Gingival overgrowth in fixed orthodontic therapy.

IF 1.5 4区 医学 Q4 DEVELOPMENTAL BIOLOGY
Alina Cristina Rădeanu, Ilona Mihaela Liliac, Maria Cristina Munteanu, Mihai Surpăţeanu, Ciprian Laurenţiu Pătru, Elena Cristina Andrei
{"title":"Gingival overgrowth in fixed orthodontic therapy.","authors":"Alina Cristina Rădeanu, Ilona Mihaela Liliac, Maria Cristina Munteanu, Mihai Surpăţeanu, Ciprian Laurenţiu Pătru, Elena Cristina Andrei","doi":"10.47162/RJME.65.4.22","DOIUrl":null,"url":null,"abstract":"<p><p>The oral mucosa can suffer a series of traumatic injuries from various causes (bacterial plaque, tartar, fillings, incorrectly adapted prosthesis). A risk factor generating periodontal diseases is represented by fixed orthodontic therapy, if the forces exerted on it are excessive. These forces cause more or less extensive injuries both on the surface and in depth. One of these lesions is gingival hypergrowth. Early injuries concern only the superficial periodontium and are represented by mild or moderate inflammation, gingival hypergrowth, which can be reversible after removing the irritating factor (bacterial plaque, tartar). Advanced injuries are characterized by major clinical, radiological and tissue changes that cause the destruction of the deep periodontium (alveolar bone, deep ligament). Hypergrowth changes may occur at the epithelial level with reduced conjunctival reaction or may predominantly involve fibro-connective structures of the chorion with insignificant reaction in the epithelial component. Through this study, we highlight superficial and deep changes at the gingival and periodontal level.</p>","PeriodicalId":54447,"journal":{"name":"Romanian Journal of Morphology and Embryology","volume":"65 4","pages":"759-764"},"PeriodicalIF":1.5000,"publicationDate":"2024-10-01","publicationTypes":"Journal Article","fieldsOfStudy":null,"isOpenAccess":false,"openAccessPdf":"https://www.ncbi.nlm.nih.gov/pmc/articles/PMC11924888/pdf/","citationCount":"0","resultStr":null,"platform":"Semanticscholar","paperid":null,"PeriodicalName":"Romanian Journal of Morphology and Embryology","FirstCategoryId":"3","ListUrlMain":"https://doi.org/10.47162/RJME.65.4.22","RegionNum":4,"RegionCategory":"医学","ArticlePicture":[],"TitleCN":null,"AbstractTextCN":null,"PMCID":null,"EPubDate":"","PubModel":"","JCR":"Q4","JCRName":"DEVELOPMENTAL BIOLOGY","Score":null,"Total":0}
引用次数: 0

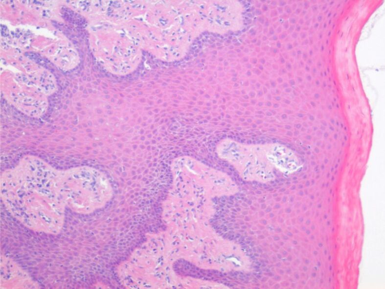
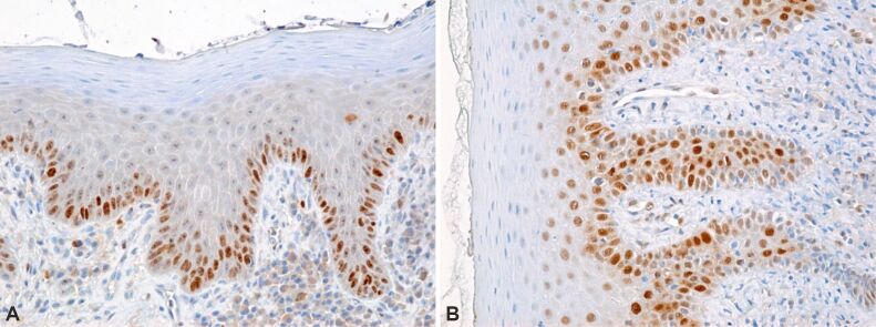
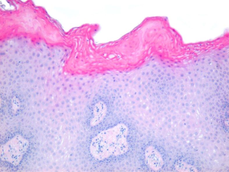
Abstract

The oral mucosa can suffer a series of traumatic injuries from various causes (bacterial plaque, tartar, fillings, incorrectly adapted prosthesis). A risk factor generating periodontal diseases is represented by fixed orthodontic therapy, if the forces exerted on it are excessive. These forces cause more or less extensive injuries both on the surface and in depth. One of these lesions is gingival hypergrowth. Early injuries concern only the superficial periodontium and are represented by mild or moderate inflammation, gingival hypergrowth, which can be reversible after removing the irritating factor (bacterial plaque, tartar). Advanced injuries are characterized by major clinical, radiological and tissue changes that cause the destruction of the deep periodontium (alveolar bone, deep ligament). Hypergrowth changes may occur at the epithelial level with reduced conjunctival reaction or may predominantly involve fibro-connective structures of the chorion with insignificant reaction in the epithelial component. Through this study, we highlight superficial and deep changes at the gingival and periodontal level.

Abstract Image

Abstract Image

Abstract Image

固定正畸治疗中的牙龈过度生长。
口腔黏膜会因各种原因遭受一系列创伤性损伤(细菌菌斑、牙垢、填充物、不正确的假体)。产生牙周病的一个危险因素是固定正畸治疗,如果施加的力量过大。这些力或多或少地在表面和深处造成广泛的伤害。其中一种病变是牙龈增生。早期损伤仅涉及表层牙周组织,表现为轻度或中度炎症,牙龈增生,在去除刺激因素(细菌菌斑,牙垢)后可逆转。晚期损伤的特点是主要的临床、放射学和组织改变,导致深层牙周组织(牙槽骨、深韧带)的破坏。过度生长变化可能发生在上皮水平,结膜反应减少,也可能主要涉及绒毛膜的纤维结缔组织,上皮成分的反应不明显。通过这项研究,我们强调了牙龈和牙周水平的浅表和深层变化。
本文章由计算机程序翻译,如有差异,请以英文原文为准。
求助全文
约1分钟内获得全文 求助全文
来源期刊
CiteScore
1.70
自引率
20.00%
发文量
221
审稿时长
3-8 weeks
期刊介绍: Romanian Journal of Morphology and Embryology (Rom J Morphol Embryol) publishes studies on all aspects of normal morphology and human comparative and experimental pathology. The Journal accepts only researches that utilize modern investigation methods (studies of anatomy, pathology, cytopathology, immunohistochemistry, histochemistry, immunology, morphometry, molecular and cellular biology, electronic microscopy, etc.).
×
引用
GB/T 7714-2015
复制
MLA
复制
APA
复制
导出至
BibTeX EndNote RefMan NoteFirst NoteExpress
×
提示
您的信息不完整,为了账户安全,请先补充。
现在去补充
×
提示
您因"违规操作"
具体请查看互助需知
我知道了
×
提示
确定
请完成安全验证×
copy
已复制链接
快去分享给好友吧!
我知道了
右上角分享
点击右上角分享
0
联系我们:info@booksci.cn Book学术提供免费学术资源搜索服务,方便国内外学者检索中英文文献。致力于提供最便捷和优质的服务体验。 Copyright © 2023 布克学术 All rights reserved.
京ICP备2023020795号-1
ghs 京公网安备 11010802042870号
Book学术文献互助
Book学术文献互助群
群 号:604180095
Book学术官方微信