Evaluating Immunotherapy Responses in Neuro-Oncology for Glioblastoma and Brain Metastases: A Brief Review Featuring Three Cases.

IF 2.6 4区 医学 Q3 ONCOLOGY
Neyran Kertmen, Gozde Kavgaci, Serkan Akin, Gokcen Coban, Ahmet Ilkay Isikay, Gozde Yazici
{"title":"Evaluating Immunotherapy Responses in Neuro-Oncology for Glioblastoma and Brain Metastases: A Brief Review Featuring Three Cases.","authors":"Neyran Kertmen, Gozde Kavgaci, Serkan Akin, Gokcen Coban, Ahmet Ilkay Isikay, Gozde Yazici","doi":"10.1177/10732748251322072","DOIUrl":null,"url":null,"abstract":"<p><strong>Introduction: </strong>Recent advancements in immunotherapy have offered new possibilities for treating aggressive glioblastoma (GBM) and brain metastases. However, evaluating treatment responses remains complex, prompting the development of the immunotherapy-specific Response Assessment in Neuro-Oncology (iRANO) criteria. Herein, we present case reports illustrating the intricacies of interpreting imaging changes post-immunotherapy, emphasizing the need for a comprehensive approach to assessing treatment effectiveness.</p><p><strong>Case reports: </strong>Case 1 discusses a 41-year-old male with GBM, highlighting the challenges of differentiating tumor progression from treatment-induced pseudoprogression. Case 2 discusses a 45-year-old female with brain metastatic malignant melanoma, presenting radiological evidence of progressive disease while undergoing nivolumab treatment. Case 3 discusses a 37-year-old male with GBM, where radiological evidence indicates progressive disease while receiving pembrolizumab treatment.</p><p><strong>Management and outcomes: </strong>In case 1, we discussed the challenges of distinguishing true tumor progression from treatment-induced pseudoprogression, leading to the continuation of the same treatment due to pseudoprogression. In case 2, post-surgery pathology revealed radionecrosis and treatment-related changes, guiding the continuation of nivolumab therapy. Case 3 involved a pathologically confirmed progression, and the patient received best supportive care due to his performance status.</p><p><strong>Discussion: </strong>Despite aggressive treatment regimens, the prognosis for GBM patients remains poor, underscoring the necessity for innovative therapeutic strategies. Immunotherapy holds promise in reshaping the treatment landscape for GBM and brain metastases, but further research and refinement of assessment criteria are crucial. Throughout our cases, we discuss the iRANO criteria, developed to overcome the limitations of the RANO criteria in capturing immunotherapy responses, particularly pseudoprogression.</p>","PeriodicalId":49093,"journal":{"name":"Cancer Control","volume":"32 ","pages":"10732748251322072"},"PeriodicalIF":2.6000,"publicationDate":"2025-01-01","publicationTypes":"Journal Article","fieldsOfStudy":null,"isOpenAccess":false,"openAccessPdf":"https://www.ncbi.nlm.nih.gov/pmc/articles/PMC11829293/pdf/","citationCount":"0","resultStr":null,"platform":"Semanticscholar","paperid":null,"PeriodicalName":"Cancer Control","FirstCategoryId":"3","ListUrlMain":"https://doi.org/10.1177/10732748251322072","RegionNum":4,"RegionCategory":"医学","ArticlePicture":[],"TitleCN":null,"AbstractTextCN":null,"PMCID":null,"EPubDate":"","PubModel":"","JCR":"Q3","JCRName":"ONCOLOGY","Score":null,"Total":0}
引用次数: 0

Abstract

Introduction: Recent advancements in immunotherapy have offered new possibilities for treating aggressive glioblastoma (GBM) and brain metastases. However, evaluating treatment responses remains complex, prompting the development of the immunotherapy-specific Response Assessment in Neuro-Oncology (iRANO) criteria. Herein, we present case reports illustrating the intricacies of interpreting imaging changes post-immunotherapy, emphasizing the need for a comprehensive approach to assessing treatment effectiveness.

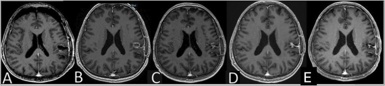
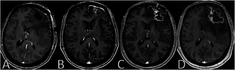
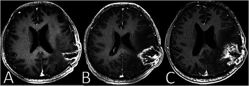
Case reports: Case 1 discusses a 41-year-old male with GBM, highlighting the challenges of differentiating tumor progression from treatment-induced pseudoprogression. Case 2 discusses a 45-year-old female with brain metastatic malignant melanoma, presenting radiological evidence of progressive disease while undergoing nivolumab treatment. Case 3 discusses a 37-year-old male with GBM, where radiological evidence indicates progressive disease while receiving pembrolizumab treatment.

Management and outcomes: In case 1, we discussed the challenges of distinguishing true tumor progression from treatment-induced pseudoprogression, leading to the continuation of the same treatment due to pseudoprogression. In case 2, post-surgery pathology revealed radionecrosis and treatment-related changes, guiding the continuation of nivolumab therapy. Case 3 involved a pathologically confirmed progression, and the patient received best supportive care due to his performance status.

Discussion: Despite aggressive treatment regimens, the prognosis for GBM patients remains poor, underscoring the necessity for innovative therapeutic strategies. Immunotherapy holds promise in reshaping the treatment landscape for GBM and brain metastases, but further research and refinement of assessment criteria are crucial. Throughout our cases, we discuss the iRANO criteria, developed to overcome the limitations of the RANO criteria in capturing immunotherapy responses, particularly pseudoprogression.

Abstract Image

Abstract Image

Abstract Image

神经肿瘤学对胶质母细胞瘤和脑转移瘤的免疫治疗反应评价:以三个病例为例的简要回顾。
前言免疫疗法的最新进展为治疗侵袭性胶质母细胞瘤(GBM)和脑转移瘤提供了新的可能性。然而,对治疗反应的评估仍然很复杂,这促使我们制定了免疫疗法特异性神经肿瘤反应评估(iRANO)标准。在此,我们介绍一些病例报告,说明解读免疫治疗后影像学变化的复杂性,强调采用综合方法评估治疗效果的必要性:病例 1 讨论了一名 41 岁的男性 GBM 患者,强调了区分肿瘤进展和治疗诱导的假性进展所面临的挑战。病例 2 讨论了一名患有脑转移性恶性黑色素瘤的 45 岁女性患者,她在接受 nivolumab 治疗期间出现了疾病进展的放射学证据。病例 3 讨论了一名患有 GBM 的 37 岁男性患者,放射学证据显示其在接受 pembrolizumab 治疗期间疾病进展:在病例 1 中,我们讨论了区分真正的肿瘤进展和治疗诱导的假性进展所面临的挑战,假性进展导致继续接受相同的治疗。在病例 2 中,手术后病理显示放射性坏死和治疗相关的变化,从而指导了 nivolumab 治疗的继续。病例3经病理证实病情恶化,患者因其表现状况接受了最佳支持治疗:讨论:尽管采取了积极的治疗方案,GBM 患者的预后仍然很差,这凸显了创新治疗策略的必要性。免疫疗法有望重塑 GBM 和脑转移瘤的治疗格局,但进一步研究和完善评估标准至关重要。在我们的病例中,我们讨论了 iRANO 标准,该标准是为了克服 RANO 标准在捕捉免疫疗法反应(尤其是假性进展)方面的局限性而制定的。
本文章由计算机程序翻译,如有差异,请以英文原文为准。
求助全文
约1分钟内获得全文 求助全文
来源期刊
Cancer Control
Cancer Control ONCOLOGY-
CiteScore
3.80
自引率
0.00%
发文量
148
审稿时长
>12 weeks
期刊介绍: Cancer Control is a JCR-ranked, peer-reviewed open access journal whose mission is to advance the prevention, detection, diagnosis, treatment, and palliative care of cancer by enabling researchers, doctors, policymakers, and other healthcare professionals to freely share research along the cancer control continuum. Our vision is a world where gold-standard cancer care is the norm, not the exception.
×
引用
GB/T 7714-2015
复制
MLA
复制
APA
复制
导出至
BibTeX EndNote RefMan NoteFirst NoteExpress
×
提示
您的信息不完整,为了账户安全,请先补充。
现在去补充
×
提示
您因"违规操作"
具体请查看互助需知
我知道了
×
提示
确定
请完成安全验证×
copy
已复制链接
快去分享给好友吧!
我知道了
右上角分享
点击右上角分享
0
联系我们:info@booksci.cn Book学术提供免费学术资源搜索服务,方便国内外学者检索中英文文献。致力于提供最便捷和优质的服务体验。 Copyright © 2023 布克学术 All rights reserved.
京ICP备2023020795号-1
ghs 京公网安备 11010802042870号
Book学术文献互助
Book学术文献互助群
群 号:604180095
Book学术官方微信