Case report: Novel ACTN4 variant of uncertain significance in a pediatric case of steroid-resistant nephrotic syndrome requesting kidney transplantation.

Frontiers in nephrology Pub Date : 2025-01-31 eCollection Date: 2024-01-01 DOI:10.3389/fneph.2024.1375538
Ignacio Alarcón, Carolina Peralta, Francisco Cammarata-Scalisi, Maykol Araya Castillo, Francisco Cano, Angélica Rojo, María Luisa Ceballos, Paola Krall
{"title":"Case report: Novel <i>ACTN4</i> variant of uncertain significance in a pediatric case of steroid-resistant nephrotic syndrome requesting kidney transplantation.","authors":"Ignacio Alarcón, Carolina Peralta, Francisco Cammarata-Scalisi, Maykol Araya Castillo, Francisco Cano, Angélica Rojo, María Luisa Ceballos, Paola Krall","doi":"10.3389/fneph.2024.1375538","DOIUrl":null,"url":null,"abstract":"<p><strong>Background: </strong>Steroid-resistant nephrotic syndrome (SRNS) is a rare kidney disease commonly characterized histopathologically by focal and segmental glomerulosclerosis (FSGS) or minimal change disease. One-third of SRNS-FSGS cases are attributed to a genetic cause ultimately leading to end-stage kidney disease (ESKD) during childhood or adulthood. <i>ACTN4</i> variants, although rare, typically manifest in early adulthood as SRNS-FSGS with autosomal dominant inheritance pattern and are associated with variable progression toward ESKD.</p><p><strong>Case–diagnosis/treatment: </strong>A 10-year-old Chilean male patient, born to a complicated pregnancy without any history of prenatal care, was incidentally found to have mild proteinuria during pre-surgery analysis. He was diagnosed with nephrotic syndrome and treatment with prednisone was started, but 12 months later, he persisted with hyperlipidemia, hypoalbuminemia, and proteinuria. Within a few weeks, proteinuria rapidly increased, and a kidney biopsy exhibited FSGS features. At the age of 12, he reached ESKD and initiated peritoneal dialysis, experiencing an episode of posterior reversible encephalopathy syndrome. Exome sequencing identified a novel variant of uncertain significance (VUS), <i>ACTN4</i> c.625_633del that predicted the in-frame deletion p.L209_E211del in a highly conserved functional domain. He requested to be considered for kidney transplantation and the VUS in <i>ACTN4</i> was re-analyzed to assess potential risks, resulting in a reclassification as likely pathogenic (PM1+PM2+PM4 criteria). At 14 years old, he received a deceased donor kidney allograft without recurrence during the subsequent 5 months.</p><p><strong>Conclusions: </strong>Identifying VUS is a recurring challenge in routine clinical genetics, particularly for patients with rare diseases or atypical phenotypes in underrepresented populations. This case underscores the benefit of timely genetic diagnosis taking into account the patient's request. VUS reassessment becomes more relevant when considering a kidney transplant not only as an appropriate procedure, but as the therapy of choice, especially considering the patient's history of complications with variable long-term consequences.</p>","PeriodicalId":73091,"journal":{"name":"Frontiers in nephrology","volume":"4 ","pages":"1375538"},"PeriodicalIF":0.0000,"publicationDate":"2025-01-31","publicationTypes":"Journal Article","fieldsOfStudy":null,"isOpenAccess":false,"openAccessPdf":"https://www.ncbi.nlm.nih.gov/pmc/articles/PMC11826236/pdf/","citationCount":"0","resultStr":null,"platform":"Semanticscholar","paperid":null,"PeriodicalName":"Frontiers in nephrology","FirstCategoryId":"1085","ListUrlMain":"https://doi.org/10.3389/fneph.2024.1375538","RegionNum":0,"RegionCategory":null,"ArticlePicture":[],"TitleCN":null,"AbstractTextCN":null,"PMCID":null,"EPubDate":"2024/1/1 0:00:00","PubModel":"eCollection","JCR":"","JCRName":"","Score":null,"Total":0}
引用次数: 0

Abstract

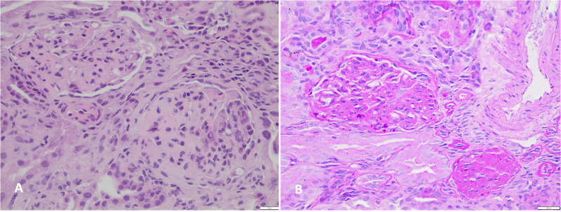
Background: Steroid-resistant nephrotic syndrome (SRNS) is a rare kidney disease commonly characterized histopathologically by focal and segmental glomerulosclerosis (FSGS) or minimal change disease. One-third of SRNS-FSGS cases are attributed to a genetic cause ultimately leading to end-stage kidney disease (ESKD) during childhood or adulthood. ACTN4 variants, although rare, typically manifest in early adulthood as SRNS-FSGS with autosomal dominant inheritance pattern and are associated with variable progression toward ESKD.

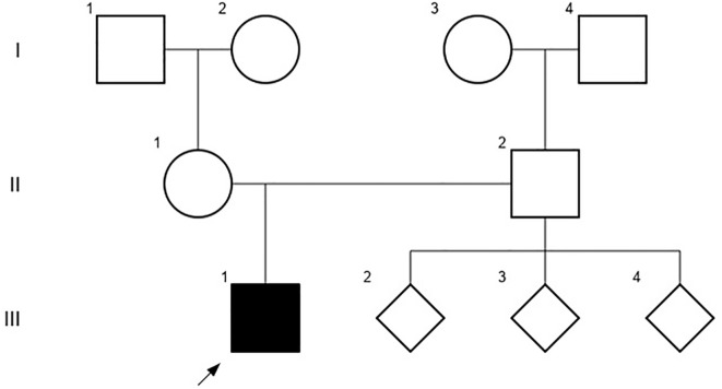
Case–diagnosis/treatment: A 10-year-old Chilean male patient, born to a complicated pregnancy without any history of prenatal care, was incidentally found to have mild proteinuria during pre-surgery analysis. He was diagnosed with nephrotic syndrome and treatment with prednisone was started, but 12 months later, he persisted with hyperlipidemia, hypoalbuminemia, and proteinuria. Within a few weeks, proteinuria rapidly increased, and a kidney biopsy exhibited FSGS features. At the age of 12, he reached ESKD and initiated peritoneal dialysis, experiencing an episode of posterior reversible encephalopathy syndrome. Exome sequencing identified a novel variant of uncertain significance (VUS), ACTN4 c.625_633del that predicted the in-frame deletion p.L209_E211del in a highly conserved functional domain. He requested to be considered for kidney transplantation and the VUS in ACTN4 was re-analyzed to assess potential risks, resulting in a reclassification as likely pathogenic (PM1+PM2+PM4 criteria). At 14 years old, he received a deceased donor kidney allograft without recurrence during the subsequent 5 months.

Conclusions: Identifying VUS is a recurring challenge in routine clinical genetics, particularly for patients with rare diseases or atypical phenotypes in underrepresented populations. This case underscores the benefit of timely genetic diagnosis taking into account the patient's request. VUS reassessment becomes more relevant when considering a kidney transplant not only as an appropriate procedure, but as the therapy of choice, especially considering the patient's history of complications with variable long-term consequences.

Abstract Image

Abstract Image

Abstract Image

病例报告:在一例要求肾移植的类固醇抵抗性肾病综合征患儿中,新的ACTN4变异意义不确定。
背景:类固醇抵抗性肾病综合征(SRNS)是一种罕见的肾脏疾病,在组织病理学上通常表现为局灶性和节段性肾小球硬化(FSGS)或微小变化疾病。三分之一的SRNS-FSGS病例归因于遗传原因,最终导致儿童期或成年期终末期肾脏疾病(ESKD)。ACTN4变异虽然罕见,但通常在成年早期表现为常染色体显性遗传模式的SRNS-FSGS,并与ESKD的可变进展相关。病例诊断/治疗:智利一名10岁男性患者,出生时妊娠复杂,无任何产前护理史,在术前分析时偶然发现轻度蛋白尿。他被诊断为肾病综合征,并开始使用强的松治疗,但12个月后,他持续患有高脂血症、低白蛋白血症和蛋白尿。几周内,蛋白尿迅速增加,肾活检显示FSGS特征。12岁时,他达到ESKD并开始腹膜透析,经历了一次后可逆性脑病综合征。外显子组测序发现了一个新的不确定意义变异(VUS), ACTN4 c.625_633del,它预测了一个高度保守的功能域的帧内缺失p.L209_E211del。他要求考虑肾移植,并重新分析ACTN4的VUS以评估潜在风险,从而将其重新分类为可能致病性(PM1+PM2+PM4标准)。14岁时,他接受了一个已故的供体肾移植,在随后的5个月里没有复发。结论:在常规临床遗传学中,确定VUS是一个反复出现的挑战,特别是对于在代表性不足的人群中患有罕见疾病或非典型表型的患者。这个病例强调了考虑到病人的要求及时进行基因诊断的好处。当考虑肾移植不仅是一种适当的手术,而且是一种治疗选择时,特别是考虑到患者的并发症史和不同的长期后果,VUS重新评估变得更加重要。
本文章由计算机程序翻译,如有差异,请以英文原文为准。
求助全文
约1分钟内获得全文 求助全文
来源期刊
自引率
0.00%
发文量
0
×
引用
GB/T 7714-2015
复制
MLA
复制
APA
复制
导出至
BibTeX EndNote RefMan NoteFirst NoteExpress
×
提示
您的信息不完整,为了账户安全,请先补充。
现在去补充
×
提示
您因"违规操作"
具体请查看互助需知
我知道了
×
提示
确定
请完成安全验证×
copy
已复制链接
快去分享给好友吧!
我知道了
右上角分享
点击右上角分享
0
联系我们:info@booksci.cn Book学术提供免费学术资源搜索服务,方便国内外学者检索中英文文献。致力于提供最便捷和优质的服务体验。 Copyright © 2023 布克学术 All rights reserved.
京ICP备2023020795号-1
ghs 京公网安备 11010802042870号
Book学术文献互助
Book学术文献互助群
群 号:604180095
Book学术官方微信