Reentry to the Mediastinum When the Ascending Aorta Is Adherent to the Sternum: A Two-Stage Sternotomy Approach.

IF 1.2
Saimir Kuci, Ermal Likaj, Alfred Ibrahimi, Marsela Goga, Romina Teliti, Jacob Zeitani
{"title":"Reentry to the Mediastinum When the Ascending Aorta Is Adherent to the Sternum: A Two-Stage Sternotomy Approach.","authors":"Saimir Kuci, Ermal Likaj, Alfred Ibrahimi, Marsela Goga, Romina Teliti, Jacob Zeitani","doi":"10.21470/1678-9741-2023-0310","DOIUrl":null,"url":null,"abstract":"<p><p>Reentry to the mediastinum when the ascending aorta aneurysm is adherent to the sternum is characterized by high risk of aneurysm rupture during sternum opening. In such cases, often cardiopulmonary bypass via peripheral vessels is instituted, and reentry done in deep hypothermia and circulatory arrest. To reduce both risks of aneurysm rupture during resternotomy and those related to prolonged cardiopulmonary bypass time, we present a surgical approach consisting of a two-stage sternotomy to avoid the risky zone and extra-anatomic epiaortic vessels anastomoses.</p>","PeriodicalId":72457,"journal":{"name":"Brazilian journal of cardiovascular surgery","volume":"40 3","pages":"e20230310"},"PeriodicalIF":1.2000,"publicationDate":"2025-02-24","publicationTypes":"Journal Article","fieldsOfStudy":null,"isOpenAccess":false,"openAccessPdf":"https://www.ncbi.nlm.nih.gov/pmc/articles/PMC11873817/pdf/","citationCount":"0","resultStr":null,"platform":"Semanticscholar","paperid":null,"PeriodicalName":"Brazilian journal of cardiovascular surgery","FirstCategoryId":"1085","ListUrlMain":"https://doi.org/10.21470/1678-9741-2023-0310","RegionNum":0,"RegionCategory":null,"ArticlePicture":[],"TitleCN":null,"AbstractTextCN":null,"PMCID":null,"EPubDate":"","PubModel":"","JCR":"","JCRName":"","Score":null,"Total":0}
引用次数: 0

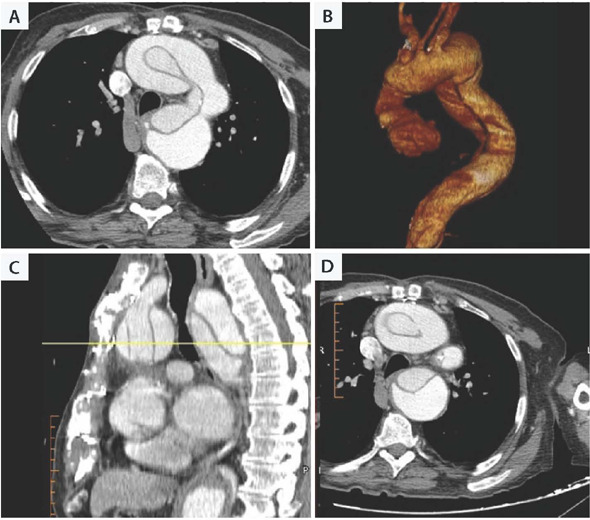
Abstract

Reentry to the mediastinum when the ascending aorta aneurysm is adherent to the sternum is characterized by high risk of aneurysm rupture during sternum opening. In such cases, often cardiopulmonary bypass via peripheral vessels is instituted, and reentry done in deep hypothermia and circulatory arrest. To reduce both risks of aneurysm rupture during resternotomy and those related to prolonged cardiopulmonary bypass time, we present a surgical approach consisting of a two-stage sternotomy to avoid the risky zone and extra-anatomic epiaortic vessels anastomoses.

Abstract Image

Abstract Image

Abstract Image

升主动脉附着胸骨时再入纵隔:两阶段胸骨切开入路。
当升主动脉动脉瘤附着在胸骨上时,再进入纵隔是胸骨打开过程中动脉瘤破裂的高风险。在这种情况下,通常通过外周血管进行体外循环,并在深度低温和循环停止时进行再入。为了降低胸骨切开术中动脉瘤破裂的风险以及与延长体外循环时间相关的风险,我们提出了一种由两阶段胸骨切开术组成的手术方法,以避免危险区域和解剖外的主动脉血管吻合。
本文章由计算机程序翻译,如有差异,请以英文原文为准。
求助全文
约1分钟内获得全文 求助全文
来源期刊
自引率
0.00%
发文量
0
×
引用
GB/T 7714-2015
复制
MLA
复制
APA
复制
导出至
BibTeX EndNote RefMan NoteFirst NoteExpress
×
提示
您的信息不完整,为了账户安全,请先补充。
现在去补充
×
提示
您因"违规操作"
具体请查看互助需知
我知道了
×
提示
确定
请完成安全验证×
copy
已复制链接
快去分享给好友吧!
我知道了
右上角分享
点击右上角分享
0
联系我们:info@booksci.cn Book学术提供免费学术资源搜索服务,方便国内外学者检索中英文文献。致力于提供最便捷和优质的服务体验。 Copyright © 2023 布克学术 All rights reserved.
京ICP备2023020795号-1
ghs 京公网安备 11010802042870号
Book学术文献互助
Book学术文献互助群
群 号:604180095
Book学术官方微信