Utilizing Vision Transformers for Predicting Early Response of Brain Metastasis to Magnetic Resonance Imaging-Guided Stage Gamma Knife Radiosurgery Treatment.

IF 2.2 4区 医学 Q2 RADIOLOGY, NUCLEAR MEDICINE & MEDICAL IMAGING
Simona Ruxandra Volovăț, Diana-Ioana Boboc, Mădălina-Raluca Ostafe, Călin Gheorghe Buzea, Maricel Agop, Lăcrămioara Ochiuz, Dragoș Ioan Rusu, Decebal Vasincu, Monica Iuliana Ungureanu, Cristian Constantin Volovăț
{"title":"Utilizing Vision Transformers for Predicting Early Response of Brain Metastasis to Magnetic Resonance Imaging-Guided Stage Gamma Knife Radiosurgery Treatment.","authors":"Simona Ruxandra Volovăț, Diana-Ioana Boboc, Mădălina-Raluca Ostafe, Călin Gheorghe Buzea, Maricel Agop, Lăcrămioara Ochiuz, Dragoș Ioan Rusu, Decebal Vasincu, Monica Iuliana Ungureanu, Cristian Constantin Volovăț","doi":"10.3390/tomography11020015","DOIUrl":null,"url":null,"abstract":"<p><strong>Background/objectives: </strong>This study explores the application of vision transformers to predict early responses to stereotactic radiosurgery in patients with brain metastases using minimally pre-processed magnetic resonance imaging scans. The objective is to assess the potential of vision transformers as a predictive tool for clinical decision-making, particularly in the context of imbalanced datasets.</p><p><strong>Methods: </strong>We analyzed magnetic resonance imaging scans from 19 brain metastases patients, focusing on axial fluid-attenuated inversion recovery and high-resolution contrast-enhanced T1-weighted sequences. Patients were categorized into responders (complete or partial response) and non-responders (stable or progressive disease).</p><p><strong>Results: </strong>Despite the imbalanced nature of the dataset, our results demonstrate that vision transformers can predict early treatment responses with an overall accuracy of 99%. The model exhibited high precision (99% for progression and 100% for regression) and recall (99% for progression and 100% for regression). The use of the attention mechanism in the vision transformers allowed the model to focus on relevant features in the magnetic resonance imaging images, ensuring an unbiased performance even with the imbalanced data. Confusion matrix analysis further confirmed the model's reliability, with minimal misclassifications. Additionally, the model achieved a perfect area under the receiver operator characteristic curve (AUC = 1.00), effectively distinguishing between responders and non-responders.</p><p><strong>Conclusions: </strong>These findings highlight the potential of vision transformers, aided by the attention mechanism, as a non-invasive, predictive tool for early response assessment in clinical oncology. The vision transformer (ViT) model employed in this study processes MRIs as sequences of patches, enabling the capture of localized tumor features critical for early response prediction. By leveraging patch-based feature learning, this approach enhances robustness, interpretability, and clinical applicability, addressing key challenges in tumor progression prediction following stereotactic radiosurgery (SRS). The model's robust performance, despite the dataset imbalance, underscores its ability to provide unbiased predictions. This approach could significantly enhance clinical decision-making and support personalized treatment strategies for brain metastases. Future research should validate these findings in larger, more diverse cohorts and explore the integration of additional data types to further optimize the model's clinical utility.</p>","PeriodicalId":51330,"journal":{"name":"Tomography","volume":"11 2","pages":""},"PeriodicalIF":2.2000,"publicationDate":"2025-02-07","publicationTypes":"Journal Article","fieldsOfStudy":null,"isOpenAccess":false,"openAccessPdf":"https://www.ncbi.nlm.nih.gov/pmc/articles/PMC11860310/pdf/","citationCount":"0","resultStr":null,"platform":"Semanticscholar","paperid":null,"PeriodicalName":"Tomography","FirstCategoryId":"3","ListUrlMain":"https://doi.org/10.3390/tomography11020015","RegionNum":4,"RegionCategory":"医学","ArticlePicture":[],"TitleCN":null,"AbstractTextCN":null,"PMCID":null,"EPubDate":"","PubModel":"","JCR":"Q2","JCRName":"RADIOLOGY, NUCLEAR MEDICINE & MEDICAL IMAGING","Score":null,"Total":0}
引用次数: 0

Abstract

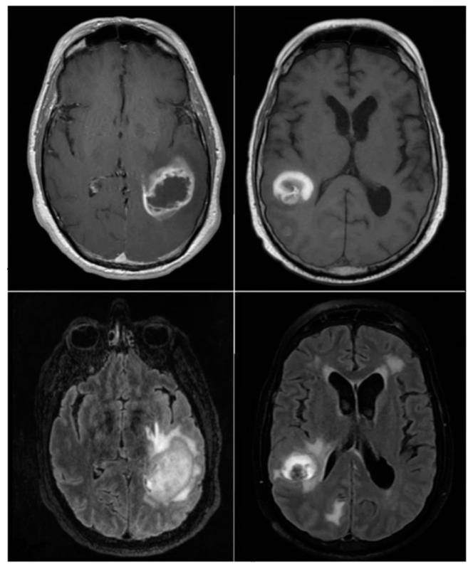
Background/objectives: This study explores the application of vision transformers to predict early responses to stereotactic radiosurgery in patients with brain metastases using minimally pre-processed magnetic resonance imaging scans. The objective is to assess the potential of vision transformers as a predictive tool for clinical decision-making, particularly in the context of imbalanced datasets.

Methods: We analyzed magnetic resonance imaging scans from 19 brain metastases patients, focusing on axial fluid-attenuated inversion recovery and high-resolution contrast-enhanced T1-weighted sequences. Patients were categorized into responders (complete or partial response) and non-responders (stable or progressive disease).

Results: Despite the imbalanced nature of the dataset, our results demonstrate that vision transformers can predict early treatment responses with an overall accuracy of 99%. The model exhibited high precision (99% for progression and 100% for regression) and recall (99% for progression and 100% for regression). The use of the attention mechanism in the vision transformers allowed the model to focus on relevant features in the magnetic resonance imaging images, ensuring an unbiased performance even with the imbalanced data. Confusion matrix analysis further confirmed the model's reliability, with minimal misclassifications. Additionally, the model achieved a perfect area under the receiver operator characteristic curve (AUC = 1.00), effectively distinguishing between responders and non-responders.

Conclusions: These findings highlight the potential of vision transformers, aided by the attention mechanism, as a non-invasive, predictive tool for early response assessment in clinical oncology. The vision transformer (ViT) model employed in this study processes MRIs as sequences of patches, enabling the capture of localized tumor features critical for early response prediction. By leveraging patch-based feature learning, this approach enhances robustness, interpretability, and clinical applicability, addressing key challenges in tumor progression prediction following stereotactic radiosurgery (SRS). The model's robust performance, despite the dataset imbalance, underscores its ability to provide unbiased predictions. This approach could significantly enhance clinical decision-making and support personalized treatment strategies for brain metastases. Future research should validate these findings in larger, more diverse cohorts and explore the integration of additional data types to further optimize the model's clinical utility.

Abstract Image

Abstract Image

Abstract Image

利用视觉变压器预测脑转移对磁共振成像引导阶段伽玛刀放射治疗的早期反应。
背景/目的:本研究探讨了视觉变换器在预测脑转移患者对立体定向放射外科手术早期反应中的应用,使用的是经过最小预处理的磁共振成像扫描结果。目的是评估视觉变换器作为临床决策预测工具的潜力,尤其是在不平衡数据集的情况下:我们分析了 19 名脑转移患者的磁共振成像扫描结果,重点是轴向液体衰减反转恢复和高分辨率对比增强 T1 加权序列。患者被分为有反应者(完全或部分反应)和无反应者(病情稳定或进展):尽管数据集不平衡,但我们的结果表明,视觉转换器可以预测早期治疗反应,总体准确率高达 99%。该模型表现出较高的精确度(进展期为 99%,回归期为 100%)和召回率(进展期为 99%,回归期为 100%)。视觉转换器中注意力机制的使用使模型能够关注磁共振成像图像中的相关特征,从而确保即使在不平衡数据的情况下也能获得无偏的性能。混淆矩阵分析进一步证实了模型的可靠性,误分类极少。此外,该模型的接收者运算特征曲线下面积(AUC = 1.00)达到了完美水平,有效区分了应答者和非应答者:这些研究结果凸显了视觉转换器在注意力机制的辅助下作为临床肿瘤学早期反应评估的非侵入性预测工具的潜力。本研究采用的视觉转换器(ViT)模型将核磁共振成像图像处理为斑块序列,从而捕捉到对早期反应预测至关重要的局部肿瘤特征。通过利用基于斑块的特征学习,这种方法增强了鲁棒性、可解释性和临床适用性,解决了立体定向放射手术(SRS)后肿瘤进展预测的关键难题。该模型在数据集不平衡的情况下仍然表现稳健,这突出表明它有能力提供无偏的预测。这种方法可以大大提高临床决策水平,支持针对脑转移的个性化治疗策略。未来的研究应在更大规模、更多样化的队列中验证这些发现,并探索整合其他数据类型,以进一步优化模型的临床实用性。
本文章由计算机程序翻译,如有差异,请以英文原文为准。
求助全文
约1分钟内获得全文 求助全文
来源期刊
Tomography
Tomography Medicine-Radiology, Nuclear Medicine and Imaging
CiteScore
2.70
自引率
10.50%
发文量
222
期刊介绍: TomographyTM publishes basic (technical and pre-clinical) and clinical scientific articles which involve the advancement of imaging technologies. Tomography encompasses studies that use single or multiple imaging modalities including for example CT, US, PET, SPECT, MR and hyperpolarization technologies, as well as optical modalities (i.e. bioluminescence, photoacoustic, endomicroscopy, fiber optic imaging and optical computed tomography) in basic sciences, engineering, preclinical and clinical medicine. Tomography also welcomes studies involving exploration and refinement of contrast mechanisms and image-derived metrics within and across modalities toward the development of novel imaging probes for image-based feedback and intervention. The use of imaging in biology and medicine provides unparalleled opportunities to noninvasively interrogate tissues to obtain real-time dynamic and quantitative information required for diagnosis and response to interventions and to follow evolving pathological conditions. As multi-modal studies and the complexities of imaging technologies themselves are ever increasing to provide advanced information to scientists and clinicians. Tomography provides a unique publication venue allowing investigators the opportunity to more precisely communicate integrated findings related to the diverse and heterogeneous features associated with underlying anatomical, physiological, functional, metabolic and molecular genetic activities of normal and diseased tissue. Thus Tomography publishes peer-reviewed articles which involve the broad use of imaging of any tissue and disease type including both preclinical and clinical investigations. In addition, hardware/software along with chemical and molecular probe advances are welcome as they are deemed to significantly contribute towards the long-term goal of improving the overall impact of imaging on scientific and clinical discovery.
×
引用
GB/T 7714-2015
复制
MLA
复制
APA
复制
导出至
BibTeX EndNote RefMan NoteFirst NoteExpress
×
提示
您的信息不完整,为了账户安全,请先补充。
现在去补充
×
提示
您因"违规操作"
具体请查看互助需知
我知道了
×
提示
确定
请完成安全验证×
copy
已复制链接
快去分享给好友吧!
我知道了
右上角分享
点击右上角分享
0
联系我们:info@booksci.cn Book学术提供免费学术资源搜索服务,方便国内外学者检索中英文文献。致力于提供最便捷和优质的服务体验。 Copyright © 2023 布克学术 All rights reserved.
京ICP备2023020795号-1
ghs 京公网安备 11010802042870号
Book学术文献互助
Book学术文献互助群
群 号:604180095
Book学术官方微信