Treatment rationale in nutcracker syndrome with concurrent pelvic congestion syndrome.

IF 1.5 Q3 CARDIAC & CARDIOVASCULAR SYSTEMS
Dominik A Steffen, Arash Najafi, Georgios Festas, Christoph A Binkert
{"title":"Treatment rationale in nutcracker syndrome with concurrent pelvic congestion syndrome.","authors":"Dominik A Steffen, Arash Najafi, Georgios Festas, Christoph A Binkert","doi":"10.1186/s42155-025-00527-0","DOIUrl":null,"url":null,"abstract":"<p><p>The optimal management strategy of nutcracker syndrome is debated, especially in the setting of concurrent pelvic congestion syndrome. In this article, we describe our treatment algorithm as illustrated by four different case scenarios. In our experience, renocaval pressure gradients are often inconclusive, but evaluation of the left renal vein waveform as well as a \"test PTA\" with evidence of a waist in the balloon can be helpful in unmasking a relevant stenosis. We consider nutcracker syndrome not to be a contraindication for ovarian vein embolization. Decision for simultaneous or sequential stenting should be based on angiographic findings and clinical course.</p>","PeriodicalId":52351,"journal":{"name":"CVIR Endovascular","volume":"8 1","pages":"13"},"PeriodicalIF":1.5000,"publicationDate":"2025-02-14","publicationTypes":"Journal Article","fieldsOfStudy":null,"isOpenAccess":false,"openAccessPdf":"https://www.ncbi.nlm.nih.gov/pmc/articles/PMC11828768/pdf/","citationCount":"0","resultStr":null,"platform":"Semanticscholar","paperid":null,"PeriodicalName":"CVIR Endovascular","FirstCategoryId":"1085","ListUrlMain":"https://doi.org/10.1186/s42155-025-00527-0","RegionNum":0,"RegionCategory":null,"ArticlePicture":[],"TitleCN":null,"AbstractTextCN":null,"PMCID":null,"EPubDate":"","PubModel":"","JCR":"Q3","JCRName":"CARDIAC & CARDIOVASCULAR SYSTEMS","Score":null,"Total":0}
引用次数: 0

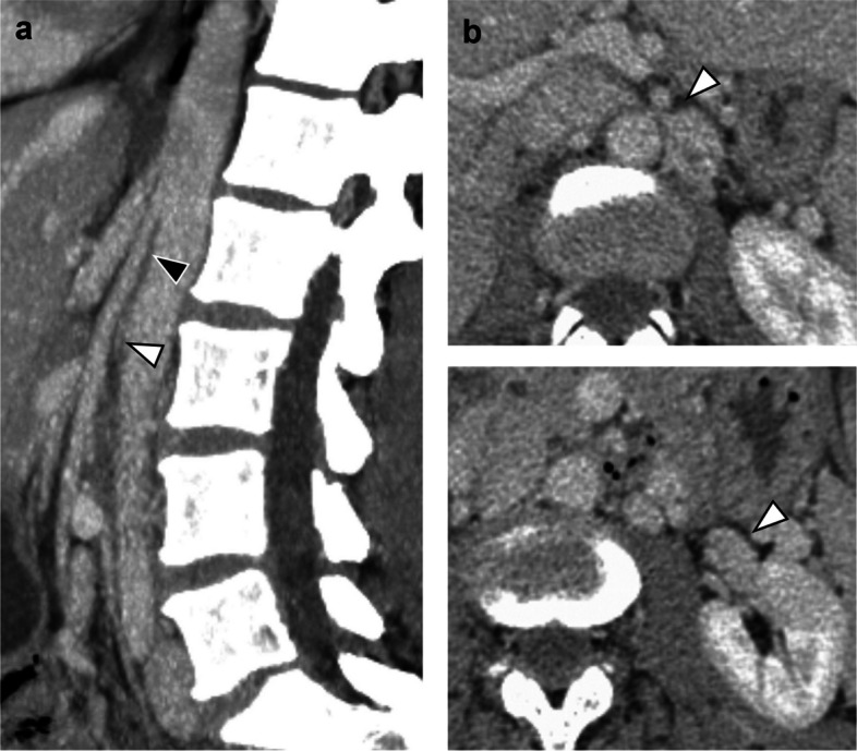
Abstract

The optimal management strategy of nutcracker syndrome is debated, especially in the setting of concurrent pelvic congestion syndrome. In this article, we describe our treatment algorithm as illustrated by four different case scenarios. In our experience, renocaval pressure gradients are often inconclusive, but evaluation of the left renal vein waveform as well as a "test PTA" with evidence of a waist in the balloon can be helpful in unmasking a relevant stenosis. We consider nutcracker syndrome not to be a contraindication for ovarian vein embolization. Decision for simultaneous or sequential stenting should be based on angiographic findings and clinical course.

Abstract Image

Abstract Image

Abstract Image

胡桃钳综合征并发盆腔充血综合征的治疗原理。
胡桃夹综合征的最佳治疗策略还存在争议,尤其是在并发盆腔充血综合征的情况下。在本文中,我们将通过四种不同的病例来说明我们的治疗算法。根据我们的经验,肾静脉压力梯度通常不能下定论,但评估左肾静脉波形以及 "测试 PTA"(球囊有腰部的证据)有助于发现相关狭窄。我们认为胡桃夹综合征不是卵巢静脉栓塞的禁忌症。应根据血管造影结果和临床病程决定是同时还是依次进行支架植入术。
本文章由计算机程序翻译,如有差异,请以英文原文为准。
求助全文
约1分钟内获得全文 求助全文
来源期刊
CVIR Endovascular
CVIR Endovascular Medicine-Radiology, Nuclear Medicine and Imaging
CiteScore
2.30
自引率
0.00%
发文量
59
×
引用
GB/T 7714-2015
复制
MLA
复制
APA
复制
导出至
BibTeX EndNote RefMan NoteFirst NoteExpress
×
提示
您的信息不完整,为了账户安全,请先补充。
现在去补充
×
提示
您因"违规操作"
具体请查看互助需知
我知道了
×
提示
确定
请完成安全验证×
copy
已复制链接
快去分享给好友吧!
我知道了
右上角分享
点击右上角分享
0
联系我们:info@booksci.cn Book学术提供免费学术资源搜索服务,方便国内外学者检索中英文文献。致力于提供最便捷和优质的服务体验。 Copyright © 2023 布克学术 All rights reserved.
京ICP备2023020795号-1
ghs 京公网安备 11010802042870号
Book学术文献互助
Book学术文献互助群
群 号:604180095
Book学术官方微信