Bosutinib-Induced Pleural Effusion-Class Effect and Cross-Intolerance to All Tyrosine Kinase Inhibitors.

IF 1.2 Q4 HEMATOLOGY
Nikhil Vojjala, Hizqueel A Sami, Nikhil Kumar Kotla, Supriya Peshin, Kanika Goyal, Soumya Kondaveety, Rishab Rajendra Prabhu, Geetha Krishnamoorthy
{"title":"Bosutinib-Induced Pleural Effusion-Class Effect and Cross-Intolerance to All Tyrosine Kinase Inhibitors.","authors":"Nikhil Vojjala, Hizqueel A Sami, Nikhil Kumar Kotla, Supriya Peshin, Kanika Goyal, Soumya Kondaveety, Rishab Rajendra Prabhu, Geetha Krishnamoorthy","doi":"10.3390/hematolrep17010007","DOIUrl":null,"url":null,"abstract":"<p><p><b>Introduction:</b> Tyrosine kinase inhibitors (TKIs) serve as the backbone in the management of chronic myelogenous leukemia and Philadelphia-positive Acute lymphoblastic Leukemia (Ph+ve ALL). With the growing use of TKIs, there has been an increase in adverse events related to these agents. Hereby, we present elderly women with Ph+ve ALL who developed recurrent pleural effusion, which was managed by switching the TKI and highlighting pleural effusion due to a third-generation TKI Bosutinib, adding to the minimal available literature. <b>Case Description:</b> Our patient is a 79-year-old female with Ph+ve ALL diagnosed in 2015 and started on treatment. She is also on TKI maintenance initially with Imatinib later shifted to second-generation TKIs. She started developing worsening dyspnea related to pulmonary toxicity related to TKI in the form of pleural effusion. Pleural effusion was initially managed with diuretics, later requiring thoracocentesis. Because of persistent pleural effusion, she was changed to multiple TKIs and finally started on Bosutinib. She even developed progressive pleural effusion while on Bosutinib which is managed by thoracocentesis. <b>Conclusions:</b> Through this case report, we would like to highlight refractory recurrent pleural effusion caused by bosutinib adding to the minimal available literature. In addition, we highlight the various treatment options in patients having cross-intolerance to various TKIs, especially pulmonary toxicity, and ponatinib might be a suitable option in such cases.</p>","PeriodicalId":12829,"journal":{"name":"Hematology Reports","volume":"17 1","pages":""},"PeriodicalIF":1.2000,"publicationDate":"2025-01-31","publicationTypes":"Journal Article","fieldsOfStudy":null,"isOpenAccess":false,"openAccessPdf":"https://www.ncbi.nlm.nih.gov/pmc/articles/PMC11855369/pdf/","citationCount":"0","resultStr":null,"platform":"Semanticscholar","paperid":null,"PeriodicalName":"Hematology Reports","FirstCategoryId":"1085","ListUrlMain":"https://doi.org/10.3390/hematolrep17010007","RegionNum":0,"RegionCategory":null,"ArticlePicture":[],"TitleCN":null,"AbstractTextCN":null,"PMCID":null,"EPubDate":"","PubModel":"","JCR":"Q4","JCRName":"HEMATOLOGY","Score":null,"Total":0}
引用次数: 0

Abstract

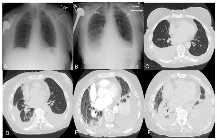
Introduction: Tyrosine kinase inhibitors (TKIs) serve as the backbone in the management of chronic myelogenous leukemia and Philadelphia-positive Acute lymphoblastic Leukemia (Ph+ve ALL). With the growing use of TKIs, there has been an increase in adverse events related to these agents. Hereby, we present elderly women with Ph+ve ALL who developed recurrent pleural effusion, which was managed by switching the TKI and highlighting pleural effusion due to a third-generation TKI Bosutinib, adding to the minimal available literature. Case Description: Our patient is a 79-year-old female with Ph+ve ALL diagnosed in 2015 and started on treatment. She is also on TKI maintenance initially with Imatinib later shifted to second-generation TKIs. She started developing worsening dyspnea related to pulmonary toxicity related to TKI in the form of pleural effusion. Pleural effusion was initially managed with diuretics, later requiring thoracocentesis. Because of persistent pleural effusion, she was changed to multiple TKIs and finally started on Bosutinib. She even developed progressive pleural effusion while on Bosutinib which is managed by thoracocentesis. Conclusions: Through this case report, we would like to highlight refractory recurrent pleural effusion caused by bosutinib adding to the minimal available literature. In addition, we highlight the various treatment options in patients having cross-intolerance to various TKIs, especially pulmonary toxicity, and ponatinib might be a suitable option in such cases.

Abstract Image

Abstract Image

博舒替尼诱导的胸腔积液类效应和对所有酪氨酸激酶抑制剂的交叉不耐受。
简介:酪氨酸激酶抑制剂(TKIs)在慢性髓性白血病和费城阳性急性淋巴细胞白血病(Ph+ve ALL)的治疗中起着骨干作用。随着TKIs使用的增加,与这些药物相关的不良事件也在增加。因此,我们报告了Ph+ve ALL的老年女性复发性胸腔积液,通过切换TKI和强调第三代TKI博舒替尼引起的胸腔积液来治疗,增加了现有的文献。病例描述:我们的患者是一名79岁的女性,2015年诊断为Ph+ve ALL并开始治疗。她也在进行TKI维护,最初使用伊马替尼,后来转移到第二代TKI。她开始出现恶化的呼吸困难,与TKI相关的肺毒性以胸腔积液的形式出现。胸腔积液最初用利尿剂治疗,后来需要胸腔穿刺术。由于持续胸腔积液,她被改为多重tki,并最终开始使用博舒替尼。在使用博舒替尼时,她甚至出现了进行性胸腔积液。结论:通过本病例报告,我们希望突出博舒替尼引起的难治性复发性胸腔积液,以补充现有的文献。此外,我们强调了对各种tki交叉不耐受的患者的各种治疗选择,特别是肺毒性,波纳替尼可能是这种情况下的合适选择。
本文章由计算机程序翻译,如有差异,请以英文原文为准。
求助全文
约1分钟内获得全文 求助全文
来源期刊
Hematology Reports
Hematology Reports HEMATOLOGY-
CiteScore
0.90
自引率
0.00%
发文量
47
审稿时长
10 weeks
×
引用
GB/T 7714-2015
复制
MLA
复制
APA
复制
导出至
BibTeX EndNote RefMan NoteFirst NoteExpress
×
提示
您的信息不完整,为了账户安全,请先补充。
现在去补充
×
提示
您因"违规操作"
具体请查看互助需知
我知道了
×
提示
确定
请完成安全验证×
copy
已复制链接
快去分享给好友吧!
我知道了
右上角分享
点击右上角分享
0
联系我们:info@booksci.cn Book学术提供免费学术资源搜索服务,方便国内外学者检索中英文文献。致力于提供最便捷和优质的服务体验。 Copyright © 2023 布克学术 All rights reserved.
京ICP备2023020795号-1
ghs 京公网安备 11010802042870号
Book学术文献互助
Book学术文献互助群
群 号:604180095
Book学术官方微信