Dermatologic Lesions with Eosinophilia in the Head and Neck.

IF 4.1 Q2 PATHOLOGY
David T Danielson, Ian Lagerstrom, Zachary Wary, Aaron Auerbach, David S Cassarino
{"title":"Dermatologic Lesions with Eosinophilia in the Head and Neck.","authors":"David T Danielson, Ian Lagerstrom, Zachary Wary, Aaron Auerbach, David S Cassarino","doi":"10.1007/s12105-025-01757-3","DOIUrl":null,"url":null,"abstract":"<p><strong>Background: </strong>Dermatologic lesions with notable eosinophilic infiltration of the head and neck region represent a diverse group of conditions, ranging from benign to malignant proliferations.</p><p><strong>Methods: </strong>We performed a comprehensive literature review focusing on head and neck dermatologic conditions that commonly present with a prominent eosinophilic infiltrate.</p><p><strong>Results: </strong>This review provides an overview of common entities showing prominent associated eosinophilic inflammatory infiltrates in this region, including epithelioid hemangioma, eosinophilic cellulitis (Wells syndrome), eosinophilic folliculitis, eosinophilic granulomatosis with polyangiitis (Churg-Strauss syndrome), granuloma faciale, and Langerhans cell histiocytosis (LCH).</p><p><strong>Conclusion: </strong>Eosinophils play a key role in the pathogenesis of these disorders, although the exact mechanisms remain poorly understood. Accurate diagnosis is crucial for differentiating these conditions, as they can share similar histologic features. This review aims to enhance understanding of these eosinophilic dermatologic conditions, improving diagnostic accuracy and treatment strategies.</p>","PeriodicalId":47972,"journal":{"name":"Head & Neck Pathology","volume":"19 1","pages":"27"},"PeriodicalIF":4.1000,"publicationDate":"2025-02-25","publicationTypes":"Journal Article","fieldsOfStudy":null,"isOpenAccess":false,"openAccessPdf":"https://www.ncbi.nlm.nih.gov/pmc/articles/PMC11861469/pdf/","citationCount":"0","resultStr":null,"platform":"Semanticscholar","paperid":null,"PeriodicalName":"Head & Neck Pathology","FirstCategoryId":"1085","ListUrlMain":"https://doi.org/10.1007/s12105-025-01757-3","RegionNum":0,"RegionCategory":null,"ArticlePicture":[],"TitleCN":null,"AbstractTextCN":null,"PMCID":null,"EPubDate":"","PubModel":"","JCR":"Q2","JCRName":"PATHOLOGY","Score":null,"Total":0}
引用次数: 0

Abstract

Background: Dermatologic lesions with notable eosinophilic infiltration of the head and neck region represent a diverse group of conditions, ranging from benign to malignant proliferations.

Methods: We performed a comprehensive literature review focusing on head and neck dermatologic conditions that commonly present with a prominent eosinophilic infiltrate.

Results: This review provides an overview of common entities showing prominent associated eosinophilic inflammatory infiltrates in this region, including epithelioid hemangioma, eosinophilic cellulitis (Wells syndrome), eosinophilic folliculitis, eosinophilic granulomatosis with polyangiitis (Churg-Strauss syndrome), granuloma faciale, and Langerhans cell histiocytosis (LCH).

Conclusion: Eosinophils play a key role in the pathogenesis of these disorders, although the exact mechanisms remain poorly understood. Accurate diagnosis is crucial for differentiating these conditions, as they can share similar histologic features. This review aims to enhance understanding of these eosinophilic dermatologic conditions, improving diagnostic accuracy and treatment strategies.

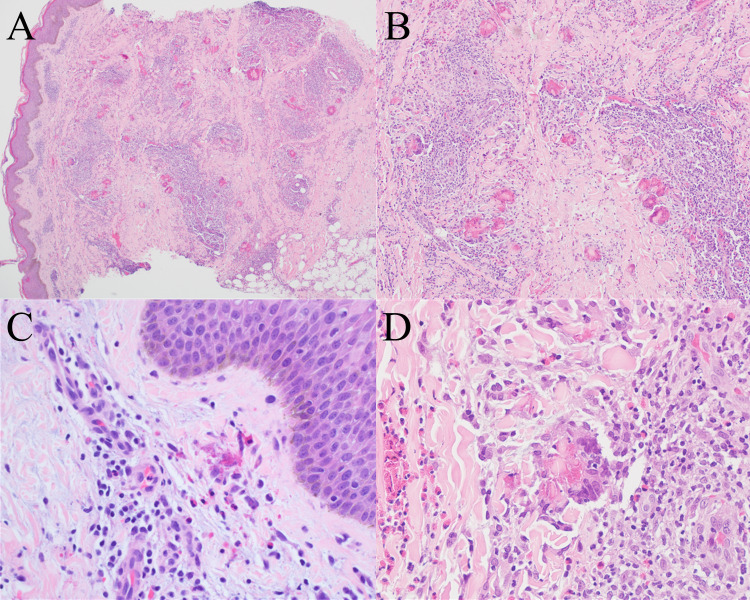
Abstract Image

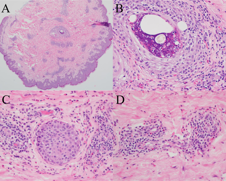
Abstract Image

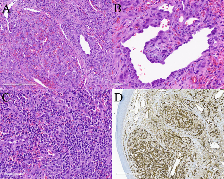
Abstract Image

头颈部皮肤病变伴嗜酸性粒细胞增多。
背景:头部和颈部有明显嗜酸性粒细胞浸润的皮肤病变代表了一组不同的疾病,从良性到恶性增生。方法:我们进行了全面的文献综述,重点是头颈部皮肤病,通常表现为突出的嗜酸性粒细胞浸润。结果:本综述概述了在该区域表现出显著相关嗜酸性粒细胞性炎症浸润的常见实体,包括上皮样血管瘤、嗜酸性蜂窝织炎(Wells综合征)、嗜酸性毛囊炎、嗜酸性肉芽肿伴多血管炎(Churg-Strauss综合征)、面部肉芽肿和朗格汉斯细胞组织细胞增多症(LCH)。结论:嗜酸性粒细胞在这些疾病的发病机制中起关键作用,尽管其确切机制尚不清楚。准确的诊断对于鉴别这些疾病至关重要,因为它们具有相似的组织学特征。本文综述旨在提高对这些嗜酸性皮肤疾病的认识,提高诊断准确性和治疗策略。
本文章由计算机程序翻译,如有差异,请以英文原文为准。
求助全文
约1分钟内获得全文 求助全文
来源期刊
CiteScore
5.70
自引率
9.50%
发文量
99
期刊介绍: Head & Neck Pathology presents scholarly papers, reviews and symposia that cover the spectrum of human surgical pathology within the anatomic zones of the oral cavity, sinonasal tract, larynx, hypopharynx, salivary gland, ear and temporal bone, and neck. The journal publishes rapid developments in new diagnostic criteria, intraoperative consultation, immunohistochemical studies, molecular techniques, genetic analyses, diagnostic aids, experimental pathology, cytology, radiographic imaging, and application of uniform terminology to allow practitioners to continue to maintain and expand their knowledge in the subspecialty of head and neck pathology. Coverage of practical application to daily clinical practice is supported with proceedings and symposia from international societies and academies devoted to this field. Single-blind peer review The journal follows a single-blind review procedure, where the reviewers are aware of the names and affiliations of the authors, but the reviewer reports provided to authors are anonymous. Single-blind peer review is the traditional model of peer review that many reviewers are comfortable with, and it facilitates a dispassionate critique of a manuscript.
×
引用
GB/T 7714-2015
复制
MLA
复制
APA
复制
导出至
BibTeX EndNote RefMan NoteFirst NoteExpress
×
提示
您的信息不完整,为了账户安全,请先补充。
现在去补充
×
提示
您因"违规操作"
具体请查看互助需知
我知道了
×
提示
确定
请完成安全验证×
copy
已复制链接
快去分享给好友吧!
我知道了
右上角分享
点击右上角分享
0
联系我们:info@booksci.cn Book学术提供免费学术资源搜索服务,方便国内外学者检索中英文文献。致力于提供最便捷和优质的服务体验。 Copyright © 2023 布克学术 All rights reserved.
京ICP备2023020795号-1
ghs 京公网安备 11010802042870号
Book学术文献互助
Book学术文献互助群
群 号:604180095
Book学术官方微信