Genetic and Iatrogenic Defects in Peripheral Tolerance Associated with Anti-Nephrin Antibody-Associated Minimal Change Disease.

Glomerular diseases Pub Date : 2025-01-09 eCollection Date: 2025-01-01 DOI:10.1159/000543334
J Ashley Jefferson, Karin Chen, Sangeeta Hingorani, A Bilal Malik, Scott S Tykodi, Keith H Keller, Yuan Huang, Kelly D Smith, Robyn C Reed, Astrid Weins, Shreeram Akilesh
{"title":"Genetic and Iatrogenic Defects in Peripheral Tolerance Associated with Anti-Nephrin Antibody-Associated Minimal Change Disease.","authors":"J Ashley Jefferson, Karin Chen, Sangeeta Hingorani, A Bilal Malik, Scott S Tykodi, Keith H Keller, Yuan Huang, Kelly D Smith, Robyn C Reed, Astrid Weins, Shreeram Akilesh","doi":"10.1159/000543334","DOIUrl":null,"url":null,"abstract":"<p><strong>Introduction: </strong>Minimal change disease (MCD) is a common cause of nephrotic syndrome in children and adults. Immune dysregulation is a contributor, but the relative roles of individual components of the immune system in MCD pathogenesis remain unclear.</p><p><strong>Case presentation: </strong>Here, we present 2 patients with defects in immune tolerance mechanisms that developed MCD associated with anti-nephrin antibodies. The first patient had a pathogenic deletion in <i>FOXP3</i>, leading to reduced regulatory T cells. Serum could not be obtained from this patient during the active phase of MCD to directly establish the presence of anti-nephrin antibodies. However, this patient demonstrated IgG dusting over podocyte cell bodies by immunofluorescence microscopy, as well as colocalization of IgG with nephrin in confocal microscopy. The second patient developed MCD in the context of immune checkpoint inhibitor treatment for metastatic carcinoma. Anti-nephrin antibodies were detected in this patient during active disease. The patient's kidney biopsy also showed evidence of binding of anti-nephrin antibodies within the glomeruli.</p><p><strong>Conclusion: </strong>These cases demonstrate that genetic and iatrogenic mechanisms of breakdown in peripheral tolerance can lead to MCD.</p>","PeriodicalId":73177,"journal":{"name":"Glomerular diseases","volume":"5 1","pages":"74-83"},"PeriodicalIF":0.0000,"publicationDate":"2025-01-09","publicationTypes":"Journal Article","fieldsOfStudy":null,"isOpenAccess":false,"openAccessPdf":"https://www.ncbi.nlm.nih.gov/pmc/articles/PMC11845169/pdf/","citationCount":"0","resultStr":null,"platform":"Semanticscholar","paperid":null,"PeriodicalName":"Glomerular diseases","FirstCategoryId":"1085","ListUrlMain":"https://doi.org/10.1159/000543334","RegionNum":0,"RegionCategory":null,"ArticlePicture":[],"TitleCN":null,"AbstractTextCN":null,"PMCID":null,"EPubDate":"2025/1/1 0:00:00","PubModel":"eCollection","JCR":"","JCRName":"","Score":null,"Total":0}
引用次数: 0

Abstract

Introduction: Minimal change disease (MCD) is a common cause of nephrotic syndrome in children and adults. Immune dysregulation is a contributor, but the relative roles of individual components of the immune system in MCD pathogenesis remain unclear.

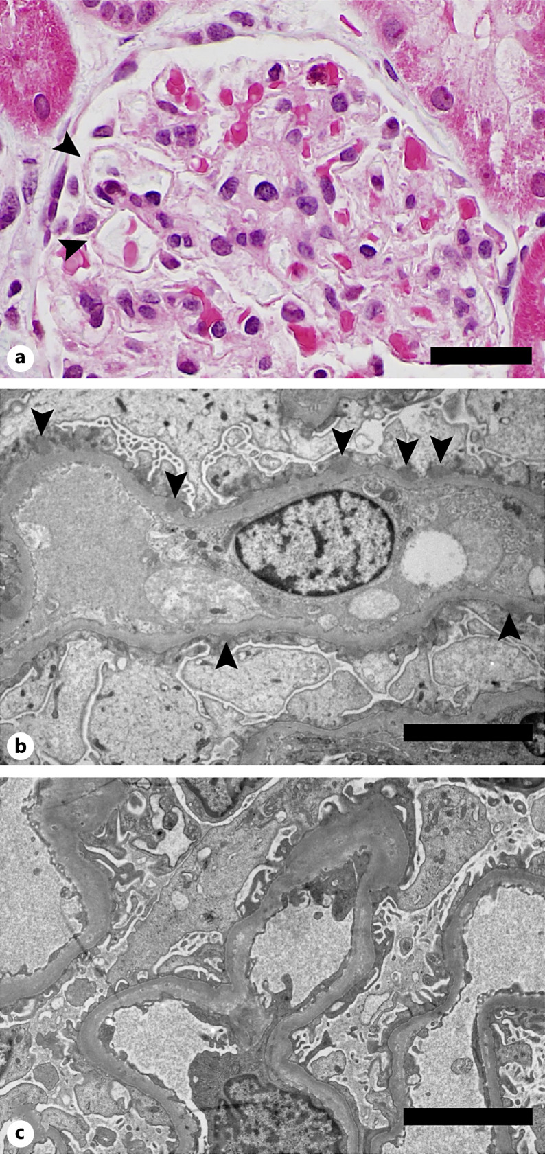
Case presentation: Here, we present 2 patients with defects in immune tolerance mechanisms that developed MCD associated with anti-nephrin antibodies. The first patient had a pathogenic deletion in FOXP3, leading to reduced regulatory T cells. Serum could not be obtained from this patient during the active phase of MCD to directly establish the presence of anti-nephrin antibodies. However, this patient demonstrated IgG dusting over podocyte cell bodies by immunofluorescence microscopy, as well as colocalization of IgG with nephrin in confocal microscopy. The second patient developed MCD in the context of immune checkpoint inhibitor treatment for metastatic carcinoma. Anti-nephrin antibodies were detected in this patient during active disease. The patient's kidney biopsy also showed evidence of binding of anti-nephrin antibodies within the glomeruli.

Conclusion: These cases demonstrate that genetic and iatrogenic mechanisms of breakdown in peripheral tolerance can lead to MCD.

Abstract Image

Abstract Image

Abstract Image

与抗肾素抗体相关的微小改变疾病相关的外周耐受的遗传和医源性缺陷。
微变病(MCD)是儿童和成人肾病综合征的常见病因。免疫失调是一个因素,但免疫系统的各个组成部分在MCD发病机制中的相对作用尚不清楚。病例介绍:在这里,我们报告了2例免疫耐受机制缺陷的患者,他们发生了与抗肾素抗体相关的MCD。第一位患者FOXP3有致病性缺失,导致调节性T细胞减少。在MCD的活动性阶段,不能从该患者身上获得血清来直接确定抗肾素抗体的存在。然而,该患者在免疫荧光显微镜下显示IgG在足细胞细胞体上呈粉尘状,在共聚焦显微镜下显示IgG与肾素共定位。第二例患者在免疫检查点抑制剂治疗转移性癌的背景下发生MCD。该患者在活动性疾病期间检测到抗肾素抗体。患者的肾活检也显示肾小球内有抗肾素抗体结合的证据。结论:这些病例表明外周耐受性破坏的遗传和医源性机制可导致MCD。
本文章由计算机程序翻译,如有差异,请以英文原文为准。
求助全文
约1分钟内获得全文 求助全文
来源期刊
自引率
0.00%
发文量
0
×
引用
GB/T 7714-2015
复制
MLA
复制
APA
复制
导出至
BibTeX EndNote RefMan NoteFirst NoteExpress
×
提示
您的信息不完整,为了账户安全,请先补充。
现在去补充
×
提示
您因"违规操作"
具体请查看互助需知
我知道了
×
提示
确定
请完成安全验证×
copy
已复制链接
快去分享给好友吧!
我知道了
右上角分享
点击右上角分享
0
联系我们:info@booksci.cn Book学术提供免费学术资源搜索服务,方便国内外学者检索中英文文献。致力于提供最便捷和优质的服务体验。 Copyright © 2023 布克学术 All rights reserved.
京ICP备2023020795号-1
ghs 京公网安备 11010802042870号
Book学术文献互助
Book学术文献互助群
群 号:604180095
Book学术官方微信