Late-Onset Progressive Osseous Heteroplasia: 2 Unrelated Cases and Use of Positron Emission Tomography for Diagnosis.

JCEM case reports Pub Date : 2025-02-25 eCollection Date: 2025-03-01 DOI:10.1210/jcemcr/luae204
Minh T Pham, John D Mahan, Summit H Shah, Steven I Estes, Stephen G Kaler
{"title":"Late-Onset Progressive Osseous Heteroplasia: 2 Unrelated Cases and Use of Positron Emission Tomography for Diagnosis.","authors":"Minh T Pham, John D Mahan, Summit H Shah, Steven I Estes, Stephen G Kaler","doi":"10.1210/jcemcr/luae204","DOIUrl":null,"url":null,"abstract":"<p><p>Progressive osseous heteroplasia (POH) is a rare autosomal-dominant hereditary bone disorder caused by inactivating pathogenic variants in <i>GNAS1</i>. POH is characterized by progressive cutaneous ossification and heterotopic ossification in skeletal muscles and subdermal connective tissues. Understanding of the natural history and phenotypic heterogeneity of the illness is incomplete. We report 2 affected male subjects with a milder than usual clinical course, highlight their clinical presentations and molecular correlates, and propose sodium <sup>18</sup>F-fluorine positron emission tomography (PET) scanning as a sensitive technique for POH diagnosis and management.</p>","PeriodicalId":73540,"journal":{"name":"JCEM case reports","volume":"3 3","pages":"luae204"},"PeriodicalIF":0.0000,"publicationDate":"2025-02-25","publicationTypes":"Journal Article","fieldsOfStudy":null,"isOpenAccess":false,"openAccessPdf":"https://www.ncbi.nlm.nih.gov/pmc/articles/PMC11850303/pdf/","citationCount":"0","resultStr":null,"platform":"Semanticscholar","paperid":null,"PeriodicalName":"JCEM case reports","FirstCategoryId":"1085","ListUrlMain":"https://doi.org/10.1210/jcemcr/luae204","RegionNum":0,"RegionCategory":null,"ArticlePicture":[],"TitleCN":null,"AbstractTextCN":null,"PMCID":null,"EPubDate":"2025/3/1 0:00:00","PubModel":"eCollection","JCR":"","JCRName":"","Score":null,"Total":0}
引用次数: 0

Abstract

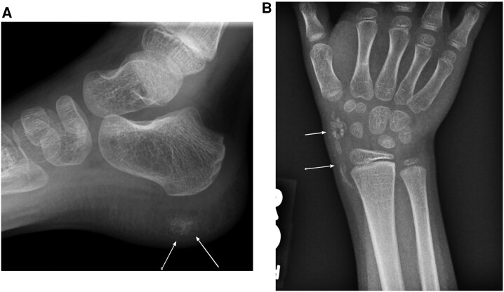
Progressive osseous heteroplasia (POH) is a rare autosomal-dominant hereditary bone disorder caused by inactivating pathogenic variants in GNAS1. POH is characterized by progressive cutaneous ossification and heterotopic ossification in skeletal muscles and subdermal connective tissues. Understanding of the natural history and phenotypic heterogeneity of the illness is incomplete. We report 2 affected male subjects with a milder than usual clinical course, highlight their clinical presentations and molecular correlates, and propose sodium 18F-fluorine positron emission tomography (PET) scanning as a sensitive technique for POH diagnosis and management.

Abstract Image

Abstract Image

Abstract Image

迟发性进行性骨异质增生:2例不相关病例及使用正电子发射断层扫描诊断。
进行性骨异质增生(POH)是一种罕见的常染色体显性遗传性骨疾病,由GNAS1致病性变异体失活引起。POH的特点是进行性皮肤骨化和骨骼肌和真皮下结缔组织的异位骨化。对该疾病的自然史和表型异质性的了解尚不完整。我们报告了2例受影响的男性受试者,其临床表现比通常的临床病程轻,强调了他们的临床表现和分子相关性,并提出了18f -氟钠正电子发射断层扫描(PET)扫描作为POH诊断和治疗的敏感技术。
本文章由计算机程序翻译,如有差异,请以英文原文为准。
求助全文
约1分钟内获得全文 求助全文
来源期刊
自引率
0.00%
发文量
0
×
引用
GB/T 7714-2015
复制
MLA
复制
APA
复制
导出至
BibTeX EndNote RefMan NoteFirst NoteExpress
×
提示
您的信息不完整,为了账户安全,请先补充。
现在去补充
×
提示
您因"违规操作"
具体请查看互助需知
我知道了
×
提示
确定
请完成安全验证×
copy
已复制链接
快去分享给好友吧!
我知道了
右上角分享
点击右上角分享
0
联系我们:info@booksci.cn Book学术提供免费学术资源搜索服务,方便国内外学者检索中英文文献。致力于提供最便捷和优质的服务体验。 Copyright © 2023 布克学术 All rights reserved.
京ICP备2023020795号-1
ghs 京公网安备 11010802042870号
Book学术文献互助
Book学术文献互助群
群 号:604180095
Book学术官方微信