Enhancement of abdominal Low-Dose CT image quality utilizing Clear View reconstruction technique at Mzuzu Central Hospital, Malawi.

IF 0.8 4区 医学 Q4 PUBLIC, ENVIRONMENTAL & OCCUPATIONAL HEALTH
Malawi Medical Journal Pub Date : 2025-02-04 eCollection Date: 2025-02-01 DOI:10.4314/mmj.v36i5.3
Junjun Li, Blessed Kondowe, Rong Wang, Hui Zhang, Guan Wang, Yi Xiao, Jin Shang
{"title":"Enhancement of abdominal Low-Dose CT image quality utilizing Clear View reconstruction technique at Mzuzu Central Hospital, Malawi.","authors":"Junjun Li, Blessed Kondowe, Rong Wang, Hui Zhang, Guan Wang, Yi Xiao, Jin Shang","doi":"10.4314/mmj.v36i5.3","DOIUrl":null,"url":null,"abstract":"<p><strong>Objective: </strong>This study aimed to investigate the impact of Clear View dual-domain iterative reconstruction (IR) technology on the quality of low-dose abdominal CT images and to determine the optimal weight ratio to optimize image quality.</p><p><strong>Methods: </strong>We studied 40 patients (28 males, 12 females, aged 19-69) undergoing low-dose abdominal CT scans (CTDI = 5.32 ± 0.89 mGy). The scanning parameters were set as follows: tube voltage of 120 kVp, tube current modulation based on Signal to Noise Ratio (SNR) at 0.5 mode (O-Dose automatic tube current modulation technology), pitch of 0.9, rotation time of 0.6 s/r, matrix size of 512 × 512, and collimation width of 16 × 1.25 mm. We applied Clear View IR with four weight ratios (20%, 40%, 60%, 80%) and filtered back projection (FBP). Conventional scanning uses with 120 kVp, 280 mAs, pitch of 0.9, rotation time of 0.6 s/r, matrix size of 512 × 512, and collimation width of 16 × 1.25 mm. Conventional dose abdominal CT scans (CTDI = 11.95 ± 0.00 mGy).CT values, standard deviations (SD), signal-to-noise ratio (SNR), and contrast-to-noise ratio (CNR) were measured for liver, spleen, pancreas, kidneys, and erector spinae muscles. Two deputy chief physicians blindly evaluated image quality on a 1-5 scale. Statistical analysis was done using SPSS 22.0 with P < 0.05 considered significant.</p><p><strong>Results: </strong>Subjective evaluations revealed the highest diagnostic score with a 40% Clear View reconstruction weight ratio. Higher weight ratios significantly reduced subjective image noise, with the highest noise scores at 80%. Moreover, compared to FBP, especially Clear View reconstruction weight ratios of 20% to 60%, significantly improved the image quality of abdominal solid organs, reducing image artifacts and improving diagnostic acceptability (P < 0.05). Objective evaluation showed that with increasing Clear View reconstruction weight ratios, image noise SD values decreased, while SNR and CNR values increased, and the differences in SD, SNR, and CNR for different reconstruction weight ratios of abdominal solid organs were statistically significant (P < 0.05).</p><p><strong>Conclusion: </strong>Compared to FBP algorithm, Clear View demonstrates greater potential in low-dose abdominal CT, effectively reducing image noise and artifacts while maintaining image clarity. Based on combined subjective and objective evaluations, a 40% Clear View reconstruction weight ratio provides optimal image quality for abdominal solid organs.</p>","PeriodicalId":18185,"journal":{"name":"Malawi Medical Journal","volume":"36 5","pages":"308-312"},"PeriodicalIF":0.8000,"publicationDate":"2025-02-04","publicationTypes":"Journal Article","fieldsOfStudy":null,"isOpenAccess":false,"openAccessPdf":"https://www.ncbi.nlm.nih.gov/pmc/articles/PMC11862844/pdf/","citationCount":"0","resultStr":null,"platform":"Semanticscholar","paperid":null,"PeriodicalName":"Malawi Medical Journal","FirstCategoryId":"3","ListUrlMain":"https://doi.org/10.4314/mmj.v36i5.3","RegionNum":4,"RegionCategory":"医学","ArticlePicture":[],"TitleCN":null,"AbstractTextCN":null,"PMCID":null,"EPubDate":"2025/2/1 0:00:00","PubModel":"eCollection","JCR":"Q4","JCRName":"PUBLIC, ENVIRONMENTAL & OCCUPATIONAL HEALTH","Score":null,"Total":0}
引用次数: 0

Abstract

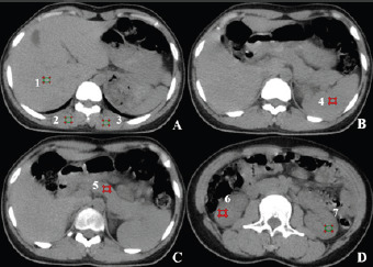
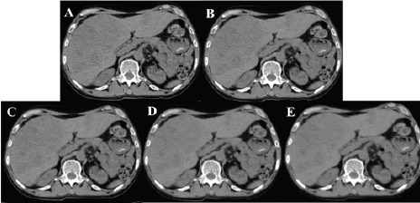
Objective: This study aimed to investigate the impact of Clear View dual-domain iterative reconstruction (IR) technology on the quality of low-dose abdominal CT images and to determine the optimal weight ratio to optimize image quality.

Methods: We studied 40 patients (28 males, 12 females, aged 19-69) undergoing low-dose abdominal CT scans (CTDI = 5.32 ± 0.89 mGy). The scanning parameters were set as follows: tube voltage of 120 kVp, tube current modulation based on Signal to Noise Ratio (SNR) at 0.5 mode (O-Dose automatic tube current modulation technology), pitch of 0.9, rotation time of 0.6 s/r, matrix size of 512 × 512, and collimation width of 16 × 1.25 mm. We applied Clear View IR with four weight ratios (20%, 40%, 60%, 80%) and filtered back projection (FBP). Conventional scanning uses with 120 kVp, 280 mAs, pitch of 0.9, rotation time of 0.6 s/r, matrix size of 512 × 512, and collimation width of 16 × 1.25 mm. Conventional dose abdominal CT scans (CTDI = 11.95 ± 0.00 mGy).CT values, standard deviations (SD), signal-to-noise ratio (SNR), and contrast-to-noise ratio (CNR) were measured for liver, spleen, pancreas, kidneys, and erector spinae muscles. Two deputy chief physicians blindly evaluated image quality on a 1-5 scale. Statistical analysis was done using SPSS 22.0 with P < 0.05 considered significant.

Results: Subjective evaluations revealed the highest diagnostic score with a 40% Clear View reconstruction weight ratio. Higher weight ratios significantly reduced subjective image noise, with the highest noise scores at 80%. Moreover, compared to FBP, especially Clear View reconstruction weight ratios of 20% to 60%, significantly improved the image quality of abdominal solid organs, reducing image artifacts and improving diagnostic acceptability (P < 0.05). Objective evaluation showed that with increasing Clear View reconstruction weight ratios, image noise SD values decreased, while SNR and CNR values increased, and the differences in SD, SNR, and CNR for different reconstruction weight ratios of abdominal solid organs were statistically significant (P < 0.05).

Conclusion: Compared to FBP algorithm, Clear View demonstrates greater potential in low-dose abdominal CT, effectively reducing image noise and artifacts while maintaining image clarity. Based on combined subjective and objective evaluations, a 40% Clear View reconstruction weight ratio provides optimal image quality for abdominal solid organs.

Abstract Image

Abstract Image

马拉维Mzuzu中心医院利用清晰视图重建技术增强腹部低剂量CT图像质量。
目的:探讨Clear View双域迭代重建(dual-domain iterative reconstruction, IR)技术对低剂量腹部CT图像质量的影响,确定最佳权重比以优化图像质量。方法:40例患者(男28例,女12例,年龄19 ~ 69岁)行低剂量腹部CT扫描(CTDI = 5.32±0.89 mGy)。扫描参数设置为:管电压120 kVp, 0.5模式下基于信噪比(SNR)的管电流调制(O-Dose自动管电流调制技术),螺距0.9,旋转时间0.6 s/r,矩阵尺寸512 × 512,准直宽度16 × 1.25 mm。我们应用了四种权重比(20%、40%、60%、80%)的Clear View IR和过滤后投影(FBP)。常规扫描使用120 kVp, 280 ma,螺距0.9,旋转时间0.6 s/r,矩阵尺寸512 × 512,准直宽度16 × 1.25 mm。常规剂量腹部CT扫描(CTDI = 11.95±0.00 mGy)。测量肝脏、脾脏、胰腺、肾脏和竖脊肌的CT值、标准差(SD)、信噪比(SNR)和噪声对比比(CNR)。两名副主任医师在1-5的范围内盲目评价图像质量。采用SPSS 22.0进行统计学分析,P < 0.05为差异有统计学意义。结果:主观评价显示最高的诊断评分为40%的清晰视图重建权重比。较高的权重比显著降低了主观图像噪声,最高的噪声得分为80%。此外,与FBP相比,特别是20% ~ 60%的Clear View重建权重比显著改善了腹部实体器官的图像质量,减少了图像伪影,提高了诊断的可接受性(P < 0.05)。客观评价显示,随着Clear View重构权重比的增大,图像噪声SD值降低,SNR、CNR值升高,不同权重比下腹部实体脏器的SD、SNR、CNR差异均有统计学意义(P < 0.05)。结论:与FBP算法相比,Clear View在低剂量腹部CT上表现出更大的潜力,在保持图像清晰度的同时有效地降低了图像噪声和伪影。基于主观和客观的综合评价,40%的清晰视图重构权重比为腹部实体器官提供了最佳的图像质量。
本文章由计算机程序翻译,如有差异,请以英文原文为准。
求助全文
约1分钟内获得全文 求助全文
来源期刊
Malawi Medical Journal
Malawi Medical Journal Medicine-General Medicine
CiteScore
1.50
自引率
0.00%
发文量
27
审稿时长
>12 weeks
期刊介绍: Driven and guided by the priorities articulated in the Malawi National Health Research Agenda, the Malawi Medical Journal publishes original research, short reports, case reports, viewpoints, insightful editorials and commentaries that are of high quality, informative and applicable to the Malawian and sub-Saharan Africa regions. Our particular interest is to publish evidence-based research that impacts and informs national health policies and medical practice in Malawi and the broader region. Topics covered in the journal include, but are not limited to: - Communicable diseases (HIV and AIDS, Malaria, TB, etc.) - Non-communicable diseases (Cardiovascular diseases, cancer, diabetes, etc.) - Sexual and Reproductive Health (Adolescent health, education, pregnancy and abortion, STDs and HIV and AIDS, etc.) - Mental health - Environmental health - Nutrition - Health systems and health policy (Leadership, ethics, and governance) - Community systems strengthening research - Injury, trauma, and surgical disorders
×
引用
GB/T 7714-2015
复制
MLA
复制
APA
复制
导出至
BibTeX EndNote RefMan NoteFirst NoteExpress
×
提示
您的信息不完整,为了账户安全,请先补充。
现在去补充
×
提示
您因"违规操作"
具体请查看互助需知
我知道了
×
提示
确定
请完成安全验证×
copy
已复制链接
快去分享给好友吧!
我知道了
右上角分享
点击右上角分享
0
联系我们:info@booksci.cn Book学术提供免费学术资源搜索服务,方便国内外学者检索中英文文献。致力于提供最便捷和优质的服务体验。 Copyright © 2023 布克学术 All rights reserved.
京ICP备2023020795号-1
ghs 京公网安备 11010802042870号
Book学术文献互助
Book学术文献互助群
群 号:604180095
Book学术官方微信