Metabolically active brown adipose tissue in PPGL: an observational cohort study.

IF 4.6
Endocrine-related cancer Pub Date : 2025-03-07 Print Date: 2025-04-01 DOI:10.1530/ERC-24-0200
Eduard Oštarijaš, Michael C Onyema, Zoulikha Zair, David R Taylor, Fannie Lajeunesse-Trempe, Saira Reynolds, Nicola Mulholland, Ben Corcoran, Mohamed Halim, Eftychia E Drakou, Ashley B Grossman, Royce P Vincent, Simon J B Aylwin, Georgios K Dimitriadis, Silvija Canecki-Varžić
{"title":"Metabolically active brown adipose tissue in PPGL: an observational cohort study.","authors":"Eduard Oštarijaš, Michael C Onyema, Zoulikha Zair, David R Taylor, Fannie Lajeunesse-Trempe, Saira Reynolds, Nicola Mulholland, Ben Corcoran, Mohamed Halim, Eftychia E Drakou, Ashley B Grossman, Royce P Vincent, Simon J B Aylwin, Georgios K Dimitriadis, Silvija Canecki-Varžić","doi":"10.1530/ERC-24-0200","DOIUrl":null,"url":null,"abstract":"<p><p>Brown adipose tissue (BAT) activity, identifiable through fluorodeoxyglucose positron emission tomography (FDG-PET), has gained interest due to its potential link with metabolic disorders and tumour pathophysiology. This study aims to explore the activation of BAT in patients with phaeochromocytoma/paraganglioma (PPGL) and its clinical relevance. This retrospective observational study, conducted in a large academic centre in London, reviewed FDG-PET images of 62 confirmed PPGL patients, collected between 2013 and 2021. We assessed patient demographics, biochemistry, radiological features, mutational status and outcomes, focussing on activated BAT detection. Of the 62 patients, 13% demonstrated active brown adipose tissue (aBAT) on FDG-PET imaging. Histopathological confirmation of BAT from one patient was used to validate BAT activation observed during imaging. Multivariate analysis indicated that elevated plasma normetanephrine concentrations were directly proportional to aBAT presence, suggesting their strong association with BAT activation. Despite identifying aBAT, no significant differences were found in BMI, sex, age or mutational status between aBAT-positive and aBAT-negative groups. Kaplan-Meier survival plots assessing overall and progression-free survival did not reach statistical significance. This study underscores the complex interaction between catecholamine excess and BAT activation in patients with PPGLs. The findings suggest that aBAT activity might be an indicator of severe catecholamine excess (especially normetanephrine), potentially influencing patient outcomes. Our study adds to the limited pool of knowledge and offers novel insights into BAT activation in patients with PPGLs, highlighting its potential link with metabolic derangements and patient outcomes.</p>","PeriodicalId":93989,"journal":{"name":"Endocrine-related cancer","volume":" ","pages":""},"PeriodicalIF":4.6000,"publicationDate":"2025-03-07","publicationTypes":"Journal Article","fieldsOfStudy":null,"isOpenAccess":false,"openAccessPdf":"https://www.ncbi.nlm.nih.gov/pmc/articles/PMC11906127/pdf/","citationCount":"0","resultStr":null,"platform":"Semanticscholar","paperid":null,"PeriodicalName":"Endocrine-related cancer","FirstCategoryId":"1085","ListUrlMain":"https://doi.org/10.1530/ERC-24-0200","RegionNum":0,"RegionCategory":null,"ArticlePicture":[],"TitleCN":null,"AbstractTextCN":null,"PMCID":null,"EPubDate":"2025/4/1 0:00:00","PubModel":"Print","JCR":"","JCRName":"","Score":null,"Total":0}
引用次数: 0

Abstract

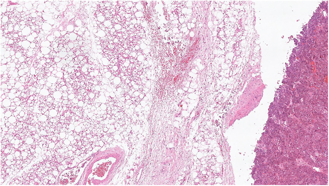
Brown adipose tissue (BAT) activity, identifiable through fluorodeoxyglucose positron emission tomography (FDG-PET), has gained interest due to its potential link with metabolic disorders and tumour pathophysiology. This study aims to explore the activation of BAT in patients with phaeochromocytoma/paraganglioma (PPGL) and its clinical relevance. This retrospective observational study, conducted in a large academic centre in London, reviewed FDG-PET images of 62 confirmed PPGL patients, collected between 2013 and 2021. We assessed patient demographics, biochemistry, radiological features, mutational status and outcomes, focussing on activated BAT detection. Of the 62 patients, 13% demonstrated active brown adipose tissue (aBAT) on FDG-PET imaging. Histopathological confirmation of BAT from one patient was used to validate BAT activation observed during imaging. Multivariate analysis indicated that elevated plasma normetanephrine concentrations were directly proportional to aBAT presence, suggesting their strong association with BAT activation. Despite identifying aBAT, no significant differences were found in BMI, sex, age or mutational status between aBAT-positive and aBAT-negative groups. Kaplan-Meier survival plots assessing overall and progression-free survival did not reach statistical significance. This study underscores the complex interaction between catecholamine excess and BAT activation in patients with PPGLs. The findings suggest that aBAT activity might be an indicator of severe catecholamine excess (especially normetanephrine), potentially influencing patient outcomes. Our study adds to the limited pool of knowledge and offers novel insights into BAT activation in patients with PPGLs, highlighting its potential link with metabolic derangements and patient outcomes.

Abstract Image

Abstract Image

Abstract Image

PPGL中代谢活跃的棕色脂肪组织:一项观察性队列研究。
通过氟脱氧葡萄糖正电子发射断层扫描(FDG-PET)识别棕色脂肪组织(BAT)活性,由于其与代谢紊乱和肿瘤病理生理的潜在联系而引起了人们的兴趣。本研究旨在探讨BAT在嗜铬细胞瘤/副神经节瘤(PPGL)患者中的活化及其临床意义。这项回顾性观察性研究在伦敦的一个大型学术中心进行,回顾了2013年至2021年间收集的62例确诊PPGL患者的FDG-PET图像。我们评估了患者的人口统计学、生物化学、放射学特征、突变状态和结果,重点关注激活BAT检测。在62例患者中,13%的FDG-PET成像显示棕色脂肪组织(aBAT)活跃。一名患者的组织病理学证实用于验证成像期间观察到的BAT激活。多因素分析表明,血浆去甲肾上腺素浓度升高与aBAT的存在成正比,表明它们与BAT激活密切相关。尽管确定了aBAT,但在aBAT阳性组和aBAT阴性组之间没有发现BMI、性别、年龄或突变状态的显著差异。Kaplan-Meier生存图评估总生存率和无进展生存率无统计学意义。这项研究强调了ppgl患者儿茶酚胺过量和BAT激活之间复杂的相互作用。研究结果表明,aBAT活性可能是严重儿茶酚胺过量(尤其是去甲肾上腺素)的一个指标,可能影响患者的预后。我们的研究增加了有限的知识库,并为PPGLs患者的BAT激活提供了新的见解,强调了其与代谢紊乱和患者预后的潜在联系。
本文章由计算机程序翻译,如有差异,请以英文原文为准。
求助全文
约1分钟内获得全文 求助全文
来源期刊
自引率
0.00%
发文量
0
×
引用
GB/T 7714-2015
复制
MLA
复制
APA
复制
导出至
BibTeX EndNote RefMan NoteFirst NoteExpress
×
提示
您的信息不完整,为了账户安全,请先补充。
现在去补充
×
提示
您因"违规操作"
具体请查看互助需知
我知道了
×
提示
确定
请完成安全验证×
copy
已复制链接
快去分享给好友吧!
我知道了
右上角分享
点击右上角分享
0
联系我们:info@booksci.cn Book学术提供免费学术资源搜索服务,方便国内外学者检索中英文文献。致力于提供最便捷和优质的服务体验。 Copyright © 2023 布克学术 All rights reserved.
京ICP备2023020795号-1
ghs 京公网安备 11010802042870号
Book学术文献互助
Book学术文献互助群
群 号:604180095
Book学术官方微信