Unexpected negative-pressure pulmonary edema after tracheostomy: two case reports.

IF 1 Q3 ANESTHESIOLOGY
Taichi Kotani, Yusuke Naito, Chie Okuda, Shota Sonobe, Junji Egawa, Masahiko Kawaguchi
{"title":"Unexpected negative-pressure pulmonary edema after tracheostomy: two case reports.","authors":"Taichi Kotani, Yusuke Naito, Chie Okuda, Shota Sonobe, Junji Egawa, Masahiko Kawaguchi","doi":"10.1186/s40981-025-00777-w","DOIUrl":null,"url":null,"abstract":"<p><strong>Background: </strong>Negative-pressure pulmonary edema (NPPE) often develops with upper airway obstruction, and is uncommon in secured airways, for example, after tracheostomy. Herein, we report two cases of NPPE post-tracheostomy.</p><p><strong>Case presentation: </strong>Case 1: A 69-year-old man underwent prophylactic tracheotomy for possible airway obstruction secondary to glottic carcinoma. Two hours after awakening from general anesthesia, he had difficulty expectorating and developed NPPE due to airway secretions obstructing the tracheostomy tube. Case 2: An 11-year-old boy was admitted to the intensive care unit for continuous hemodiafiltration on a ventilator under sedation. On the 76th day, the day after the tracheostomy was performed, the patient developed patient-ventilator asynchrony due to sedative withdrawal syndrome. The postulated primary mechanism was functional airway obstruction due to patient-ventilator asynchrony.</p><p><strong>Conclusion: </strong>These cases highlight the need to consider NPPE, even in patients with an airway secured with a tracheostomy.</p>","PeriodicalId":14635,"journal":{"name":"JA Clinical Reports","volume":"11 1","pages":"13"},"PeriodicalIF":1.0000,"publicationDate":"2025-02-27","publicationTypes":"Journal Article","fieldsOfStudy":null,"isOpenAccess":false,"openAccessPdf":"https://www.ncbi.nlm.nih.gov/pmc/articles/PMC11867986/pdf/","citationCount":"0","resultStr":null,"platform":"Semanticscholar","paperid":null,"PeriodicalName":"JA Clinical Reports","FirstCategoryId":"1085","ListUrlMain":"https://doi.org/10.1186/s40981-025-00777-w","RegionNum":0,"RegionCategory":null,"ArticlePicture":[],"TitleCN":null,"AbstractTextCN":null,"PMCID":null,"EPubDate":"","PubModel":"","JCR":"Q3","JCRName":"ANESTHESIOLOGY","Score":null,"Total":0}
引用次数: 0

Abstract

Background: Negative-pressure pulmonary edema (NPPE) often develops with upper airway obstruction, and is uncommon in secured airways, for example, after tracheostomy. Herein, we report two cases of NPPE post-tracheostomy.

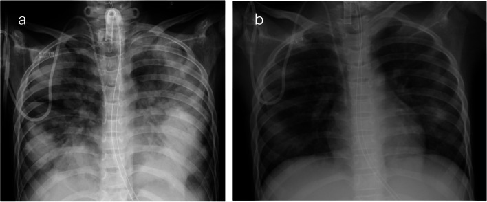
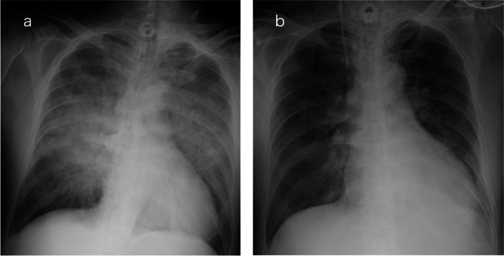
Case presentation: Case 1: A 69-year-old man underwent prophylactic tracheotomy for possible airway obstruction secondary to glottic carcinoma. Two hours after awakening from general anesthesia, he had difficulty expectorating and developed NPPE due to airway secretions obstructing the tracheostomy tube. Case 2: An 11-year-old boy was admitted to the intensive care unit for continuous hemodiafiltration on a ventilator under sedation. On the 76th day, the day after the tracheostomy was performed, the patient developed patient-ventilator asynchrony due to sedative withdrawal syndrome. The postulated primary mechanism was functional airway obstruction due to patient-ventilator asynchrony.

Conclusion: These cases highlight the need to consider NPPE, even in patients with an airway secured with a tracheostomy.

Abstract Image

Abstract Image

气管切开术后意外负压肺水肿2例报告。
背景:负压性肺水肿(NPPE)常伴随上呼吸道阻塞而发生,在安全气道(如气管造口术后)中并不常见。在此,我们报告两例气管切开术后的NPPE。病例介绍:病例1:一名69岁男性,因声门癌继发可能的气道阻塞行预防性气管切开术。全麻醒后2小时,患者因呼吸道分泌物阻塞气管造口管,出现咳痰困难,发生NPPE。病例2:一名11岁男孩在镇静下使用呼吸机进行持续血液滤过,被送入重症监护病房。在气管切开术后第76天,患者因镇静戒断综合征出现患者-呼吸机不同步。假设的主要机制是由于患者与呼吸机不同步导致的功能性气道阻塞。结论:这些病例强调了考虑NPPE的必要性,即使是气管切开术保护气道的患者。
本文章由计算机程序翻译,如有差异,请以英文原文为准。
求助全文
约1分钟内获得全文 求助全文
来源期刊
JA Clinical Reports
JA Clinical Reports ANESTHESIOLOGY-
CiteScore
1.30
自引率
0.00%
发文量
90
审稿时长
9 weeks
期刊介绍: JA Clinical Reports is a companion journal to the Journal of Anesthesia (JA), the official journal of the Japanese Society of Anesthesiologists (JSA). This journal is an open access, peer-reviewed, online journal related to clinical anesthesia practices such as anesthesia management, pain management and intensive care. Case reports are very important articles from the viewpoint of education and the cultivation of scientific thinking in the field of anesthesia. However, submissions of anesthesia research and clinical reports from Japan are notably decreasing in major anesthesia journals. Therefore, the JSA has decided to launch a new journal, JA Clinical Reports, to encourage JSA members, particularly junior Japanese anesthesiologists, to publish papers in English language.
×
引用
GB/T 7714-2015
复制
MLA
复制
APA
复制
导出至
BibTeX EndNote RefMan NoteFirst NoteExpress
×
提示
您的信息不完整,为了账户安全,请先补充。
现在去补充
×
提示
您因"违规操作"
具体请查看互助需知
我知道了
×
提示
确定
请完成安全验证×
copy
已复制链接
快去分享给好友吧!
我知道了
右上角分享
点击右上角分享
0
联系我们:info@booksci.cn Book学术提供免费学术资源搜索服务,方便国内外学者检索中英文文献。致力于提供最便捷和优质的服务体验。 Copyright © 2023 布克学术 All rights reserved.
京ICP备2023020795号-1
ghs 京公网安备 11010802042870号
Book学术文献互助
Book学术文献互助群
群 号:604180095
Book学术官方微信