Evaluation of the Influence of Changes in Bone Mineral Density and Increases in Articular Cartilage Thickness on Blood Supply of the Femoral Head in Legg-Calvé-Perthes Disease.

Hamid Reza Farpour, Mohammad Taghi Karimi, Mohammad Hossein Karimi
{"title":"Evaluation of the Influence of Changes in Bone Mineral Density and Increases in Articular Cartilage Thickness on Blood Supply of the Femoral Head in Legg-Calvé-Perthes Disease.","authors":"Hamid Reza Farpour, Mohammad Taghi Karimi, Mohammad Hossein Karimi","doi":"10.5371/hp.2025.37.1.38","DOIUrl":null,"url":null,"abstract":"<p><strong>Purpose: </strong>Although the etiology of Legg-Calvé-Perthes disease (LCPD) is not well understood, based on a new theory, it may be caused by a decrease in the supply of blood to the femoral head. The objective of this study was to examine the effects of a decrease in bone mineral density (BMD) and an increase in thickness of articular cartilage on the supply of blood to the femoral head in this group of patients.</p><p><strong>Materials and methods: </strong>This case study was based on a simulation analysis. Computed tomography scan images of a subject with Perthes disease were used to create a three-dimensional model of the hip joint on both the normal and Perthes sides. In addition, modeling of the blood vessels of the femoral head, including the foveolar and retinacular arteries, was performed during this study.</p><p><strong>Results: </strong>Increased stress on all articular components (femoral head, acetabulum, articular cartilage, and blood vessels) was observed on the Perthes side compared to the normal side. On the Perthes side with normal articular cartilage thickness, stress on all components, particularly the femur, showed a significant increase compared to the normal side.</p><p><strong>Conclusion: </strong>Increased deformation of the femoral head vessels was observed in patients with Perthes condition and when increased thickness of the articular cartilage was observed. A decrease in BMD can evidently increase the stress applied to the arteries of the femoral head, ultimately leading to death of the femoral head.</p>","PeriodicalId":73239,"journal":{"name":"Hip & pelvis","volume":"37 1","pages":"38-44"},"PeriodicalIF":0.0000,"publicationDate":"2025-03-01","publicationTypes":"Journal Article","fieldsOfStudy":null,"isOpenAccess":false,"openAccessPdf":"https://www.ncbi.nlm.nih.gov/pmc/articles/PMC11885784/pdf/","citationCount":"0","resultStr":null,"platform":"Semanticscholar","paperid":null,"PeriodicalName":"Hip & pelvis","FirstCategoryId":"1085","ListUrlMain":"https://doi.org/10.5371/hp.2025.37.1.38","RegionNum":0,"RegionCategory":null,"ArticlePicture":[],"TitleCN":null,"AbstractTextCN":null,"PMCID":null,"EPubDate":"","PubModel":"","JCR":"","JCRName":"","Score":null,"Total":0}
引用次数: 0

Abstract

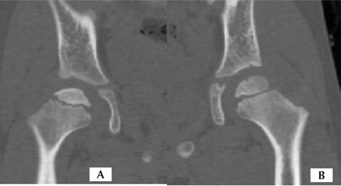
Purpose: Although the etiology of Legg-Calvé-Perthes disease (LCPD) is not well understood, based on a new theory, it may be caused by a decrease in the supply of blood to the femoral head. The objective of this study was to examine the effects of a decrease in bone mineral density (BMD) and an increase in thickness of articular cartilage on the supply of blood to the femoral head in this group of patients.

Materials and methods: This case study was based on a simulation analysis. Computed tomography scan images of a subject with Perthes disease were used to create a three-dimensional model of the hip joint on both the normal and Perthes sides. In addition, modeling of the blood vessels of the femoral head, including the foveolar and retinacular arteries, was performed during this study.

Results: Increased stress on all articular components (femoral head, acetabulum, articular cartilage, and blood vessels) was observed on the Perthes side compared to the normal side. On the Perthes side with normal articular cartilage thickness, stress on all components, particularly the femur, showed a significant increase compared to the normal side.

Conclusion: Increased deformation of the femoral head vessels was observed in patients with Perthes condition and when increased thickness of the articular cartilage was observed. A decrease in BMD can evidently increase the stress applied to the arteries of the femoral head, ultimately leading to death of the femoral head.

Abstract Image

Abstract Image

Abstract Image

腿-钙-珀特病骨密度变化和关节软骨厚度增加对股骨头血供影响的评价。
目的:虽然legg - calv - perthes病(LCPD)的病因尚不清楚,但基于一种新的理论,它可能是由股骨头供血减少引起的。本研究的目的是检查骨密度(BMD)下降和关节软骨厚度增加对这组患者股骨头供血的影响。材料与方法:本案例研究基于仿真分析。计算机断层扫描图像的主题与珀尔特斯病被用来创建一个三维模型的髋关节正常和珀尔特斯侧。此外,在本研究中进行了股骨头血管的建模,包括中央凹动脉和支持带动脉。结果:与正常侧相比,Perthes侧所有关节部件(股骨头、髋臼、关节软骨和血管)的应力均增加。在关节软骨厚度正常的Perthes侧,与正常侧相比,所有部件,特别是股骨的应力均显著增加。结论:Perthes病患者股骨头血管变形增加,关节软骨厚度增加。骨密度降低可明显增加股骨头动脉所受的应力,最终导致股骨头死亡。
本文章由计算机程序翻译,如有差异,请以英文原文为准。
求助全文
约1分钟内获得全文 求助全文
来源期刊
CiteScore
2.90
自引率
0.00%
发文量
0
×
引用
GB/T 7714-2015
复制
MLA
复制
APA
复制
导出至
BibTeX EndNote RefMan NoteFirst NoteExpress
×
提示
您的信息不完整,为了账户安全,请先补充。
现在去补充
×
提示
您因"违规操作"
具体请查看互助需知
我知道了
×
提示
确定
请完成安全验证×
copy
已复制链接
快去分享给好友吧!
我知道了
右上角分享
点击右上角分享
0
联系我们:info@booksci.cn Book学术提供免费学术资源搜索服务,方便国内外学者检索中英文文献。致力于提供最便捷和优质的服务体验。 Copyright © 2023 布克学术 All rights reserved.
京ICP备2023020795号-1
ghs 京公网安备 11010802042870号
Book学术文献互助
Book学术文献互助群
群 号:604180095
Book学术官方微信