Occurrence of Acute Aortic Dissection Twice During the Same Pregnancy.

IF 1.2
Qiulin Ran, Bin You
{"title":"Occurrence of Acute Aortic Dissection Twice During the Same Pregnancy.","authors":"Qiulin Ran, Bin You","doi":"10.21470/1678-9741-2023-0401","DOIUrl":null,"url":null,"abstract":"<p><p>Pregnancy-related aortic dissection is an uncommon and serious condition since it poses a risk to the lives of both the mother and the fetus. Here, we describe a pregnant woman who suffered from aortic dissection twice during the same pregnancy and whose fetus was safely delivered following aortic root replacement and thoracic aortic stent-graft implantation.</p>","PeriodicalId":72457,"journal":{"name":"Brazilian journal of cardiovascular surgery","volume":"40 2","pages":"e20230401"},"PeriodicalIF":1.2000,"publicationDate":"2025-02-17","publicationTypes":"Journal Article","fieldsOfStudy":null,"isOpenAccess":false,"openAccessPdf":"https://www.ncbi.nlm.nih.gov/pmc/articles/PMC11831696/pdf/","citationCount":"0","resultStr":null,"platform":"Semanticscholar","paperid":null,"PeriodicalName":"Brazilian journal of cardiovascular surgery","FirstCategoryId":"1085","ListUrlMain":"https://doi.org/10.21470/1678-9741-2023-0401","RegionNum":0,"RegionCategory":null,"ArticlePicture":[],"TitleCN":null,"AbstractTextCN":null,"PMCID":null,"EPubDate":"","PubModel":"","JCR":"","JCRName":"","Score":null,"Total":0}
引用次数: 0

Abstract

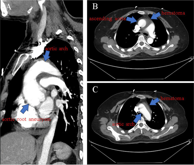
Pregnancy-related aortic dissection is an uncommon and serious condition since it poses a risk to the lives of both the mother and the fetus. Here, we describe a pregnant woman who suffered from aortic dissection twice during the same pregnancy and whose fetus was safely delivered following aortic root replacement and thoracic aortic stent-graft implantation.

Abstract Image

Abstract Image

Abstract Image

同一妊娠期间两次发生急性主动脉夹层。
妊娠相关主动脉夹层是一种罕见且严重的疾病,因为它会危及母亲和胎儿的生命。在这里,我们描述了一位在同一怀孕期间两次主动脉夹层的孕妇,她的胎儿在主动脉根置换术和胸主动脉支架植入后安全分娩。
本文章由计算机程序翻译,如有差异,请以英文原文为准。
求助全文
约1分钟内获得全文 求助全文
来源期刊
自引率
0.00%
发文量
0
×
引用
GB/T 7714-2015
复制
MLA
复制
APA
复制
导出至
BibTeX EndNote RefMan NoteFirst NoteExpress
×
提示
您的信息不完整,为了账户安全,请先补充。
现在去补充
×
提示
您因"违规操作"
具体请查看互助需知
我知道了
×
提示
确定
请完成安全验证×
copy
已复制链接
快去分享给好友吧!
我知道了
右上角分享
点击右上角分享
0
联系我们:info@booksci.cn Book学术提供免费学术资源搜索服务,方便国内外学者检索中英文文献。致力于提供最便捷和优质的服务体验。 Copyright © 2023 布克学术 All rights reserved.
京ICP备2023020795号-1
ghs 京公网安备 11010802042870号
Book学术文献互助
Book学术文献互助群
群 号:604180095
Book学术官方微信