) were allocated to the PJF and non-PJF groups, respectively. The mean change in the proximal junctional angle (△PJA) in the PJF group was 26°±8.2°, and 33 patients (79%) had a final PJA >20°, 4 (10%) had an additional upper instrumented vertebra (UIV)/UIV+1 fracture, and 5 (12%) had an additional screw dislodgement or fixation failure. Postoperative changes in PJA (OR, 1.23; 95% CI, 1.12-1.37; p <0.001), thoracic kyphosis (TK; OR, 1.06; 95% CI, 1.02-1.11; p =0.004), and the use of a proximal tether (OR, 0.22; 95% CI, 0.04-0.82; p =0.03) were associated with PJF.

Conclusions: In this study, the PJF rate was 32%, of which 67% of the patients underwent reoperation. Postoperative PJA and TK changes and the use of proximal tethers were significantly associated with PJF.

Abstract Image

Abstract Image

Abstract Image

成人脊柱畸形手术中近端连接功能衰竭及相关危险因素的评估:来自单一机构的观察性研究。
研究设计:回顾性观察队列研究。目的:估计近端连接功能衰竭(PJF)的发生率并确定相关因素。文献综述:近端交界处病变是成人脊柱畸形(ASD)手术的挑战和常见并发症。然而,在ASD队列中,PJF率并没有准确定义。正确估计PJF的发生率和相关因素将告知临床医生再手术的风险和预防策略。方法:这项回顾性观察研究纳入了退行性或成人特发性胸腰椎畸形患者,采用延长内固定、骶盆腔固定,随访时间超过2年。排除创伤后或医源性矢状面排列不齐的患者。从电子病历中获得人口统计和手术数据。回顾术前和随访的脊柱侧凸x线片以计算脊柱对准参数。采用修改后的Hart-ISSG标准将患者分为PJF组和非PJF组,并使用描述性统计比较其人口学、外科和放射学参数。拟合多变量logistic回归模型来估计PJF发生的关联度量,并报告其比值比(ORs),并给出相应的95%置信区间(CI)。结果:在2011年至2018年期间接受手术的157例符合条件的患者中,有130例被纳入。平均年龄64.6±8岁,女性占73%。此外,42例(32%)和88例(68%)患者分别被分配到PJF组和非PJF组。PJF组近端关节角(△PJA)的平均变化为26°±8.2°,33例(79%)患者最终PJA为20°,4例(10%)患者有额外的上固定椎体(UIV)/UIV+1骨折,5例(12%)患者有额外的螺钉脱位或固定失败。术后PJA的变化(OR, 1.23;95% ci, 1.12-1.37;p结论:本研究中PJF发生率为32%,其中67%的患者再次手术。术后PJA和TK的改变以及近端系索的使用与PJF显著相关。
本文章由计算机程序翻译,如有差异,请以英文原文为准。
求助全文
约1分钟内获得全文 求助全文
来源期刊
Asian Spine Journal
Asian Spine Journal ORTHOPEDICS-
CiteScore
5.10
自引率
4.30%
发文量
108
审稿时长
24 weeks
×
引用
GB/T 7714-2015
复制
MLA
复制
APA
复制
导出至
BibTeX EndNote RefMan NoteFirst NoteExpress
×
提示
您的信息不完整,为了账户安全,请先补充。
现在去补充
×
提示
您因"违规操作"
具体请查看互助需知
我知道了
×
提示
确定
请完成安全验证×
copy
已复制链接
快去分享给好友吧!
我知道了
右上角分享
点击右上角分享
0
联系我们:info@booksci.cn Book学术提供免费学术资源搜索服务,方便国内外学者检索中英文文献。致力于提供最便捷和优质的服务体验。 Copyright © 2023 布克学术 All rights reserved.
京ICP备2023020795号-1
ghs 京公网安备 11010802042870号
Book学术文献互助
Book学术文献互助群
群 号:604180095
Book学术官方微信