Double Trouble in the Basement! A Case of PLA2R-Associated Membranous Nephropathy with Atypical Anti-Glomerular Basement Membrane Disease.

Glomerular diseases Pub Date : 2024-11-27 eCollection Date: 2025-01-01 DOI:10.1159/000542859
Renuka Tolani, Steffi Sathiyaraj, David Lyu, Luan Truong, Theresa Thurston, Ziad M El-Zaatari, Ali R Khan, Angelina Edwards, Shane A Bobart
{"title":"Double Trouble in the Basement! A Case of PLA2R-Associated Membranous Nephropathy with Atypical Anti-Glomerular Basement Membrane Disease.","authors":"Renuka Tolani, Steffi Sathiyaraj, David Lyu, Luan Truong, Theresa Thurston, Ziad M El-Zaatari, Ali R Khan, Angelina Edwards, Shane A Bobart","doi":"10.1159/000542859","DOIUrl":null,"url":null,"abstract":"<p><strong>Introduction: </strong>Concurrent atypical anti-glomerular basement membrane (anti-GBM) disease with membranous nephropathy is a rare occurrence. Compared to typical anti-GBM disease, atypical anti-GBM disease is often seronegative, with a mild disease presentation and course. We present a case of concomitant of PLA2R-associated membranous nephropathy and atypical anti-GBM disease in a patient with cholangiocarcinoma.</p><p><strong>Case presentation: </strong>A 66-year-old male with type 2 diabetes, hypertension, hyperlipidemia, hepatitis C, cirrhosis, and cholangiocarcinoma presented with nephrotic range proteinuria and worsening bilateral lower extremity edema. Urine studies showed 3+ protein and 13 red blood cells per high power field and 24-h urine protein of 14 g (nephrotic range). Serum albumin was 2.1 g/dL and serum creatinine was 0.8 mg/dL (nephrotic syndrome). Serological work-up was negative for antinuclear antibody, anti-double stranded DNA antibody, anti-PLA2R, anti-neutrophil cytoplasmic antibody, rheumatoid factor, and anti-GBM. Complement (C3 and C4) levels were normal and no monoclonal gammopathy was detected. A kidney biopsy showed membranous nephropathy with typical light microscopic, immunofluorescence, and electron microscopic findings. In addition, there was atypical anti-GBM disease characterized by a non-circumferential cellular crescent in 1 out of 12 glomeruli 2-3+ linear staining for IgG along GBM. There was no tubular basement membrane staining for IgG and albumin staining was negative. The glomeruli demonstrated strong staining for PLA2R but were negative for THSD7A and NELL-1. The patient received rituximab infusion, dapagliflozin, and lisinopril, resulting in remission of proteinuria. Despite intense chemotherapy with cisplatin, gemcitabine, and immunotherapy, the patient's cholangiocarcinoma progressed, and he transitioned to hospice care.</p><p><strong>Conclusion: </strong>For our patient, rituximab resulted in remission of proteinuria. The lack of temporal association with the malignancy is consistent with the biopsy findings of PLA2R-associated membranous nephropathy. While there is not an established guideline for atypical anti-GBM disease, our case demonstrates the utility of rituximab for the management of concurrent atypical anti-GBM disease with membranous nephropathy.</p>","PeriodicalId":73177,"journal":{"name":"Glomerular diseases","volume":"5 1","pages":"13-18"},"PeriodicalIF":0.0000,"publicationDate":"2024-11-27","publicationTypes":"Journal Article","fieldsOfStudy":null,"isOpenAccess":false,"openAccessPdf":"https://www.ncbi.nlm.nih.gov/pmc/articles/PMC11842034/pdf/","citationCount":"0","resultStr":null,"platform":"Semanticscholar","paperid":null,"PeriodicalName":"Glomerular diseases","FirstCategoryId":"1085","ListUrlMain":"https://doi.org/10.1159/000542859","RegionNum":0,"RegionCategory":null,"ArticlePicture":[],"TitleCN":null,"AbstractTextCN":null,"PMCID":null,"EPubDate":"2025/1/1 0:00:00","PubModel":"eCollection","JCR":"","JCRName":"","Score":null,"Total":0}
引用次数: 0

Abstract

Introduction: Concurrent atypical anti-glomerular basement membrane (anti-GBM) disease with membranous nephropathy is a rare occurrence. Compared to typical anti-GBM disease, atypical anti-GBM disease is often seronegative, with a mild disease presentation and course. We present a case of concomitant of PLA2R-associated membranous nephropathy and atypical anti-GBM disease in a patient with cholangiocarcinoma.

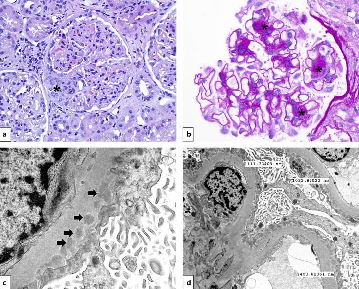
Case presentation: A 66-year-old male with type 2 diabetes, hypertension, hyperlipidemia, hepatitis C, cirrhosis, and cholangiocarcinoma presented with nephrotic range proteinuria and worsening bilateral lower extremity edema. Urine studies showed 3+ protein and 13 red blood cells per high power field and 24-h urine protein of 14 g (nephrotic range). Serum albumin was 2.1 g/dL and serum creatinine was 0.8 mg/dL (nephrotic syndrome). Serological work-up was negative for antinuclear antibody, anti-double stranded DNA antibody, anti-PLA2R, anti-neutrophil cytoplasmic antibody, rheumatoid factor, and anti-GBM. Complement (C3 and C4) levels were normal and no monoclonal gammopathy was detected. A kidney biopsy showed membranous nephropathy with typical light microscopic, immunofluorescence, and electron microscopic findings. In addition, there was atypical anti-GBM disease characterized by a non-circumferential cellular crescent in 1 out of 12 glomeruli 2-3+ linear staining for IgG along GBM. There was no tubular basement membrane staining for IgG and albumin staining was negative. The glomeruli demonstrated strong staining for PLA2R but were negative for THSD7A and NELL-1. The patient received rituximab infusion, dapagliflozin, and lisinopril, resulting in remission of proteinuria. Despite intense chemotherapy with cisplatin, gemcitabine, and immunotherapy, the patient's cholangiocarcinoma progressed, and he transitioned to hospice care.

Conclusion: For our patient, rituximab resulted in remission of proteinuria. The lack of temporal association with the malignancy is consistent with the biopsy findings of PLA2R-associated membranous nephropathy. While there is not an established guideline for atypical anti-GBM disease, our case demonstrates the utility of rituximab for the management of concurrent atypical anti-GBM disease with membranous nephropathy.

Abstract Image

Abstract Image

Abstract Image

地下室的双重麻烦!pla2r相关性膜性肾病合并非典型抗肾小球基底膜病1例。
摘要非典型抗肾小球基底膜病并发膜性肾病是一种罕见的疾病。与典型的抗gbm疾病相比,非典型的抗gbm疾病通常是血清阴性,具有轻微的疾病表现和病程。我们提出一例合并pla2r相关膜性肾病和非典型抗gbm疾病的胆管癌患者。病例介绍:66岁男性,伴有2型糖尿病、高血压、高脂血症、丙型肝炎、肝硬化和胆管癌,表现为肾病范围蛋白尿和双侧下肢水肿加重。尿液研究显示每高倍视场3+蛋白和13个红细胞,24小时尿蛋白为14 g(肾病范围)。血清白蛋白2.1 g/dL,血清肌酐0.8 mg/dL(肾病综合征)。血清学检查抗核抗体、抗双链DNA抗体、抗pla2r、抗中性粒细胞细胞质抗体、类风湿因子、抗gbm均为阴性。补体(C3和C4)水平正常,未检出单克隆γ病变。肾活检显示膜性肾病,具有典型的光镜、免疫荧光和电镜检查结果。此外,有非典型抗GBM疾病,其特征是12个肾小球中有1个呈非周向细胞新月形2-3+沿GBM的IgG线性染色。管状基底膜未见IgG染色,白蛋白染色阴性。肾小球PLA2R染色强烈,但THSD7A和NELL-1染色阴性。患者输注利妥昔单抗、达格列净和赖诺普利,导致蛋白尿缓解。尽管使用顺铂、吉西他滨和免疫疗法进行了强烈的化疗,但患者的胆管癌仍在进展,他转入了临终关怀。结论:对于我们的患者,利妥昔单抗导致蛋白尿缓解。与恶性肿瘤缺乏时间相关性与pla2r相关性膜性肾病的活检结果一致。虽然目前还没有针对非典型抗gbm疾病的既定指南,但我们的病例证明了利妥昔单抗在治疗同时伴有膜性肾病的非典型抗gbm疾病中的实用性。
本文章由计算机程序翻译,如有差异,请以英文原文为准。
求助全文
约1分钟内获得全文 求助全文
来源期刊
自引率
0.00%
发文量
0
×
引用
GB/T 7714-2015
复制
MLA
复制
APA
复制
导出至
BibTeX EndNote RefMan NoteFirst NoteExpress
×
提示
您的信息不完整,为了账户安全,请先补充。
现在去补充
×
提示
您因"违规操作"
具体请查看互助需知
我知道了
×
提示
确定
请完成安全验证×
copy
已复制链接
快去分享给好友吧!
我知道了
右上角分享
点击右上角分享
0
联系我们:info@booksci.cn Book学术提供免费学术资源搜索服务,方便国内外学者检索中英文文献。致力于提供最便捷和优质的服务体验。 Copyright © 2023 布克学术 All rights reserved.
京ICP备2023020795号-1
ghs 京公网安备 11010802042870号
Book学术文献互助
Book学术文献互助群
群 号:604180095
Book学术官方微信