Robotic-Assisted Minimally Invasive Direct Coronary Artery Bypass Grafting with Concomitant Left Atrial Appendage Exclusion.

IF 1.2
Gregory Fishberger, Blake Bulard, Leonardo Paim N da Costa, Lucian Lozonschi
{"title":"Robotic-Assisted Minimally Invasive Direct Coronary Artery Bypass Grafting with Concomitant Left Atrial Appendage Exclusion.","authors":"Gregory Fishberger, Blake Bulard, Leonardo Paim N da Costa, Lucian Lozonschi","doi":"10.21470/1678-9741-2024-0198","DOIUrl":null,"url":null,"abstract":"<p><p>Off-pump robotic-assisted minimally invasive direct coronary artery bypass (MIDCAB) achieves revascularization without conventional sternotomy and provides benefit to patients that otherwise may not be ideal surgical candidates. For patients with comorbid atrial fibrillation, left atrial appendage exclusion may reduce stroke risk and is achievable via mini thoracotomy during concomitant MIDCAB. Here, we report four patients who underwent off-pump robotic-assisted MIDCAB and concurrent epicardial left atrial appendage exclusion. Intraoperative transesophageal echocardiography confirmed complete left atrial appendage exclusion in all cases. The concomitant robotic approach proved to be feasible, efficacious, and safe, with no postoperative mortality or stroke events during follow-up.</p>","PeriodicalId":72457,"journal":{"name":"Brazilian journal of cardiovascular surgery","volume":"40 3","pages":"e20240198"},"PeriodicalIF":1.2000,"publicationDate":"2025-02-24","publicationTypes":"Journal Article","fieldsOfStudy":null,"isOpenAccess":false,"openAccessPdf":"https://www.ncbi.nlm.nih.gov/pmc/articles/PMC11845091/pdf/","citationCount":"0","resultStr":null,"platform":"Semanticscholar","paperid":null,"PeriodicalName":"Brazilian journal of cardiovascular surgery","FirstCategoryId":"1085","ListUrlMain":"https://doi.org/10.21470/1678-9741-2024-0198","RegionNum":0,"RegionCategory":null,"ArticlePicture":[],"TitleCN":null,"AbstractTextCN":null,"PMCID":null,"EPubDate":"","PubModel":"","JCR":"","JCRName":"","Score":null,"Total":0}
引用次数: 0

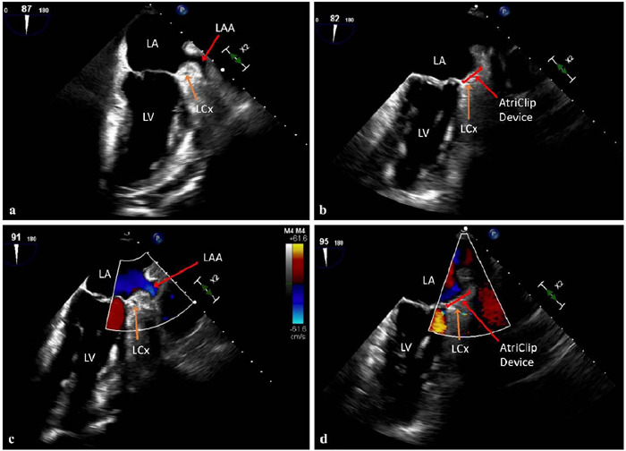
Abstract

Off-pump robotic-assisted minimally invasive direct coronary artery bypass (MIDCAB) achieves revascularization without conventional sternotomy and provides benefit to patients that otherwise may not be ideal surgical candidates. For patients with comorbid atrial fibrillation, left atrial appendage exclusion may reduce stroke risk and is achievable via mini thoracotomy during concomitant MIDCAB. Here, we report four patients who underwent off-pump robotic-assisted MIDCAB and concurrent epicardial left atrial appendage exclusion. Intraoperative transesophageal echocardiography confirmed complete left atrial appendage exclusion in all cases. The concomitant robotic approach proved to be feasible, efficacious, and safe, with no postoperative mortality or stroke events during follow-up.

Abstract Image

机器人辅助微创直接冠状动脉搭桥术合并左心耳切除。
无泵机器人辅助微创直接冠状动脉搭桥术(MIDCAB)无需传统的胸骨切开术即可实现血运重建术,并为患者提供了益处,否则可能不是理想的手术候选人。对于合并心房颤动的患者,左心房附件排除可以降低卒中风险,并且可以在合并MIDCAB期间通过小开胸实现。在这里,我们报告了4例接受非泵送机器人辅助MIDCAB和并发心外膜左心耳排除术的患者。术中经食管超声心动图证实所有病例左心耳完全排除。联合机器人方法被证明是可行、有效和安全的,随访期间无术后死亡或卒中事件。
本文章由计算机程序翻译,如有差异,请以英文原文为准。
求助全文
约1分钟内获得全文 求助全文
来源期刊
自引率
0.00%
发文量
0
×
引用
GB/T 7714-2015
复制
MLA
复制
APA
复制
导出至
BibTeX EndNote RefMan NoteFirst NoteExpress
×
提示
您的信息不完整,为了账户安全,请先补充。
现在去补充
×
提示
您因"违规操作"
具体请查看互助需知
我知道了
×
提示
确定
请完成安全验证×
copy
已复制链接
快去分享给好友吧!
我知道了
右上角分享
点击右上角分享
0
联系我们:info@booksci.cn Book学术提供免费学术资源搜索服务,方便国内外学者检索中英文文献。致力于提供最便捷和优质的服务体验。 Copyright © 2023 布克学术 All rights reserved.
京ICP备2023020795号-1
ghs 京公网安备 11010802042870号
Book学术文献互助
Book学术文献互助群
群 号:604180095
Book学术官方微信