Cranio-cervical hyperpneumatization: a case report.

IF 0.5 Q4 RADIOLOGY, NUCLEAR MEDICINE & MEDICAL IMAGING
BJR Case Reports Pub Date : 2025-01-23 eCollection Date: 2025-01-01 DOI:10.1093/bjrcr/uaaf003
Matthew Kueh, Ramnik Behar
{"title":"Cranio-cervical hyperpneumatization: a case report.","authors":"Matthew Kueh, Ramnik Behar","doi":"10.1093/bjrcr/uaaf003","DOIUrl":null,"url":null,"abstract":"<p><p>Hyperpneumatization is a rare pathological process where air-filled cavitation form within solid bone architecture occurring at sites where physiological pneumatization is not seen. Extension of this process into the atlanto-occipital region is considered extremely rare and is only quoted several times in the literature. In this case report, we present a 66-year-old man who presented with an 8-month history of a worsening frontal headache and blocked sensation in his left ear. Subsequent CT head evaluation revealed hyperpneumatization affecting C1 vertebra, temporal and occipital bones with extension into the clivus. A rare complication of epidural emphysema was seen. The aetiology of hyperpneumatization is uncertain, although it is thought to be either congenital or acquired. In our case, clinical suggestion of eustachian tube dysfunction and radiological findings of thickened sinus mucosa and a unilateral nasal polyp point to chronic recurrent coryzal illnesses, which may indicate an acquired mechanism. Management is mostly conservative with surgical management reserved for high risk or refractory cases.</p>","PeriodicalId":45216,"journal":{"name":"BJR Case Reports","volume":"11 1","pages":"uaaf003"},"PeriodicalIF":0.5000,"publicationDate":"2025-01-23","publicationTypes":"Journal Article","fieldsOfStudy":null,"isOpenAccess":false,"openAccessPdf":"https://www.ncbi.nlm.nih.gov/pmc/articles/PMC11829802/pdf/","citationCount":"0","resultStr":null,"platform":"Semanticscholar","paperid":null,"PeriodicalName":"BJR Case Reports","FirstCategoryId":"1085","ListUrlMain":"https://doi.org/10.1093/bjrcr/uaaf003","RegionNum":0,"RegionCategory":null,"ArticlePicture":[],"TitleCN":null,"AbstractTextCN":null,"PMCID":null,"EPubDate":"2025/1/1 0:00:00","PubModel":"eCollection","JCR":"Q4","JCRName":"RADIOLOGY, NUCLEAR MEDICINE & MEDICAL IMAGING","Score":null,"Total":0}
引用次数: 0

Abstract

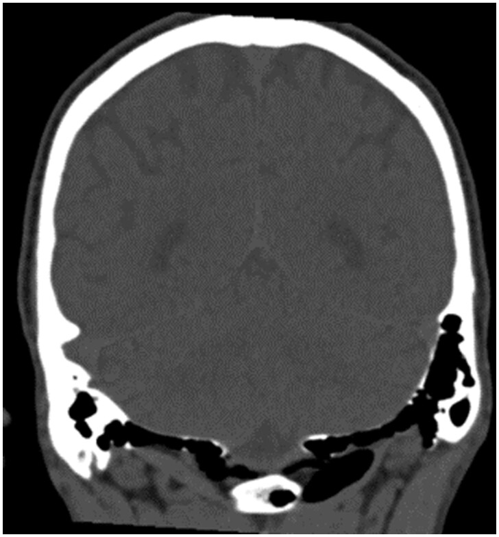
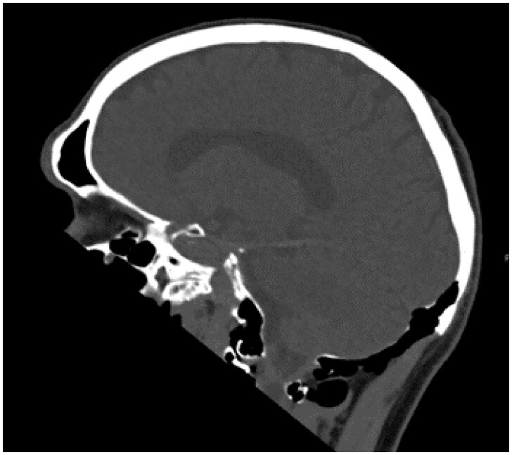
Hyperpneumatization is a rare pathological process where air-filled cavitation form within solid bone architecture occurring at sites where physiological pneumatization is not seen. Extension of this process into the atlanto-occipital region is considered extremely rare and is only quoted several times in the literature. In this case report, we present a 66-year-old man who presented with an 8-month history of a worsening frontal headache and blocked sensation in his left ear. Subsequent CT head evaluation revealed hyperpneumatization affecting C1 vertebra, temporal and occipital bones with extension into the clivus. A rare complication of epidural emphysema was seen. The aetiology of hyperpneumatization is uncertain, although it is thought to be either congenital or acquired. In our case, clinical suggestion of eustachian tube dysfunction and radiological findings of thickened sinus mucosa and a unilateral nasal polyp point to chronic recurrent coryzal illnesses, which may indicate an acquired mechanism. Management is mostly conservative with surgical management reserved for high risk or refractory cases.

Abstract Image

Abstract Image

Abstract Image

颅颈过度通气1例。
过度充气是一种罕见的病理过程,在未见生理性充气的部位,在实骨结构内形成充气空化。这个过程延伸到寰枕区被认为是极其罕见的,在文献中只被引用了几次。在这个病例报告中,我们报告了一位66岁的男性,他表现出8个月的前额头痛恶化和左耳阻塞感。随后的CT头部评估显示过度充气影响C1椎体,颞骨和枕骨并延伸到斜坡。我们发现一罕见的硬膜外肺气肿并发症。过度充气的病因不确定,虽然它被认为是先天性或后天的。本病例临床表现为咽鼓管功能障碍,影像学表现为鼻窦黏膜增厚及单侧鼻息肉,提示鼻窦疾病慢性复发,可能是后天机制所致。治疗大多是保守的,手术治疗保留在高风险或难治性病例。
本文章由计算机程序翻译,如有差异,请以英文原文为准。
求助全文
约1分钟内获得全文 求助全文
来源期刊
BJR Case Reports
BJR Case Reports RADIOLOGY, NUCLEAR MEDICINE & MEDICAL IMAGING-
自引率
0.00%
发文量
77
审稿时长
11 weeks
×
引用
GB/T 7714-2015
复制
MLA
复制
APA
复制
导出至
BibTeX EndNote RefMan NoteFirst NoteExpress
×
提示
您的信息不完整,为了账户安全,请先补充。
现在去补充
×
提示
您因"违规操作"
具体请查看互助需知
我知道了
×
提示
确定
请完成安全验证×
copy
已复制链接
快去分享给好友吧!
我知道了
右上角分享
点击右上角分享
0
联系我们:info@booksci.cn Book学术提供免费学术资源搜索服务,方便国内外学者检索中英文文献。致力于提供最便捷和优质的服务体验。 Copyright © 2023 布克学术 All rights reserved.
京ICP备2023020795号-1
ghs 京公网安备 11010802042870号
Book学术文献互助
Book学术文献互助群
群 号:604180095
Book学术官方微信