Unveiling the cause of sudden cardiac death: a macroscopic and microscopic analysis at the Institute of Forensic Medicine, Cluj-Napoca (Romania).

IF 1.5 4区 医学 Q4 DEVELOPMENTAL BIOLOGY
Daniela Cristina Pavel, Costel Vasile Siserman, Mihaela Laura Vică, Bogdan Alexandru Gheban, Ioana Andreea Gheban-Roşca, Alexandra Maria Şonfălean, Denisa Ştefania Jurje, Denisa Lucian, Silvia Ştefana Bâlici, Horea Vladi Matei
{"title":"Unveiling the cause of sudden cardiac death: a macroscopic and microscopic analysis at the Institute of Forensic Medicine, Cluj-Napoca (Romania).","authors":"Daniela Cristina Pavel, Costel Vasile Siserman, Mihaela Laura Vică, Bogdan Alexandru Gheban, Ioana Andreea Gheban-Roşca, Alexandra Maria Şonfălean, Denisa Ştefania Jurje, Denisa Lucian, Silvia Ştefana Bâlici, Horea Vladi Matei","doi":"10.47162/RJME.65.4.20","DOIUrl":null,"url":null,"abstract":"<p><p>Sudden cardiac death (SCD) remains a critical public health problem, prompting efforts to understand its underlying causes and identify patients at risk. Despite declining cardiovascular mortality in developed nations, SCD still claims millions of lives annually, disproportionately affecting men and older individuals with a higher prevalence of ischemic heart disease. This study aimed to investigate the potential association between macroscopic and microscopic diagnoses in SCD cases based on a cohort of 3438 medico-legal autopsy reports collected at the Institute of Forensic Medicine, Cluj-Napoca, Romania, between 2014-2018. By analyzing representative heart tissue samples collected during autopsies, particularly from areas exhibiting visible abnormalities, we aimed to establish a link between macroscopic observations and microscopic confirmation. A detailed histopathological analysis on archived tissue samples focused on both ventricles, on areas with potential macroscopic indicators like myocardial ischemia, coronary atherosclerosis, and interstitial fibrosis. Standard techniques were employed to prepare tissue sections for microscopic examination, allowing for the evaluation of various parameters such as the presence and extent of atherosclerosis, necrosis, fibrosis, lipomatosis, edema, and blood stasis. This study investigated the correlation between macroscopic observations of potential SCD risk factors, such as ischemia, atherosclerosis, and fibrosis, and their microscopic confirmation through detailed tissue analysis. Our analysis revealed that circulatory-metabolic lesions of the heart, lung and brain are central and strongly correlated both macroscopically and microscopically with a SCD event, while non-circulatory pathology needs to pass the threshold for macroscopic diagnostics before being able to significantly influence the chances for developing a SCD event. Establishing such associations could improve the accuracy of high-risk SCD factors identification, potentially leading to more effective preventive strategies.</p>","PeriodicalId":54447,"journal":{"name":"Romanian Journal of Morphology and Embryology","volume":"65 4","pages":"737-744"},"PeriodicalIF":1.5000,"publicationDate":"2024-10-01","publicationTypes":"Journal Article","fieldsOfStudy":null,"isOpenAccess":false,"openAccessPdf":"https://www.ncbi.nlm.nih.gov/pmc/articles/PMC11924895/pdf/","citationCount":"0","resultStr":null,"platform":"Semanticscholar","paperid":null,"PeriodicalName":"Romanian Journal of Morphology and Embryology","FirstCategoryId":"3","ListUrlMain":"https://doi.org/10.47162/RJME.65.4.20","RegionNum":4,"RegionCategory":"医学","ArticlePicture":[],"TitleCN":null,"AbstractTextCN":null,"PMCID":null,"EPubDate":"","PubModel":"","JCR":"Q4","JCRName":"DEVELOPMENTAL BIOLOGY","Score":null,"Total":0}
引用次数: 0

Abstract

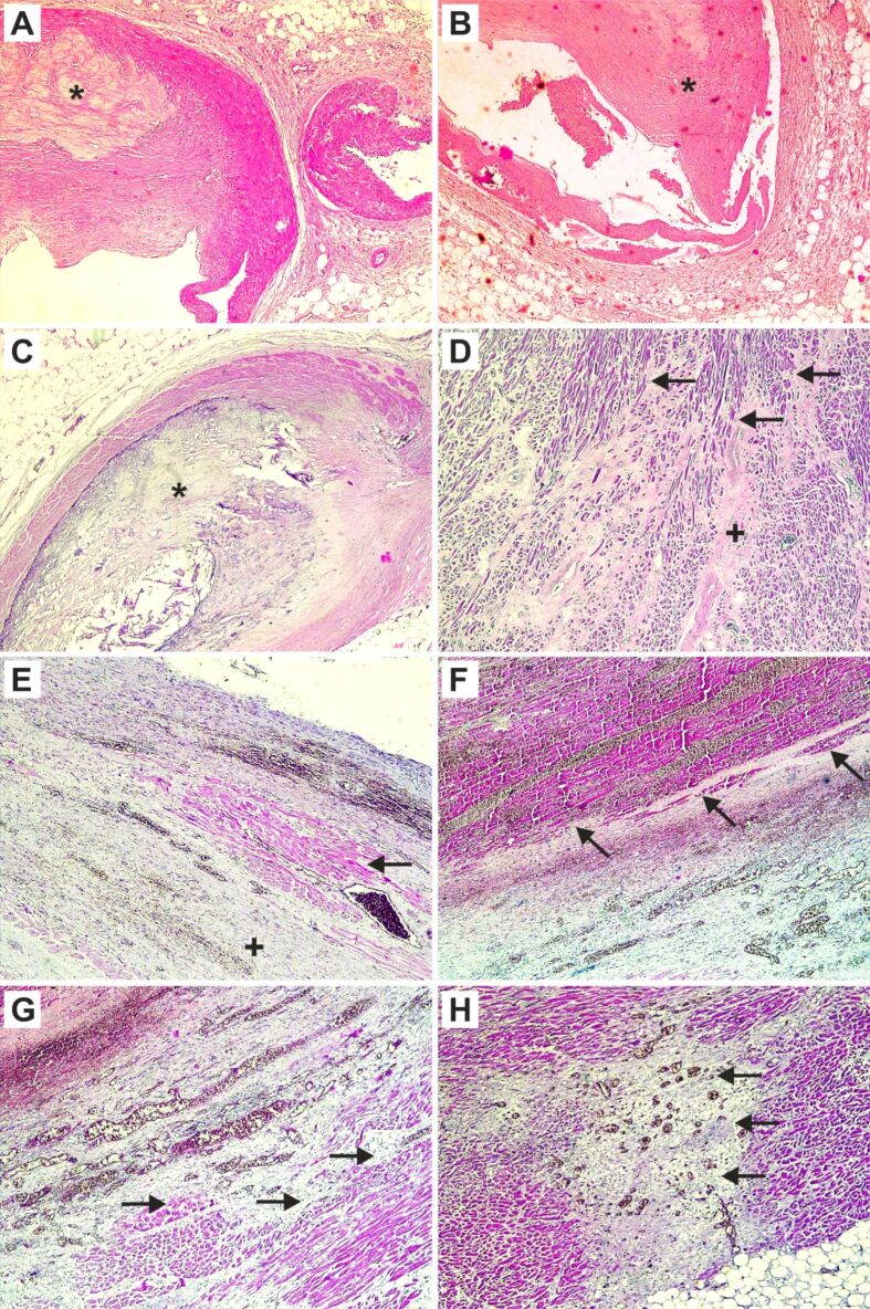
Sudden cardiac death (SCD) remains a critical public health problem, prompting efforts to understand its underlying causes and identify patients at risk. Despite declining cardiovascular mortality in developed nations, SCD still claims millions of lives annually, disproportionately affecting men and older individuals with a higher prevalence of ischemic heart disease. This study aimed to investigate the potential association between macroscopic and microscopic diagnoses in SCD cases based on a cohort of 3438 medico-legal autopsy reports collected at the Institute of Forensic Medicine, Cluj-Napoca, Romania, between 2014-2018. By analyzing representative heart tissue samples collected during autopsies, particularly from areas exhibiting visible abnormalities, we aimed to establish a link between macroscopic observations and microscopic confirmation. A detailed histopathological analysis on archived tissue samples focused on both ventricles, on areas with potential macroscopic indicators like myocardial ischemia, coronary atherosclerosis, and interstitial fibrosis. Standard techniques were employed to prepare tissue sections for microscopic examination, allowing for the evaluation of various parameters such as the presence and extent of atherosclerosis, necrosis, fibrosis, lipomatosis, edema, and blood stasis. This study investigated the correlation between macroscopic observations of potential SCD risk factors, such as ischemia, atherosclerosis, and fibrosis, and their microscopic confirmation through detailed tissue analysis. Our analysis revealed that circulatory-metabolic lesions of the heart, lung and brain are central and strongly correlated both macroscopically and microscopically with a SCD event, while non-circulatory pathology needs to pass the threshold for macroscopic diagnostics before being able to significantly influence the chances for developing a SCD event. Establishing such associations could improve the accuracy of high-risk SCD factors identification, potentially leading to more effective preventive strategies.

Abstract Image

Abstract Image

揭示心源性猝死的原因:克卢日-纳波卡法医研究所的宏观和微观分析(罗马尼亚)。
心源性猝死(SCD)仍然是一个严重的公共卫生问题,促使人们努力了解其潜在原因并确定有风险的患者。尽管发达国家的心血管疾病死亡率在下降,但SCD每年仍夺去数百万人的生命,对缺血性心脏病患病率较高的男性和老年人的影响尤为严重。本研究旨在基于2014-2018年罗马尼亚克卢日-纳波卡法医学研究所收集的3438份法医尸检报告,探讨SCD病例中宏观和微观诊断之间的潜在关联。通过分析解剖过程中收集的代表性心脏组织样本,特别是来自表现出明显异常的区域,我们旨在建立宏观观察和微观确认之间的联系。对存档的组织样本进行详细的组织病理学分析,集中在两个心室,以及具有潜在宏观指标的区域,如心肌缺血,冠状动脉粥样硬化和间质纤维化。采用标准技术制备组织切片进行显微镜检查,以评估各种参数,如动脉粥样硬化、坏死、纤维化、脂肪变性、水肿和血瘀的存在和程度。本研究探讨了SCD潜在危险因素(如缺血、动脉粥样硬化、纤维化)的宏观观察与通过详细的组织分析进行的显微证实之间的相关性。我们的分析显示,心脏、肺和脑的循环代谢病变是中心病变,在宏观和微观上都与SCD事件密切相关,而非循环病理学需要通过宏观诊断的阈值才能显著影响SCD事件的发生。建立这种关联可以提高识别高危SCD因素的准确性,从而可能导致更有效的预防策略。
本文章由计算机程序翻译,如有差异,请以英文原文为准。
求助全文
约1分钟内获得全文 求助全文
来源期刊
CiteScore
1.70
自引率
20.00%
发文量
221
审稿时长
3-8 weeks
期刊介绍: Romanian Journal of Morphology and Embryology (Rom J Morphol Embryol) publishes studies on all aspects of normal morphology and human comparative and experimental pathology. The Journal accepts only researches that utilize modern investigation methods (studies of anatomy, pathology, cytopathology, immunohistochemistry, histochemistry, immunology, morphometry, molecular and cellular biology, electronic microscopy, etc.).
×
引用
GB/T 7714-2015
复制
MLA
复制
APA
复制
导出至
BibTeX EndNote RefMan NoteFirst NoteExpress
×
提示
您的信息不完整,为了账户安全,请先补充。
现在去补充
×
提示
您因"违规操作"
具体请查看互助需知
我知道了
×
提示
确定
请完成安全验证×
copy
已复制链接
快去分享给好友吧!
我知道了
右上角分享
点击右上角分享
0
联系我们:info@booksci.cn Book学术提供免费学术资源搜索服务,方便国内外学者检索中英文文献。致力于提供最便捷和优质的服务体验。 Copyright © 2023 布克学术 All rights reserved.
京ICP备2023020795号-1
ghs 京公网安备 11010802042870号
Book学术文献互助
Book学术文献互助群
群 号:604180095
Book学术官方微信