Mitigated Clinical Course of Crescentic Glomerulonephritis with Positive Anti-Glomerular Basement Membrane Antibodies in a 14-Year-Old Girl.

Glomerular diseases Pub Date : 2025-01-03 eCollection Date: 2025-01-01 DOI:10.1159/000543339
Noortje M van der Meulen, Michiel J S Oosterveld, Marjolijn S W Quaak, Ester M M van Leeuwen, Joris J T H Roelofs, Rik Westland
{"title":"Mitigated Clinical Course of Crescentic Glomerulonephritis with Positive Anti-Glomerular Basement Membrane Antibodies in a 14-Year-Old Girl.","authors":"Noortje M van der Meulen, Michiel J S Oosterveld, Marjolijn S W Quaak, Ester M M van Leeuwen, Joris J T H Roelofs, Rik Westland","doi":"10.1159/000543339","DOIUrl":null,"url":null,"abstract":"<p><strong>Introduction: </strong>Anti-glomerular basement membrane (anti-GBM) glomerulonephritis is associated with severe kidney failure and high morbidity and is exceedingly rare in children. The few pediatric studies published about this condition report dependency of kidney replacement therapy at presentation and partial or complete response in kidney function in a minority of cases.</p><p><strong>Case presentation: </strong>We describe the case of a 14-year-old girl with crescentic glomerulonephritis based on double positive anti-GBM and myeloperoxidase-antineutrophil cytoplasmic antibodies with a mitigated clinical course presenting with fatigue, anemia, and an estimated glomerular filtration rate range between 34 and 42 mL/min/1.73 m<sup>2</sup>. Response to treatment with daily therapeutic plasma exchanges, corticosteroids, and oral cyclophosphamide was prompt.</p><p><strong>Conclusion: </strong>This ultrarare presentation highlights the need to consider determining anti-GBM antibodies and/or obtaining a kidney biopsy even in children with less severe presentations of unexplained glomerulonephritis and underlines the clinical treatment dilemma in this disease for children due to the potential long-term sequelae.</p>","PeriodicalId":73177,"journal":{"name":"Glomerular diseases","volume":"5 1","pages":"68-73"},"PeriodicalIF":0.0000,"publicationDate":"2025-01-03","publicationTypes":"Journal Article","fieldsOfStudy":null,"isOpenAccess":false,"openAccessPdf":"https://www.ncbi.nlm.nih.gov/pmc/articles/PMC11845167/pdf/","citationCount":"0","resultStr":null,"platform":"Semanticscholar","paperid":null,"PeriodicalName":"Glomerular diseases","FirstCategoryId":"1085","ListUrlMain":"https://doi.org/10.1159/000543339","RegionNum":0,"RegionCategory":null,"ArticlePicture":[],"TitleCN":null,"AbstractTextCN":null,"PMCID":null,"EPubDate":"2025/1/1 0:00:00","PubModel":"eCollection","JCR":"","JCRName":"","Score":null,"Total":0}
引用次数: 0

Abstract

Introduction: Anti-glomerular basement membrane (anti-GBM) glomerulonephritis is associated with severe kidney failure and high morbidity and is exceedingly rare in children. The few pediatric studies published about this condition report dependency of kidney replacement therapy at presentation and partial or complete response in kidney function in a minority of cases.

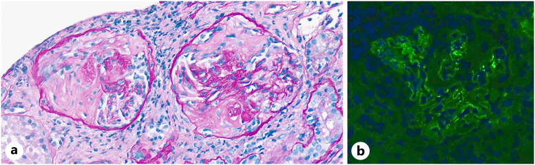
Case presentation: We describe the case of a 14-year-old girl with crescentic glomerulonephritis based on double positive anti-GBM and myeloperoxidase-antineutrophil cytoplasmic antibodies with a mitigated clinical course presenting with fatigue, anemia, and an estimated glomerular filtration rate range between 34 and 42 mL/min/1.73 m2. Response to treatment with daily therapeutic plasma exchanges, corticosteroids, and oral cyclophosphamide was prompt.

Conclusion: This ultrarare presentation highlights the need to consider determining anti-GBM antibodies and/or obtaining a kidney biopsy even in children with less severe presentations of unexplained glomerulonephritis and underlines the clinical treatment dilemma in this disease for children due to the potential long-term sequelae.

Abstract Image

Abstract Image

抗肾小球基底膜抗体阳性的14岁女孩月牙状肾小球肾炎的缓解临床病程。
简介:抗肾小球基底膜肾小球肾炎(anti-GBM)伴严重肾衰竭,发病率高,在儿童中极为罕见。发表的关于这种情况的少数儿科研究报告了在出现时依赖肾脏替代治疗和少数病例肾功能部分或完全缓解。病例介绍:我们描述了一名14岁女孩患有月牙状肾小球肾炎的病例,基于抗gbm和髓过氧化物酶-抗中性粒细胞胞浆抗体双阳性,临床病程减轻,表现为疲劳,贫血,肾小球滤过率估计在34至42 mL/min/1.73 m2之间。对每日血浆交换治疗、皮质类固醇和口服环磷酰胺治疗反应迅速。结论:这种罕见的表现强调了即使在不明原因肾小球肾炎不太严重的儿童中,也需要考虑检测抗gbm抗体和/或进行肾活检,并强调了由于潜在的长期后遗症,这种疾病在儿童中的临床治疗困境。
本文章由计算机程序翻译,如有差异,请以英文原文为准。
求助全文
约1分钟内获得全文 求助全文
来源期刊
自引率
0.00%
发文量
0
×
引用
GB/T 7714-2015
复制
MLA
复制
APA
复制
导出至
BibTeX EndNote RefMan NoteFirst NoteExpress
×
提示
您的信息不完整,为了账户安全,请先补充。
现在去补充
×
提示
您因"违规操作"
具体请查看互助需知
我知道了
×
提示
确定
请完成安全验证×
copy
已复制链接
快去分享给好友吧!
我知道了
右上角分享
点击右上角分享
0
联系我们:info@booksci.cn Book学术提供免费学术资源搜索服务,方便国内外学者检索中英文文献。致力于提供最便捷和优质的服务体验。 Copyright © 2023 布克学术 All rights reserved.
京ICP备2023020795号-1
ghs 京公网安备 11010802042870号
Book学术文献互助
Book学术文献互助群
群 号:604180095
Book学术官方微信