Resistant hypertension post-transsphenoidal surgery for pituitary Cushing's disease, leading to a diagnosis of primary aldosteronism.

IF 0.7 Q4 ENDOCRINOLOGY & METABOLISM
Jack Lee, Maria Tomkins, Darran McDonald, Julie Martin-Grace, Claire Carthy, John Finnegan, Douglas Mulholland, Neal Dugal, Arnold D K Hill, Michael W O'Reilly, Mark Sherlock
{"title":"Resistant hypertension post-transsphenoidal surgery for pituitary Cushing's disease, leading to a diagnosis of primary aldosteronism.","authors":"Jack Lee, Maria Tomkins, Darran McDonald, Julie Martin-Grace, Claire Carthy, John Finnegan, Douglas Mulholland, Neal Dugal, Arnold D K Hill, Michael W O'Reilly, Mark Sherlock","doi":"10.1530/EDM-24-0137","DOIUrl":null,"url":null,"abstract":"<p><strong>Summary: </strong>We describe a case of a 42-year-old gentleman, 5 years post-transsphenoidal surgery (TSS) for pituitary-dependent Cushing's disease, initially presenting with malignant hypertension. Despite an initial improvement in his blood pressure post-TSS, he was found to be persistently hypertensive on follow-up despite no clinical or biochemical evidence of recurrence of hypercortisolism. His blood pressure remained elevated despite five antihypertensive agents. His renin concentration was <5 mIU/L (9-103.5) and aldosterone concentration was 877 pmol/L (0-670). A subsequent CT of the adrenals showed a 1.2 cm left adrenal nodule. He was not suitable for adrenal vein sampling (AVS) at this time due to difficult-to-control hypertension. Biochemistry was difficult to interpret in the context of a multitude of interfering medications, which were necessary given his difficult-to-control hypertension and hypokalaemia. Once suitable, his initial AVS was unsuccessful due to failure to cannulate the right adrenal vein. He was given the further options of repeat AVS vs 11C-metomidate PET vs medical management of his blood pressure. He proceeded with a repeat AVS, with successful cannulation of both adrenal veins. This showed evidence of hyperaldosteronism on the left side, with a lateralisation index of 39.5 and a contralateral suppression index of 0.28. He proceeded with a robotic left adrenalectomy, leading to significant improvement in his blood pressure, dropping from a mean reading of 142/85 during daytime and 150/88 mmHg at nighttime on five antihypertensive agents to normotensive levels of 114/77 mmHg on two agents.</p><p><strong>Learning points: </strong>It is important to consider a broad differential for uncontrolled hypertension. It must be considered that patients can present with multiple, isolated endocrinopathies. There are diagnostic challenges with primary aldosteronism, with medication regimens regularly effecting suitability of testing and interpretation of results. AVS can be a challenging procedure, leading to diagnostic challenges in the lateralisation of primary aldosteronism; however, it or another form of lateralisation is essential to guide management options.</p>","PeriodicalId":37467,"journal":{"name":"Endocrinology, Diabetes and Metabolism Case Reports","volume":"2025 1","pages":""},"PeriodicalIF":0.7000,"publicationDate":"2025-02-21","publicationTypes":"Journal Article","fieldsOfStudy":null,"isOpenAccess":false,"openAccessPdf":"https://www.ncbi.nlm.nih.gov/pmc/articles/PMC11883862/pdf/","citationCount":"0","resultStr":null,"platform":"Semanticscholar","paperid":null,"PeriodicalName":"Endocrinology, Diabetes and Metabolism Case Reports","FirstCategoryId":"1085","ListUrlMain":"https://doi.org/10.1530/EDM-24-0137","RegionNum":0,"RegionCategory":null,"ArticlePicture":[],"TitleCN":null,"AbstractTextCN":null,"PMCID":null,"EPubDate":"2025/1/1 0:00:00","PubModel":"Print","JCR":"Q4","JCRName":"ENDOCRINOLOGY & METABOLISM","Score":null,"Total":0}
引用次数: 0

Abstract

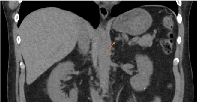
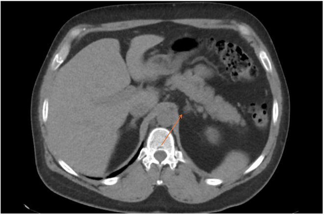
Summary: We describe a case of a 42-year-old gentleman, 5 years post-transsphenoidal surgery (TSS) for pituitary-dependent Cushing's disease, initially presenting with malignant hypertension. Despite an initial improvement in his blood pressure post-TSS, he was found to be persistently hypertensive on follow-up despite no clinical or biochemical evidence of recurrence of hypercortisolism. His blood pressure remained elevated despite five antihypertensive agents. His renin concentration was <5 mIU/L (9-103.5) and aldosterone concentration was 877 pmol/L (0-670). A subsequent CT of the adrenals showed a 1.2 cm left adrenal nodule. He was not suitable for adrenal vein sampling (AVS) at this time due to difficult-to-control hypertension. Biochemistry was difficult to interpret in the context of a multitude of interfering medications, which were necessary given his difficult-to-control hypertension and hypokalaemia. Once suitable, his initial AVS was unsuccessful due to failure to cannulate the right adrenal vein. He was given the further options of repeat AVS vs 11C-metomidate PET vs medical management of his blood pressure. He proceeded with a repeat AVS, with successful cannulation of both adrenal veins. This showed evidence of hyperaldosteronism on the left side, with a lateralisation index of 39.5 and a contralateral suppression index of 0.28. He proceeded with a robotic left adrenalectomy, leading to significant improvement in his blood pressure, dropping from a mean reading of 142/85 during daytime and 150/88 mmHg at nighttime on five antihypertensive agents to normotensive levels of 114/77 mmHg on two agents.

Learning points: It is important to consider a broad differential for uncontrolled hypertension. It must be considered that patients can present with multiple, isolated endocrinopathies. There are diagnostic challenges with primary aldosteronism, with medication regimens regularly effecting suitability of testing and interpretation of results. AVS can be a challenging procedure, leading to diagnostic challenges in the lateralisation of primary aldosteronism; however, it or another form of lateralisation is essential to guide management options.

Abstract Image

Abstract Image

Abstract Image

垂体库欣病经蝶窦手术后顽固性高血压,导致原发性醛固酮增多症的诊断。
摘要:我们描述了一例42岁的男性,经蝶窦手术(TSS)后5年的垂体依赖性库欣病,最初表现为恶性高血压。尽管tss后血压有初步改善,但随访时发现患者持续高血压,尽管没有临床或生化证据表明高皮质醇血症复发。尽管服用了五种降压药,他的血压仍然偏高。他的肾素浓度为:学习要点:重要的是要考虑高血压不受控制的广泛区别。必须考虑到患者可能出现多种孤立的内分泌病变。原发性醛固酮增多症存在诊断挑战,药物治疗方案经常影响检测的适用性和结果的解释。AVS可能是一个具有挑战性的手术,导致原发性醛固酮增多症偏侧的诊断挑战;然而,它或另一种形式的横向化对于指导管理选择至关重要。
本文章由计算机程序翻译,如有差异,请以英文原文为准。
求助全文
约1分钟内获得全文 求助全文
来源期刊
CiteScore
1.50
自引率
0.00%
发文量
142
审稿时长
9 weeks
期刊介绍: Endocrinology, Diabetes & Metabolism Case Reports publishes case reports on common and rare conditions in all areas of clinical endocrinology, diabetes and metabolism. Articles should include clear learning points which readers can use to inform medical education or clinical practice. The types of cases of interest to Endocrinology, Diabetes & Metabolism Case Reports include: -Insight into disease pathogenesis or mechanism of therapy - Novel diagnostic procedure - Novel treatment - Unique/unexpected symptoms or presentations of a disease - New disease or syndrome: presentations/diagnosis/management - Unusual effects of medical treatment - Error in diagnosis/pitfalls and caveats
×
引用
GB/T 7714-2015
复制
MLA
复制
APA
复制
导出至
BibTeX EndNote RefMan NoteFirst NoteExpress
×
提示
您的信息不完整,为了账户安全,请先补充。
现在去补充
×
提示
您因"违规操作"
具体请查看互助需知
我知道了
×
提示
确定
请完成安全验证×
copy
已复制链接
快去分享给好友吧!
我知道了
右上角分享
点击右上角分享
0
联系我们:info@booksci.cn Book学术提供免费学术资源搜索服务,方便国内外学者检索中英文文献。致力于提供最便捷和优质的服务体验。 Copyright © 2023 布克学术 All rights reserved.
京ICP备2023020795号-1
ghs 京公网安备 11010802042870号
Book学术文献互助
Book学术文献互助群
群 号:604180095
Book学术官方微信