Abdominal Bloating Following a Diagnosis of Aplastic Anemia: Correlation or Red Herring?

Alexis C Geppner
{"title":"Abdominal Bloating Following a Diagnosis of Aplastic Anemia: Correlation or Red Herring?","authors":"Alexis C Geppner","doi":"10.6004/jadpro.2025.16.1.4","DOIUrl":null,"url":null,"abstract":"<p><p>Aplastic anemia (AA) is a bone marrow failure disorder resulting in peripheral pancytopenia and marrow hypoplasia. An alternative diagnosis of hypoplastic myelodysplastic syndrome (MDS) can overlap this diagnosis but is differentiated by the presence of dysplastic progenitor cells. Since AA can be characterized as an autoimmune disease directed against hematopoietic stem cells, its presence can potentially increase susceptibility to alternate malignancies. Hypoplastic MDS, however, can present itself in an extramedullary fashion solely or as a relapse of acute myeloid leukemia resulting in symptoms similar to those described in this case study. Solid tumor malignancies may also result in abnormal blood counts, creating a wide differential diagnosis. This manuscript presents a case of untreated AA in a patient presenting later with severe abdominal bloating.</p>","PeriodicalId":94110,"journal":{"name":"Journal of the advanced practitioner in oncology","volume":"16 1","pages":"30-36"},"PeriodicalIF":0.0000,"publicationDate":"2025-01-01","publicationTypes":"Journal Article","fieldsOfStudy":null,"isOpenAccess":false,"openAccessPdf":"https://www.ncbi.nlm.nih.gov/pmc/articles/PMC11827272/pdf/","citationCount":"0","resultStr":null,"platform":"Semanticscholar","paperid":null,"PeriodicalName":"Journal of the advanced practitioner in oncology","FirstCategoryId":"1085","ListUrlMain":"https://doi.org/10.6004/jadpro.2025.16.1.4","RegionNum":0,"RegionCategory":null,"ArticlePicture":[],"TitleCN":null,"AbstractTextCN":null,"PMCID":null,"EPubDate":"","PubModel":"","JCR":"","JCRName":"","Score":null,"Total":0}
引用次数: 0

Abstract

Aplastic anemia (AA) is a bone marrow failure disorder resulting in peripheral pancytopenia and marrow hypoplasia. An alternative diagnosis of hypoplastic myelodysplastic syndrome (MDS) can overlap this diagnosis but is differentiated by the presence of dysplastic progenitor cells. Since AA can be characterized as an autoimmune disease directed against hematopoietic stem cells, its presence can potentially increase susceptibility to alternate malignancies. Hypoplastic MDS, however, can present itself in an extramedullary fashion solely or as a relapse of acute myeloid leukemia resulting in symptoms similar to those described in this case study. Solid tumor malignancies may also result in abnormal blood counts, creating a wide differential diagnosis. This manuscript presents a case of untreated AA in a patient presenting later with severe abdominal bloating.

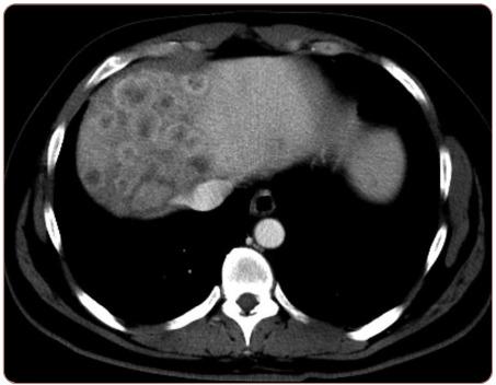
Abstract Image

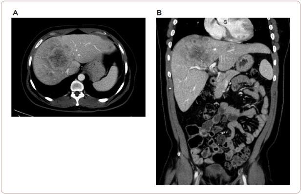
Abstract Image

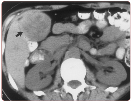
Abstract Image

再障诊断后腹胀:相关性还是红鲱鱼?
再生障碍性贫血(AA)是一种导致外周血全血细胞减少和骨髓发育不全的骨髓衰竭疾病。另一种诊断是发育不良骨髓增生异常综合征(MDS),可以重叠这种诊断,但通过存在发育不良的祖细胞来区分。由于AA是一种针对造血干细胞的自身免疫性疾病,它的存在可能会增加对其他恶性肿瘤的易感性。然而,发育不全MDS可以仅以髓外方式出现,也可以作为急性髓性白血病的复发,导致与本病例研究中描述的症状相似。恶性实体瘤也可能导致血液计数异常,从而产生广泛的鉴别诊断。这篇手稿提出了一例未经治疗的AA患者提出后来严重腹胀。
本文章由计算机程序翻译,如有差异,请以英文原文为准。
求助全文
约1分钟内获得全文 求助全文
来源期刊
自引率
0.00%
发文量
0
×
引用
GB/T 7714-2015
复制
MLA
复制
APA
复制
导出至
BibTeX EndNote RefMan NoteFirst NoteExpress
×
提示
您的信息不完整,为了账户安全,请先补充。
现在去补充
×
提示
您因"违规操作"
具体请查看互助需知
我知道了
×
提示
确定
请完成安全验证×
copy
已复制链接
快去分享给好友吧!
我知道了
右上角分享
点击右上角分享
0
联系我们:info@booksci.cn Book学术提供免费学术资源搜索服务,方便国内外学者检索中英文文献。致力于提供最便捷和优质的服务体验。 Copyright © 2023 布克学术 All rights reserved.
京ICP备2023020795号-1
ghs 京公网安备 11010802042870号
Book学术文献互助
Book学术文献互助群
群 号:604180095
Book学术官方微信