Sinonasal inverted papilloma from diagnosis to treatment - a narrative review.

IF 1.5 4区 医学 Q4 DEVELOPMENTAL BIOLOGY
Mihail Tuşaliu, Carmen Aurelia Mogoantă, Camelia Iancu, Dan Iovănescu, Maria Niţescu, Cristian Bucur, Anca Cristina Perpelea, Ovidiu Lucian Cîmpeanu, Octavian Dragoş Palade
{"title":"Sinonasal inverted papilloma from diagnosis to treatment - a narrative review.","authors":"Mihail Tuşaliu, Carmen Aurelia Mogoantă, Camelia Iancu, Dan Iovănescu, Maria Niţescu, Cristian Bucur, Anca Cristina Perpelea, Ovidiu Lucian Cîmpeanu, Octavian Dragoş Palade","doi":"10.47162/RJME.65.4.06","DOIUrl":null,"url":null,"abstract":"<p><p>Inverted papilloma (IP) is a non-cancerous tumor that develops from the paranasal sinuses. Identifying and diagnosing an IP is vital for an ear, nose and throat specialist, due to its high recurrence rate and ability to transform into malignant carcinoma. Diagnosis is based on endonasal flexible endoscopy, preoperative biopsy, and imaging methods. Treatment is exclusively surgical, and its aim is the complete resection of the tumor to prevent further recurrences. The success of surgery depends on employing the most appropriate surgical technique. The choice should be tailored to the tumor's location, size, and the patient's specific anatomy. Endoscopic, open, or even combined approaches may be considered. Notably, attachment-oriented surgery is the cornerstone in endoscopic endonasal approaches. Regardless of the chosen approach, long-term surveillance is vital, as early detection provides the benefit of easier re-resection.</p>","PeriodicalId":54447,"journal":{"name":"Romanian Journal of Morphology and Embryology","volume":"65 4","pages":"599-607"},"PeriodicalIF":1.5000,"publicationDate":"2024-10-01","publicationTypes":"Journal Article","fieldsOfStudy":null,"isOpenAccess":false,"openAccessPdf":"https://www.ncbi.nlm.nih.gov/pmc/articles/PMC11926583/pdf/","citationCount":"0","resultStr":null,"platform":"Semanticscholar","paperid":null,"PeriodicalName":"Romanian Journal of Morphology and Embryology","FirstCategoryId":"3","ListUrlMain":"https://doi.org/10.47162/RJME.65.4.06","RegionNum":4,"RegionCategory":"医学","ArticlePicture":[],"TitleCN":null,"AbstractTextCN":null,"PMCID":null,"EPubDate":"","PubModel":"","JCR":"Q4","JCRName":"DEVELOPMENTAL BIOLOGY","Score":null,"Total":0}
引用次数: 0

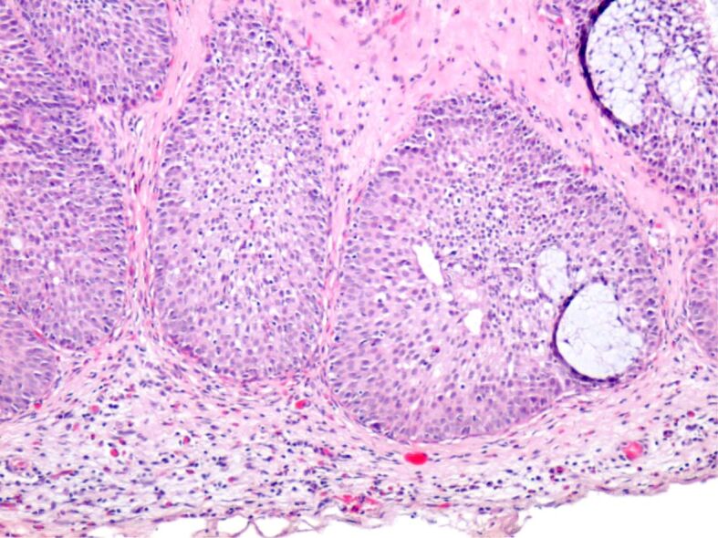
Abstract

Inverted papilloma (IP) is a non-cancerous tumor that develops from the paranasal sinuses. Identifying and diagnosing an IP is vital for an ear, nose and throat specialist, due to its high recurrence rate and ability to transform into malignant carcinoma. Diagnosis is based on endonasal flexible endoscopy, preoperative biopsy, and imaging methods. Treatment is exclusively surgical, and its aim is the complete resection of the tumor to prevent further recurrences. The success of surgery depends on employing the most appropriate surgical technique. The choice should be tailored to the tumor's location, size, and the patient's specific anatomy. Endoscopic, open, or even combined approaches may be considered. Notably, attachment-oriented surgery is the cornerstone in endoscopic endonasal approaches. Regardless of the chosen approach, long-term surveillance is vital, as early detection provides the benefit of easier re-resection.

Abstract Image

Abstract Image

Abstract Image

鼻窦内翻性乳头状瘤从诊断到治疗的叙述回顾。
内翻性乳头状瘤(IP)是一种非癌性肿瘤,起源于副鼻窦。由于其高复发率和转化为恶性癌的能力,对耳鼻喉专家来说,识别和诊断IP是至关重要的。诊断是基于鼻内柔性内窥镜,术前活检和影像学方法。治疗完全是手术,其目的是完全切除肿瘤,以防止进一步复发。手术的成功取决于采用最合适的手术技术。选择应根据肿瘤的位置、大小和患者的具体解剖结构进行调整。可以考虑内窥镜、开放或甚至联合入路。值得注意的是,以附着为导向的手术是内镜鼻内入路的基石。无论选择何种方法,长期监测都是至关重要的,因为早期发现可以更容易地进行再切除。
本文章由计算机程序翻译,如有差异,请以英文原文为准。
求助全文
约1分钟内获得全文 求助全文
来源期刊
CiteScore
1.70
自引率
20.00%
发文量
221
审稿时长
3-8 weeks
期刊介绍: Romanian Journal of Morphology and Embryology (Rom J Morphol Embryol) publishes studies on all aspects of normal morphology and human comparative and experimental pathology. The Journal accepts only researches that utilize modern investigation methods (studies of anatomy, pathology, cytopathology, immunohistochemistry, histochemistry, immunology, morphometry, molecular and cellular biology, electronic microscopy, etc.).
×
引用
GB/T 7714-2015
复制
MLA
复制
APA
复制
导出至
BibTeX EndNote RefMan NoteFirst NoteExpress
×
提示
您的信息不完整,为了账户安全,请先补充。
现在去补充
×
提示
您因"违规操作"
具体请查看互助需知
我知道了
×
提示
确定
请完成安全验证×
copy
已复制链接
快去分享给好友吧!
我知道了
右上角分享
点击右上角分享
0
联系我们:info@booksci.cn Book学术提供免费学术资源搜索服务,方便国内外学者检索中英文文献。致力于提供最便捷和优质的服务体验。 Copyright © 2023 布克学术 All rights reserved.
京ICP备2023020795号-1
ghs 京公网安备 11010802042870号
Book学术文献互助
Book学术文献互助群
群 号:604180095
Book学术官方微信