Stroke as the first manifestation of an atrial myxoma. Review of the literature.

IF 1.5 4区 医学 Q4 DEVELOPMENTAL BIOLOGY
Mihai Marius Botezat, Anca Maria Istrate-Ofiţeru, Larisa Iovan, Elena Cristina Andrei, Cristian Militaru, Emanuel Botezat, Marian Valentin Zorilă, Sebastian Militaru, Ilona Mihaela Liliac
{"title":"Stroke as the first manifestation of an atrial myxoma. Review of the literature.","authors":"Mihai Marius Botezat, Anca Maria Istrate-Ofiţeru, Larisa Iovan, Elena Cristina Andrei, Cristian Militaru, Emanuel Botezat, Marian Valentin Zorilă, Sebastian Militaru, Ilona Mihaela Liliac","doi":"10.47162/RJME.65.4.04","DOIUrl":null,"url":null,"abstract":"<p><p>Cardiac myxoma (CM) is the most common benign tumor of the heart and an important etiology of stroke in young adults. The study aimed to provide the latest literature data on CMs and, in particular, on the association between CM and cardioembolic ischemic stroke. It also discussed a specific instance of atrial myxoma (AM) in a young patient who suffered an ischemic stroke linked with familial cavernomatosis. The case presentation focuses on a 43-year-old woman showed up at the hospital's Emergency Room for transient speech disorders lasting about 15 minutes. The physical examination revealed preserved mental and cognitive status. Cranial magnetic resonance imaging (MRI) showed three areas of microvascular ischemia (frontal, parietal, and left occipital), in addition to multiple cavernomatous lesions. Because these microvascular ischemias were located in different vascular territories, we considered the cause to be embolic and completed the investigation with a transesophageal cardiac ultrasound that revealed a mobile and heterogeneous tumor mass in the left atrium. Histopathological investigation with immunohistochemistry proved the tumor to be a CM. The patient therapy included a multidisciplinary approach, which led to surgical excision of the tumor. The co-existence of cerebral cavernous malformations (CCMs) and AM might thus be coincidental or induced by a common genetic component. More cases are needed to verify or disprove the concept of a shared genetic basis for CCMs and myxoma.</p>","PeriodicalId":54447,"journal":{"name":"Romanian Journal of Morphology and Embryology","volume":"65 4","pages":"583-591"},"PeriodicalIF":1.5000,"publicationDate":"2024-10-01","publicationTypes":"Journal Article","fieldsOfStudy":null,"isOpenAccess":false,"openAccessPdf":"https://www.ncbi.nlm.nih.gov/pmc/articles/PMC11924891/pdf/","citationCount":"0","resultStr":null,"platform":"Semanticscholar","paperid":null,"PeriodicalName":"Romanian Journal of Morphology and Embryology","FirstCategoryId":"3","ListUrlMain":"https://doi.org/10.47162/RJME.65.4.04","RegionNum":4,"RegionCategory":"医学","ArticlePicture":[],"TitleCN":null,"AbstractTextCN":null,"PMCID":null,"EPubDate":"","PubModel":"","JCR":"Q4","JCRName":"DEVELOPMENTAL BIOLOGY","Score":null,"Total":0}
引用次数: 0

Abstract

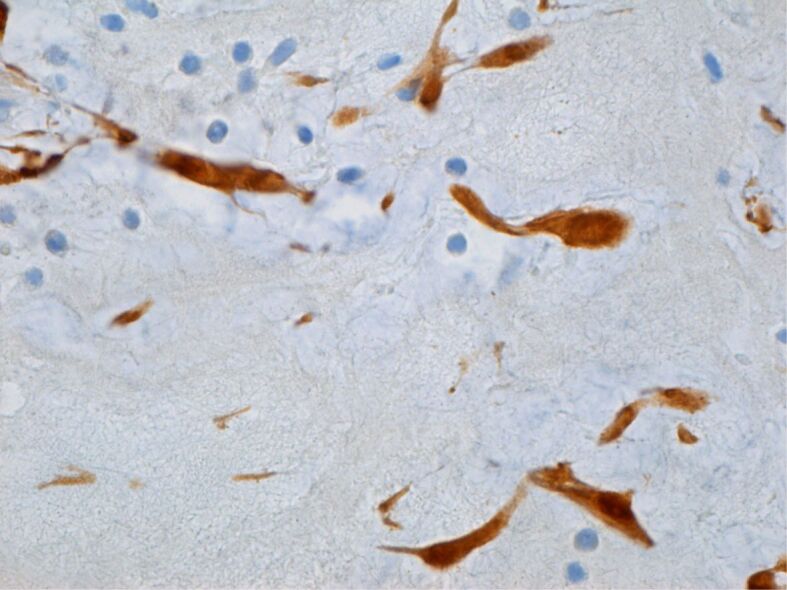
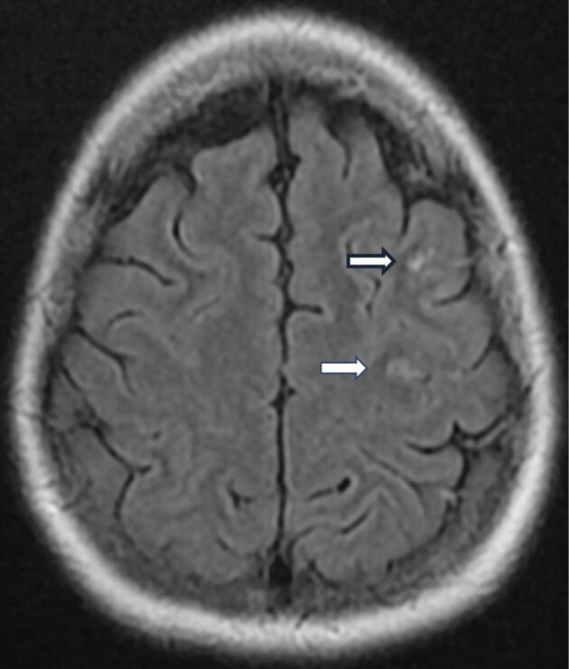
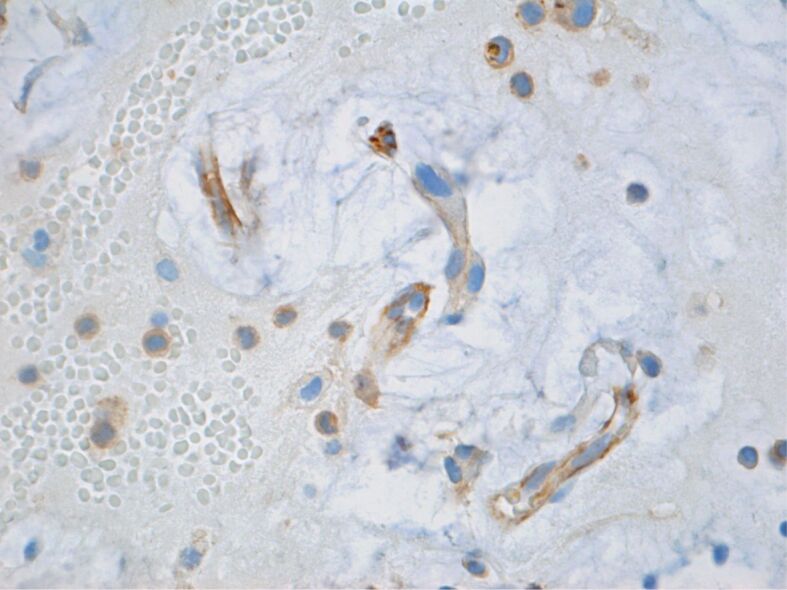
Cardiac myxoma (CM) is the most common benign tumor of the heart and an important etiology of stroke in young adults. The study aimed to provide the latest literature data on CMs and, in particular, on the association between CM and cardioembolic ischemic stroke. It also discussed a specific instance of atrial myxoma (AM) in a young patient who suffered an ischemic stroke linked with familial cavernomatosis. The case presentation focuses on a 43-year-old woman showed up at the hospital's Emergency Room for transient speech disorders lasting about 15 minutes. The physical examination revealed preserved mental and cognitive status. Cranial magnetic resonance imaging (MRI) showed three areas of microvascular ischemia (frontal, parietal, and left occipital), in addition to multiple cavernomatous lesions. Because these microvascular ischemias were located in different vascular territories, we considered the cause to be embolic and completed the investigation with a transesophageal cardiac ultrasound that revealed a mobile and heterogeneous tumor mass in the left atrium. Histopathological investigation with immunohistochemistry proved the tumor to be a CM. The patient therapy included a multidisciplinary approach, which led to surgical excision of the tumor. The co-existence of cerebral cavernous malformations (CCMs) and AM might thus be coincidental or induced by a common genetic component. More cases are needed to verify or disprove the concept of a shared genetic basis for CCMs and myxoma.

Abstract Image

Abstract Image

Abstract Image

中风为心房黏液瘤的首发表现。文献回顾。
心脏黏液瘤(CM)是最常见的心脏良性肿瘤,也是年轻人中风的重要病因。该研究旨在提供CMs的最新文献数据,特别是CM与心脏栓塞性缺血性卒中之间的关系。它也讨论了心房黏液瘤(AM)在一个年轻的病人谁遭受缺血性中风与家族性海绵状瘤病的具体实例。案例介绍的重点是一名43岁的女性在医院急诊室出现了持续约15分钟的短暂性语言障碍。体格检查显示精神和认知状态完好。颅磁共振成像(MRI)显示三个微血管缺血区域(额叶、顶叶和左枕叶),此外还有多个海绵状瘤病变。由于这些微血管缺血位于不同的血管区域,我们认为原因是栓塞性的,并通过经食管心脏超声完成了调查,发现左心房有一个移动的非均匀肿瘤块。组织病理检查及免疫组化证实肿瘤为CM。患者的治疗包括多学科的方法,导致手术切除肿瘤。脑海绵体畸形(CCMs)和AM的共存可能是巧合或由共同的遗传成分引起的。需要更多的病例来验证或反驳CCMs和黏液瘤具有共同遗传基础的概念。
本文章由计算机程序翻译,如有差异,请以英文原文为准。
求助全文
约1分钟内获得全文 求助全文
来源期刊
CiteScore
1.70
自引率
20.00%
发文量
221
审稿时长
3-8 weeks
期刊介绍: Romanian Journal of Morphology and Embryology (Rom J Morphol Embryol) publishes studies on all aspects of normal morphology and human comparative and experimental pathology. The Journal accepts only researches that utilize modern investigation methods (studies of anatomy, pathology, cytopathology, immunohistochemistry, histochemistry, immunology, morphometry, molecular and cellular biology, electronic microscopy, etc.).
×
引用
GB/T 7714-2015
复制
MLA
复制
APA
复制
导出至
BibTeX EndNote RefMan NoteFirst NoteExpress
×
提示
您的信息不完整,为了账户安全,请先补充。
现在去补充
×
提示
您因"违规操作"
具体请查看互助需知
我知道了
×
提示
确定
请完成安全验证×
copy
已复制链接
快去分享给好友吧!
我知道了
右上角分享
点击右上角分享
0
联系我们:info@booksci.cn Book学术提供免费学术资源搜索服务,方便国内外学者检索中英文文献。致力于提供最便捷和优质的服务体验。 Copyright © 2023 布克学术 All rights reserved.
京ICP备2023020795号-1
ghs 京公网安备 11010802042870号
Book学术文献互助
Book学术文献互助群
群 号:604180095
Book学术官方微信