Successful resolution of gastric pneumatosis due to a strangulated hiatus hernia and malrotation through non-surgical management: a case report.

IF 0.5 Q4 RADIOLOGY, NUCLEAR MEDICINE & MEDICAL IMAGING
BJR Case Reports Pub Date : 2025-02-05 eCollection Date: 2025-01-01 DOI:10.1093/bjrcr/uaaf007
Shiv Hadani, Dhaara Bhatt, Ashish Bhagat, Vivek Malhotra
{"title":"Successful resolution of gastric pneumatosis due to a strangulated hiatus hernia and malrotation through non-surgical management: a case report.","authors":"Shiv Hadani, Dhaara Bhatt, Ashish Bhagat, Vivek Malhotra","doi":"10.1093/bjrcr/uaaf007","DOIUrl":null,"url":null,"abstract":"<p><p>Gastric pneumatosis is a rare finding, and clinicians, when under pressure, find it challenging to immediately identify the cause and decide if the patient requires emergency surgery. We present a case where an initial CT scan demonstrated gastric pneumatosis involving only the greater curvature of the antrum caused by a strangulated hiatus hernia and malrotation of the distal stomach. The CT features suggested the patient required immediate surgery; however, a conservative approach was taken, and a follow-up CT scan 4 days after the onset demonstrated complete resolution and no long-term complications.</p>","PeriodicalId":45216,"journal":{"name":"BJR Case Reports","volume":"11 1","pages":"uaaf007"},"PeriodicalIF":0.5000,"publicationDate":"2025-02-05","publicationTypes":"Journal Article","fieldsOfStudy":null,"isOpenAccess":false,"openAccessPdf":"https://www.ncbi.nlm.nih.gov/pmc/articles/PMC11842044/pdf/","citationCount":"0","resultStr":null,"platform":"Semanticscholar","paperid":null,"PeriodicalName":"BJR Case Reports","FirstCategoryId":"1085","ListUrlMain":"https://doi.org/10.1093/bjrcr/uaaf007","RegionNum":0,"RegionCategory":null,"ArticlePicture":[],"TitleCN":null,"AbstractTextCN":null,"PMCID":null,"EPubDate":"2025/1/1 0:00:00","PubModel":"eCollection","JCR":"Q4","JCRName":"RADIOLOGY, NUCLEAR MEDICINE & MEDICAL IMAGING","Score":null,"Total":0}
引用次数: 0

Abstract

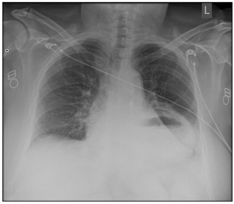
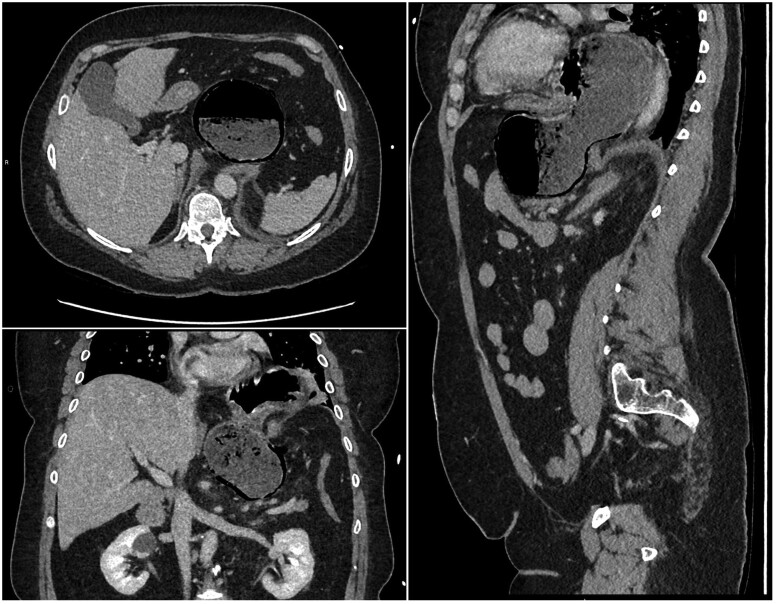
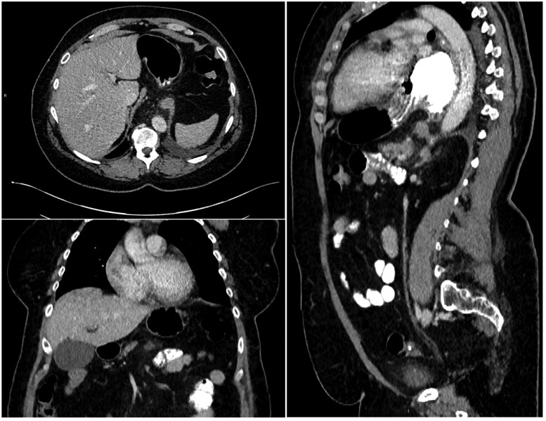
Gastric pneumatosis is a rare finding, and clinicians, when under pressure, find it challenging to immediately identify the cause and decide if the patient requires emergency surgery. We present a case where an initial CT scan demonstrated gastric pneumatosis involving only the greater curvature of the antrum caused by a strangulated hiatus hernia and malrotation of the distal stomach. The CT features suggested the patient required immediate surgery; however, a conservative approach was taken, and a follow-up CT scan 4 days after the onset demonstrated complete resolution and no long-term complications.

Abstract Image

Abstract Image

Abstract Image

通过非手术治疗成功解决绞窄性裂孔疝和旋转不良引起的胃肺病1例报告。
胃肺病是一种罕见的发现,临床医生在压力下发现立即确定原因并决定患者是否需要紧急手术是具有挑战性的。我们提出了一个病例,最初的CT扫描显示胃肺病仅涉及由绞窄性裂孔疝和远端胃旋转不良引起的胃窦较大弯曲。CT表现提示患者需要立即手术;然而,我们采取了保守的方法,发病4天后的随访CT扫描显示完全消退,没有长期并发症。
本文章由计算机程序翻译,如有差异,请以英文原文为准。
求助全文
约1分钟内获得全文 求助全文
来源期刊
BJR Case Reports
BJR Case Reports RADIOLOGY, NUCLEAR MEDICINE & MEDICAL IMAGING-
自引率
0.00%
发文量
77
审稿时长
11 weeks
×
引用
GB/T 7714-2015
复制
MLA
复制
APA
复制
导出至
BibTeX EndNote RefMan NoteFirst NoteExpress
×
提示
您的信息不完整,为了账户安全,请先补充。
现在去补充
×
提示
您因"违规操作"
具体请查看互助需知
我知道了
×
提示
确定
请完成安全验证×
copy
已复制链接
快去分享给好友吧!
我知道了
右上角分享
点击右上角分享
0
联系我们:info@booksci.cn Book学术提供免费学术资源搜索服务,方便国内外学者检索中英文文献。致力于提供最便捷和优质的服务体验。 Copyright © 2023 布克学术 All rights reserved.
京ICP备2023020795号-1
ghs 京公网安备 11010802042870号
Book学术文献互助
Book学术文献互助群
群 号:604180095
Book学术官方微信