The Association of VDR/FokI Gene Polymorphism and Protein Expression With Histopathological Alterations in Patients With Thyroid Colloid Nodule.

IF 2.7 4区 医学 Q3 CELL BIOLOGY
Analytical Cellular Pathology Pub Date : 2025-02-18 eCollection Date: 2025-01-01 DOI:10.1155/ancp/6796922
Mariwan F Abdalfatah, Abdullah A Shareef, Lana S Saleh, Mustafa F Rajab, Shukur W Smail, Saman S Abdulla, Harem Khdir Awla, Rivan H Ishaac, Kazhal S Ibrahim, Mazyar J Ahmed, Fairuz A Kakasur, Khder Hussein Rasul
{"title":"The Association of <i>VDR/FokI</i> Gene Polymorphism and Protein Expression With Histopathological Alterations in Patients With Thyroid Colloid Nodule.","authors":"Mariwan F Abdalfatah, Abdullah A Shareef, Lana S Saleh, Mustafa F Rajab, Shukur W Smail, Saman S Abdulla, Harem Khdir Awla, Rivan H Ishaac, Kazhal S Ibrahim, Mazyar J Ahmed, Fairuz A Kakasur, Khder Hussein Rasul","doi":"10.1155/ancp/6796922","DOIUrl":null,"url":null,"abstract":"<p><p><b>Objective:</b> Colloid nodules are common and benign thyroid lesions that usually progress slowly and are asymptomatic. It requires follow-up because untreated colloid nodules may develop into malignant tumor. The study aimed to examine the contributions of vitamin D receptor (VDR) expression, VDR/FokI (rs2228570) genotypes, and serum vitamin D level to the susceptibility to colloid nodules. <b>Methods:</b> One hundred forty subjects (80 patients and 60 controls) were enrolled and VDR FokI was determined by PCR in formalin fixed paraffin embedded (FFPE) blocks of the patients and blood of controls. Moreover, VDR protein expression was evaluated by immunohistochemistry using specific VDR monoclonal antibody in the tissue sections of patients and serum vitamin D were measured simultaneously using enzyme-linked immunosorbent assay (ELISA). <b>Results:</b> Sixty-two (77.5%) cases showed strong immunoreactivity score (IRS) of cytoplasmic staining. Strong IRS were significantly observed in samples with larger nodule size (<i>p</i> value: 0.0094), multinodules (<i>p</i> value: 0.0054), and carriers of CC genotypes (<i>p</i> value: 0.0034). TT homozygous genotype revealed significantly (<i>p</i> value: 0.029 and odds ratio (OR): 0.11) protective factor for colloid nodules. In addition, nodule size was significantly (<i>p</i> value: 0.016) larger among CC carriers. Moreover, vitamin D level and category were nonsignificantly difference between patients and controls. <b>Conclusion:</b> Our results reveal prominent cytoplasmic VDR expression, suggesting a distinct distribution pattern and offering valuable insights into its potential role in colloid nodules. VDR expression increases with increasing size and number of nodules. Regarding FokI genotypes, TT genotype was less likely to develop colloid nodule. These findings contribute to our understanding of cellular characteristics of this condition and may have implications for future research and clinical management.</p>","PeriodicalId":49326,"journal":{"name":"Analytical Cellular Pathology","volume":"2025 ","pages":"6796922"},"PeriodicalIF":2.7000,"publicationDate":"2025-02-18","publicationTypes":"Journal Article","fieldsOfStudy":null,"isOpenAccess":false,"openAccessPdf":"https://www.ncbi.nlm.nih.gov/pmc/articles/PMC11858711/pdf/","citationCount":"0","resultStr":null,"platform":"Semanticscholar","paperid":null,"PeriodicalName":"Analytical Cellular Pathology","FirstCategoryId":"3","ListUrlMain":"https://doi.org/10.1155/ancp/6796922","RegionNum":4,"RegionCategory":"医学","ArticlePicture":[],"TitleCN":null,"AbstractTextCN":null,"PMCID":null,"EPubDate":"2025/1/1 0:00:00","PubModel":"eCollection","JCR":"Q3","JCRName":"CELL BIOLOGY","Score":null,"Total":0}
引用次数: 0

Abstract

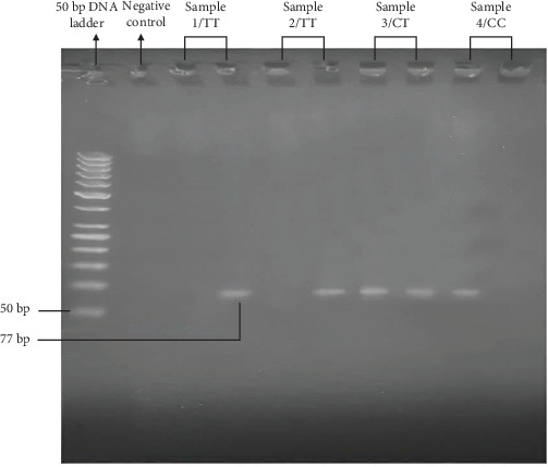
Objective: Colloid nodules are common and benign thyroid lesions that usually progress slowly and are asymptomatic. It requires follow-up because untreated colloid nodules may develop into malignant tumor. The study aimed to examine the contributions of vitamin D receptor (VDR) expression, VDR/FokI (rs2228570) genotypes, and serum vitamin D level to the susceptibility to colloid nodules. Methods: One hundred forty subjects (80 patients and 60 controls) were enrolled and VDR FokI was determined by PCR in formalin fixed paraffin embedded (FFPE) blocks of the patients and blood of controls. Moreover, VDR protein expression was evaluated by immunohistochemistry using specific VDR monoclonal antibody in the tissue sections of patients and serum vitamin D were measured simultaneously using enzyme-linked immunosorbent assay (ELISA). Results: Sixty-two (77.5%) cases showed strong immunoreactivity score (IRS) of cytoplasmic staining. Strong IRS were significantly observed in samples with larger nodule size (p value: 0.0094), multinodules (p value: 0.0054), and carriers of CC genotypes (p value: 0.0034). TT homozygous genotype revealed significantly (p value: 0.029 and odds ratio (OR): 0.11) protective factor for colloid nodules. In addition, nodule size was significantly (p value: 0.016) larger among CC carriers. Moreover, vitamin D level and category were nonsignificantly difference between patients and controls. Conclusion: Our results reveal prominent cytoplasmic VDR expression, suggesting a distinct distribution pattern and offering valuable insights into its potential role in colloid nodules. VDR expression increases with increasing size and number of nodules. Regarding FokI genotypes, TT genotype was less likely to develop colloid nodule. These findings contribute to our understanding of cellular characteristics of this condition and may have implications for future research and clinical management.

Abstract Image

Abstract Image

Abstract Image

甲状腺胶体结节患者VDR/FokI基因多态性和蛋白表达与组织病理学改变的关系
目的:胶体结节是一种常见的良性甲状腺病变,通常进展缓慢且无症状。由于未经治疗的胶体结节可能发展为恶性肿瘤,因此需要随访。本研究旨在探讨维生素D受体(VDR)表达、VDR/FokI (rs2228570)基因型和血清维生素D水平对胶体结节易感性的影响。方法:纳入140例(患者80例,对照组60例),采用PCR方法在患者和对照组血液中检测VDR FokI。采用免疫组化方法检测VDR蛋白表达,采用酶联免疫吸附法(ELISA)检测血清维生素D含量。结果:62例(77.5%)细胞质染色免疫反应性评分较高。在结节较大(p值:0.0094)、多结节(p值:0.0054)和CC基因型携带者(p值:0.0034)的样本中均观察到强IRS。TT纯合子基因型对胶体结节具有显著的保护因子(p值为0.029,优势比为0.11)。此外,CC携带者的结节大小显著增大(p值:0.016)。此外,维生素D水平和类别在患者和对照组之间无显著差异。结论:我们的研究结果揭示了显著的细胞质VDR表达,提示了独特的分布模式,并为其在胶体结节中的潜在作用提供了有价值的见解。VDR表达随结节大小和数量的增加而增加。在FokI基因型中,TT基因型发生胶体结节的可能性较小。这些发现有助于我们了解这种疾病的细胞特征,并可能对未来的研究和临床管理产生影响。
本文章由计算机程序翻译,如有差异,请以英文原文为准。
求助全文
约1分钟内获得全文 求助全文
来源期刊
Analytical Cellular Pathology
Analytical Cellular Pathology ONCOLOGY-CELL BIOLOGY
CiteScore
4.90
自引率
3.10%
发文量
70
审稿时长
16 weeks
期刊介绍: Analytical Cellular Pathology is a peer-reviewed, Open Access journal that provides a forum for scientists, medical practitioners and pathologists working in the area of cellular pathology. The journal publishes original research articles, review articles, and clinical studies related to cytology, carcinogenesis, cell receptors, biomarkers, diagnostic pathology, immunopathology, and hematology.
×
引用
GB/T 7714-2015
复制
MLA
复制
APA
复制
导出至
BibTeX EndNote RefMan NoteFirst NoteExpress
×
提示
您的信息不完整,为了账户安全,请先补充。
现在去补充
×
提示
您因"违规操作"
具体请查看互助需知
我知道了
×
提示
确定
请完成安全验证×
copy
已复制链接
快去分享给好友吧!
我知道了
右上角分享
点击右上角分享
0
联系我们:info@booksci.cn Book学术提供免费学术资源搜索服务,方便国内外学者检索中英文文献。致力于提供最便捷和优质的服务体验。 Copyright © 2023 布克学术 All rights reserved.
京ICP备2023020795号-1
ghs 京公网安备 11010802042870号
Book学术文献互助
Book学术文献互助群
群 号:604180095
Book学术官方微信