10 Years of experience in the evaluation and management of pediatric neck masses.

IF 1.5 4区 医学 Q4 DEVELOPMENTAL BIOLOGY
Dan Iovănescu, Ionuţ Tănase, Karina Cristina Marin, Daniela Roxana Vintilă, Mihaela Cristina Negru, Carmen Aurelia Mogoantă, Gheorghe Iovănescu, Alina Maria Georgescu, Ion Cristian Moţ
{"title":"10 Years of experience in the evaluation and management of pediatric neck masses.","authors":"Dan Iovănescu, Ionuţ Tănase, Karina Cristina Marin, Daniela Roxana Vintilă, Mihaela Cristina Negru, Carmen Aurelia Mogoantă, Gheorghe Iovănescu, Alina Maria Georgescu, Ion Cristian Moţ","doi":"10.47162/RJME.65.4.14","DOIUrl":null,"url":null,"abstract":"<p><p>The discovery of a cervical mass in children is a situation quite frequently encountered and often represents a diagnostic or therapeutic challenge for the practicing physician. Although approximately 12% to 15% of all neck masses (NMs) in children may be malignant, most commonly these masses are benign. This study included 137 patients aged between 14 months and 18 years old, with the majority (54.01%) of patients being less than five years old. A total of 83 (60.58%) patients were presented with a single NM, with 64 (59.12%) patients having mass located on the midline of the neck. Preoperatively, in addition to laboratory tests, imaging examinations played an important role in diagnostic orientation and determining the therapeutic plan. Among the imaging examinations, ultrasound was the most commonly used, performed in 87 (63.5%) of the patients. The definitive diagnosis was established based on the histopathological examination of the excised specimens. Midline NMs were most frequently thyroglossal duct cysts or dermoid cysts, while lateral NMs were often lymphadenitis or branchial cysts. The aim of this study was to present the experience of 10 years in evaluating cervical masses in the neck area that appeared in children, their possible causes, the methods of investigation (considering the contribution and limitations of each diagnostic method), and the therapeutic approach (since there is no clear standardization of treatment in the literature).</p>","PeriodicalId":54447,"journal":{"name":"Romanian Journal of Morphology and Embryology","volume":"65 4","pages":"671-677"},"PeriodicalIF":1.5000,"publicationDate":"2024-10-01","publicationTypes":"Journal Article","fieldsOfStudy":null,"isOpenAccess":false,"openAccessPdf":"https://www.ncbi.nlm.nih.gov/pmc/articles/PMC11924911/pdf/","citationCount":"0","resultStr":null,"platform":"Semanticscholar","paperid":null,"PeriodicalName":"Romanian Journal of Morphology and Embryology","FirstCategoryId":"3","ListUrlMain":"https://doi.org/10.47162/RJME.65.4.14","RegionNum":4,"RegionCategory":"医学","ArticlePicture":[],"TitleCN":null,"AbstractTextCN":null,"PMCID":null,"EPubDate":"","PubModel":"","JCR":"Q4","JCRName":"DEVELOPMENTAL BIOLOGY","Score":null,"Total":0}
引用次数: 0

Abstract

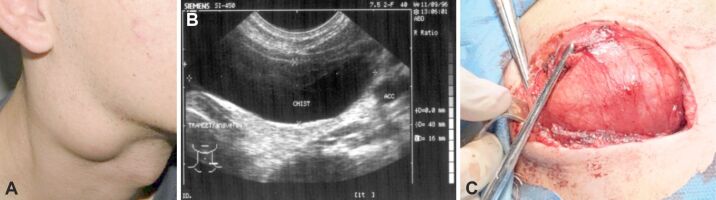
The discovery of a cervical mass in children is a situation quite frequently encountered and often represents a diagnostic or therapeutic challenge for the practicing physician. Although approximately 12% to 15% of all neck masses (NMs) in children may be malignant, most commonly these masses are benign. This study included 137 patients aged between 14 months and 18 years old, with the majority (54.01%) of patients being less than five years old. A total of 83 (60.58%) patients were presented with a single NM, with 64 (59.12%) patients having mass located on the midline of the neck. Preoperatively, in addition to laboratory tests, imaging examinations played an important role in diagnostic orientation and determining the therapeutic plan. Among the imaging examinations, ultrasound was the most commonly used, performed in 87 (63.5%) of the patients. The definitive diagnosis was established based on the histopathological examination of the excised specimens. Midline NMs were most frequently thyroglossal duct cysts or dermoid cysts, while lateral NMs were often lymphadenitis or branchial cysts. The aim of this study was to present the experience of 10 years in evaluating cervical masses in the neck area that appeared in children, their possible causes, the methods of investigation (considering the contribution and limitations of each diagnostic method), and the therapeutic approach (since there is no clear standardization of treatment in the literature).

Abstract Image

Abstract Image

Abstract Image

10年小儿颈部肿块的评估和处理经验。
儿童宫颈肿块的发现是一种非常常见的情况,通常对执业医师来说是一种诊断或治疗挑战。虽然约12%至15%的儿童颈部肿块(NMs)可能是恶性的,但大多数肿块是良性的。本研究纳入137例年龄在14个月至18岁之间的患者,其中大多数(54.01%)患者年龄小于5岁。共有83例(60.58%)患者出现单一NM, 64例(59.12%)患者肿块位于颈部中线。术前,除实验室检查外,影像学检查在诊断定位和确定治疗方案方面起着重要作用。影像学检查中以超声检查最常用,87例(63.5%)患者行超声检查。最终的诊断是根据切除标本的组织病理学检查建立的。中线淋巴结瘤多为甲状舌管囊肿或皮样囊肿,外侧淋巴结瘤多为淋巴结炎或鳃裂囊肿。本研究的目的是介绍10年来评估儿童颈部肿块的经验,其可能的原因,调查方法(考虑每种诊断方法的贡献和局限性)和治疗方法(由于文献中没有明确的标准化治疗)。
本文章由计算机程序翻译,如有差异,请以英文原文为准。
求助全文
约1分钟内获得全文 求助全文
来源期刊
CiteScore
1.70
自引率
20.00%
发文量
221
审稿时长
3-8 weeks
期刊介绍: Romanian Journal of Morphology and Embryology (Rom J Morphol Embryol) publishes studies on all aspects of normal morphology and human comparative and experimental pathology. The Journal accepts only researches that utilize modern investigation methods (studies of anatomy, pathology, cytopathology, immunohistochemistry, histochemistry, immunology, morphometry, molecular and cellular biology, electronic microscopy, etc.).
×
引用
GB/T 7714-2015
复制
MLA
复制
APA
复制
导出至
BibTeX EndNote RefMan NoteFirst NoteExpress
×
提示
您的信息不完整,为了账户安全,请先补充。
现在去补充
×
提示
您因"违规操作"
具体请查看互助需知
我知道了
×
提示
确定
请完成安全验证×
copy
已复制链接
快去分享给好友吧!
我知道了
右上角分享
点击右上角分享
0
联系我们:info@booksci.cn Book学术提供免费学术资源搜索服务,方便国内外学者检索中英文文献。致力于提供最便捷和优质的服务体验。 Copyright © 2023 布克学术 All rights reserved.
京ICP备2023020795号-1
ghs 京公网安备 11010802042870号
Book学术文献互助
Book学术文献互助群
群 号:604180095
Book学术官方微信