Toxic epidermal necrolysis - clinicopathological aspects and therapeutic management.

IF 1.5 4区 医学 Q4 DEVELOPMENTAL BIOLOGY
Eliza Maria Bordeanu-Diaconescu, Sabina Grama, Andreea Grosu-Bularda, Adrian Frunză, Cătălina Ştefania Dumitru, Mihaela Cristina Andrei, Cosmin Antoniu Creangă, Tiberiu Paul Neagu, Ioan Lascăr
{"title":"Toxic epidermal necrolysis - clinicopathological aspects and therapeutic management.","authors":"Eliza Maria Bordeanu-Diaconescu, Sabina Grama, Andreea Grosu-Bularda, Adrian Frunză, Cătălina Ştefania Dumitru, Mihaela Cristina Andrei, Cosmin Antoniu Creangă, Tiberiu Paul Neagu, Ioan Lascăr","doi":"10.47162/RJME.65.4.23","DOIUrl":null,"url":null,"abstract":"<p><p>Toxic epidermal necrolysis (TEN) is a serious dermatological condition often triggered by different drugs or medications or, less commonly, by infections, leading to extensive epidermal detachment and multisystemic complications, resembling the severity and systemic impact of burn injuries. This case report portrays a 26-year-old female patient with a history of psychiatric treatment and recreational drug use, presenting with typical prodromal symptoms and characteristic manifestations on the integument and mucosae. Clinical management involved an interdisciplinary team in a burn center, administering immunoglobulins, systemic steroids, and supportive therapies to prevent complications including infection and to support skin re-epithelization. Histopathological findings confirmed the diagnosis. Despite the extensive lesions, prompt treatment facilitated a positive outcome. The report emphasizes the necessity of referral to specialized centers and the complex, multidisciplinary management required for TEN patients to optimize survival and minimize long-term sequelae.</p>","PeriodicalId":54447,"journal":{"name":"Romanian Journal of Morphology and Embryology","volume":"65 4","pages":"765-773"},"PeriodicalIF":1.5000,"publicationDate":"2024-10-01","publicationTypes":"Journal Article","fieldsOfStudy":null,"isOpenAccess":false,"openAccessPdf":"https://www.ncbi.nlm.nih.gov/pmc/articles/PMC11924910/pdf/","citationCount":"0","resultStr":null,"platform":"Semanticscholar","paperid":null,"PeriodicalName":"Romanian Journal of Morphology and Embryology","FirstCategoryId":"3","ListUrlMain":"https://doi.org/10.47162/RJME.65.4.23","RegionNum":4,"RegionCategory":"医学","ArticlePicture":[],"TitleCN":null,"AbstractTextCN":null,"PMCID":null,"EPubDate":"","PubModel":"","JCR":"Q4","JCRName":"DEVELOPMENTAL BIOLOGY","Score":null,"Total":0}
引用次数: 0

Abstract

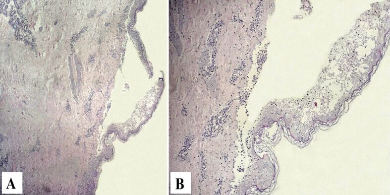
Toxic epidermal necrolysis (TEN) is a serious dermatological condition often triggered by different drugs or medications or, less commonly, by infections, leading to extensive epidermal detachment and multisystemic complications, resembling the severity and systemic impact of burn injuries. This case report portrays a 26-year-old female patient with a history of psychiatric treatment and recreational drug use, presenting with typical prodromal symptoms and characteristic manifestations on the integument and mucosae. Clinical management involved an interdisciplinary team in a burn center, administering immunoglobulins, systemic steroids, and supportive therapies to prevent complications including infection and to support skin re-epithelization. Histopathological findings confirmed the diagnosis. Despite the extensive lesions, prompt treatment facilitated a positive outcome. The report emphasizes the necessity of referral to specialized centers and the complex, multidisciplinary management required for TEN patients to optimize survival and minimize long-term sequelae.

Abstract Image

Abstract Image

Abstract Image

中毒性表皮坏死松解-临床病理方面和治疗管理。
中毒性表皮坏死松解(TEN)是一种严重的皮肤病,通常由不同的药物或药物引起,或者较少由感染引起,导致广泛的表皮脱离和多系统并发症,类似于烧伤的严重程度和全身影响。本病例报告描述了一位26岁的女性患者,有精神治疗和消遣性药物使用史,表现出典型的前体症状和包皮和粘膜的特征性表现。临床管理包括一个烧伤中心的跨学科团队,给予免疫球蛋白、全身类固醇和支持性治疗,以防止并发症,包括感染和支持皮肤再上皮化。组织病理学结果证实了诊断。尽管病变广泛,但及时治疗促进了积极的结果。该报告强调了转诊到专业中心的必要性,以及TEN患者需要的复杂的多学科管理,以优化生存率并最大限度地减少长期后遗症。
本文章由计算机程序翻译,如有差异,请以英文原文为准。
求助全文
约1分钟内获得全文 求助全文
来源期刊
CiteScore
1.70
自引率
20.00%
发文量
221
审稿时长
3-8 weeks
期刊介绍: Romanian Journal of Morphology and Embryology (Rom J Morphol Embryol) publishes studies on all aspects of normal morphology and human comparative and experimental pathology. The Journal accepts only researches that utilize modern investigation methods (studies of anatomy, pathology, cytopathology, immunohistochemistry, histochemistry, immunology, morphometry, molecular and cellular biology, electronic microscopy, etc.).
×
引用
GB/T 7714-2015
复制
MLA
复制
APA
复制
导出至
BibTeX EndNote RefMan NoteFirst NoteExpress
×
提示
您的信息不完整,为了账户安全,请先补充。
现在去补充
×
提示
您因"违规操作"
具体请查看互助需知
我知道了
×
提示
确定
请完成安全验证×
copy
已复制链接
快去分享给好友吧!
我知道了
右上角分享
点击右上角分享
0
联系我们:info@booksci.cn Book学术提供免费学术资源搜索服务,方便国内外学者检索中英文文献。致力于提供最便捷和优质的服务体验。 Copyright © 2023 布克学术 All rights reserved.
京ICP备2023020795号-1
ghs 京公网安备 11010802042870号
Book学术文献互助
Book学术文献互助群
群 号:604180095
Book学术官方微信