Insights into the Clinical Prognosis of High-grade Appendiceal Mucinous Neoplasms.

IF 4.2 1区 医学 Q1 PATHOLOGY
American Journal of Surgical Pathology Pub Date : 2025-05-01 Epub Date: 2025-02-20 DOI:10.1097/PAS.0000000000002373
Peggy Dartigues, Vahan Kepenekian, Claire Illac-Vauquelin, Véronique Verriele, Juliette Fontaine, Sylvie Isaac, Anne Chevallier, Séverine Valmary-Degano, Marie-Hélène Laverriere, Gerlinde Avérous, Frédéric Bibeau, Laurent Villeneuve, Olivier Glehen, Nazim Benzerdjeb
{"title":"Insights into the Clinical Prognosis of High-grade Appendiceal Mucinous Neoplasms.","authors":"Peggy Dartigues, Vahan Kepenekian, Claire Illac-Vauquelin, Véronique Verriele, Juliette Fontaine, Sylvie Isaac, Anne Chevallier, Séverine Valmary-Degano, Marie-Hélène Laverriere, Gerlinde Avérous, Frédéric Bibeau, Laurent Villeneuve, Olivier Glehen, Nazim Benzerdjeb","doi":"10.1097/PAS.0000000000002373","DOIUrl":null,"url":null,"abstract":"<p><p>High-grade appendiceal mucinous neoplasm (HAMN) is used to describe a rare epithelial neoplasm of the appendix characterized by pushing-type invasion and high-grade cytologic atypia. Its implications regarding lymph node spread and the necessity of right colectomy are currently debate. The objective of the present study was to assess the clinicopathologic characteristics, the risk of lymph node and peritoneal metastasis, and long-term outcomes of patients diagnosed as HAMN in comparison to low-grade appendiceal mucinous neoplasm (LAMN) and appendiceal adenocarcinoma, treated by right hemicolectomy. A total of 443 patients diagnosed with LAMN (n=246), HAMN (n=34), or appendiceal adenocarcinoma (n=163) and who underwent right colectomy with lymph node dissection in all cases within 32 institutions of the French Network for Rare Peritoneal Malignancies (RENAPE) were included. The median age was 56.5 years (range: 21 to 91), and the majority were female (n=250, 56.4%) without difference between groups ( P =0.604). Lymph node metastases were identified in 17.8% of appendiceal adenocarcinoma cases (29/163); none were found among LAMN or HAMN cases. A higher number of lymph nodes were analyzed in those treated for appendiceal adenocarcinoma than LAMN ( P <0.001) and HAMN ( P =0.035). Regarding peritoneal metastasis, a higher proportion of cases were classified as high-grade with/without signet cells in patients treated for HAMN ( P <0.001) and appendiceal adenocarcinoma ( P <0.001) than those treated for LAMN. Among patients with perforation of the appendix, those treated for LAMN had longer overall survival (OS; P <0.001) and progression-free survival (PFS; P <0.0001) than those treated for appendiceal adenocarcinoma or those treated for HAMN; among patients without perforation, those treated for LAMN and HAMN had longer OS ( P =0.042) and PFS ( P =0.012) than those treated for appendiceal adenocarcinoma. No lymph node metastases were observed in patients treated for HAMN, and those without appendix perforation had a similar prognosis to LAMN. This study supports staging HAMN using the same system as LAMN and treating it with appendectomy alone in the absence of appendix perforation.</p>","PeriodicalId":7772,"journal":{"name":"American Journal of Surgical Pathology","volume":" ","pages":"499-507"},"PeriodicalIF":4.2000,"publicationDate":"2025-05-01","publicationTypes":"Journal Article","fieldsOfStudy":null,"isOpenAccess":false,"openAccessPdf":"https://www.ncbi.nlm.nih.gov/pmc/articles/PMC11984543/pdf/","citationCount":"0","resultStr":null,"platform":"Semanticscholar","paperid":null,"PeriodicalName":"American Journal of Surgical Pathology","FirstCategoryId":"3","ListUrlMain":"https://doi.org/10.1097/PAS.0000000000002373","RegionNum":1,"RegionCategory":"医学","ArticlePicture":[],"TitleCN":null,"AbstractTextCN":null,"PMCID":null,"EPubDate":"2025/2/20 0:00:00","PubModel":"Epub","JCR":"Q1","JCRName":"PATHOLOGY","Score":null,"Total":0}
引用次数: 0

Abstract

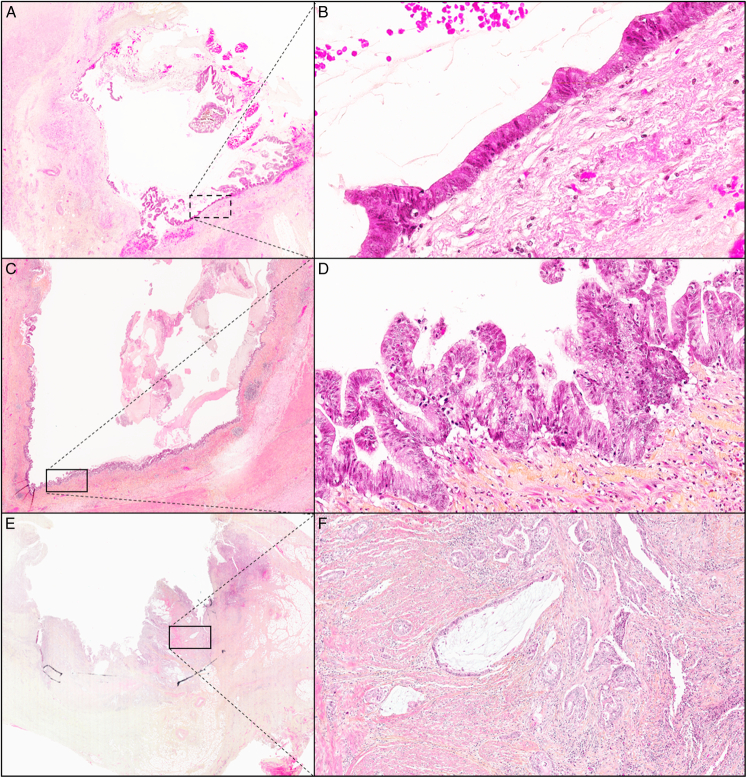
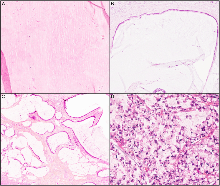
High-grade appendiceal mucinous neoplasm (HAMN) is used to describe a rare epithelial neoplasm of the appendix characterized by pushing-type invasion and high-grade cytologic atypia. Its implications regarding lymph node spread and the necessity of right colectomy are currently debate. The objective of the present study was to assess the clinicopathologic characteristics, the risk of lymph node and peritoneal metastasis, and long-term outcomes of patients diagnosed as HAMN in comparison to low-grade appendiceal mucinous neoplasm (LAMN) and appendiceal adenocarcinoma, treated by right hemicolectomy. A total of 443 patients diagnosed with LAMN (n=246), HAMN (n=34), or appendiceal adenocarcinoma (n=163) and who underwent right colectomy with lymph node dissection in all cases within 32 institutions of the French Network for Rare Peritoneal Malignancies (RENAPE) were included. The median age was 56.5 years (range: 21 to 91), and the majority were female (n=250, 56.4%) without difference between groups ( P =0.604). Lymph node metastases were identified in 17.8% of appendiceal adenocarcinoma cases (29/163); none were found among LAMN or HAMN cases. A higher number of lymph nodes were analyzed in those treated for appendiceal adenocarcinoma than LAMN ( P <0.001) and HAMN ( P =0.035). Regarding peritoneal metastasis, a higher proportion of cases were classified as high-grade with/without signet cells in patients treated for HAMN ( P <0.001) and appendiceal adenocarcinoma ( P <0.001) than those treated for LAMN. Among patients with perforation of the appendix, those treated for LAMN had longer overall survival (OS; P <0.001) and progression-free survival (PFS; P <0.0001) than those treated for appendiceal adenocarcinoma or those treated for HAMN; among patients without perforation, those treated for LAMN and HAMN had longer OS ( P =0.042) and PFS ( P =0.012) than those treated for appendiceal adenocarcinoma. No lymph node metastases were observed in patients treated for HAMN, and those without appendix perforation had a similar prognosis to LAMN. This study supports staging HAMN using the same system as LAMN and treating it with appendectomy alone in the absence of appendix perforation.

Abstract Image

Abstract Image

Abstract Image

高级别阑尾黏液性肿瘤的临床预后分析。
高级别阑尾黏液性肿瘤(HAMN)是一种罕见的阑尾上皮性肿瘤,其特征为推入型侵袭和高级别细胞学非典型性。其对淋巴结扩散的影响和右结肠切除术的必要性目前仍存在争议。本研究的目的是评估诊断为HAMN的患者的临床病理特征,淋巴结和腹膜转移的风险,以及与低级别阑尾粘液瘤(LAMN)和阑尾腺癌相比,经右半结肠切除术治疗的长期预后。在法国罕见腹膜恶性肿瘤网络(RENAPE)的32个机构中,共有443例被诊断为LAMN (n=246)、HAMN (n=34)或阑尾腺癌(n=163)的患者接受了右侧结肠切除术并进行了淋巴结清扫。年龄中位数为56.5岁(21 ~ 91岁),以女性居多(n=250, 56.4%),组间差异无统计学意义(P=0.604)。17.8%的阑尾腺癌患者有淋巴结转移(29/163);LAMN和HAMN病例均未发现。阑尾腺癌患者的淋巴结数目比LAMN患者高
本文章由计算机程序翻译,如有差异,请以英文原文为准。
求助全文
约1分钟内获得全文 求助全文
来源期刊
CiteScore
10.30
自引率
5.40%
发文量
295
审稿时长
1 months
期刊介绍: The American Journal of Surgical Pathology has achieved worldwide recognition for its outstanding coverage of the state of the art in human surgical pathology. In each monthly issue, experts present original articles, review articles, detailed case reports, and special features, enhanced by superb illustrations. Coverage encompasses technical methods, diagnostic aids, and frozen-section diagnosis, in addition to detailed pathologic studies of a wide range of disease entities. Official Journal of The Arthur Purdy Stout Society of Surgical Pathologists and The Gastrointestinal Pathology Society.
×
引用
GB/T 7714-2015
复制
MLA
复制
APA
复制
导出至
BibTeX EndNote RefMan NoteFirst NoteExpress
×
提示
您的信息不完整,为了账户安全,请先补充。
现在去补充
×
提示
您因"违规操作"
具体请查看互助需知
我知道了
×
提示
确定
请完成安全验证×
copy
已复制链接
快去分享给好友吧!
我知道了
右上角分享
点击右上角分享
0
联系我们:info@booksci.cn Book学术提供免费学术资源搜索服务,方便国内外学者检索中英文文献。致力于提供最便捷和优质的服务体验。 Copyright © 2023 布克学术 All rights reserved.
京ICP备2023020795号-1
ghs 京公网安备 11010802042870号
Book学术文献互助
Book学术文献互助群
群 号:604180095
Book学术官方微信