Non-uremic calciphylaxis: A dermatologic complication in both MASH and alcohol-associated cirrhosis.

Clinical nephrology. Case studies Pub Date : 2025-02-06 eCollection Date: 2025-01-01 DOI:10.5414/CNCS111578
Dylan Rose Balter, Yueming Cao, James Garritano, Goran Micevic, Andrew Sanchez
{"title":"Non-uremic calciphylaxis: A dermatologic complication in both MASH and alcohol-associated cirrhosis.","authors":"Dylan Rose Balter, Yueming Cao, James Garritano, Goran Micevic, Andrew Sanchez","doi":"10.5414/CNCS111578","DOIUrl":null,"url":null,"abstract":"<p><p>A woman with metabolic dysfunction-associated steatohepatitis (MASH) cirrhosis presented to our hospital with hepatic encephalopathy, acute kidney injury, and painful skin lesions. A skin biopsy and broad work-up led to a diagnosis of non-uremic calciphylaxis. Despite treatment with IV sodium thiosulfate therapy, the patient ultimately passed away from infectious complications. This case highlights the need to recognize non-uremic calciphylaxis, which is a dermatologic complication associated with both alcohol-associated and MASH cirrhosis. While treatment options are currently limited, recognition of non-uremic calciphylaxis is crucial for enabling honest conversations with patients about prognosis.</p>","PeriodicalId":510898,"journal":{"name":"Clinical nephrology. Case studies","volume":"13 ","pages":"8-12"},"PeriodicalIF":0.0000,"publicationDate":"2025-02-06","publicationTypes":"Journal Article","fieldsOfStudy":null,"isOpenAccess":false,"openAccessPdf":"https://www.ncbi.nlm.nih.gov/pmc/articles/PMC11823000/pdf/","citationCount":"0","resultStr":null,"platform":"Semanticscholar","paperid":null,"PeriodicalName":"Clinical nephrology. Case studies","FirstCategoryId":"1085","ListUrlMain":"https://doi.org/10.5414/CNCS111578","RegionNum":0,"RegionCategory":null,"ArticlePicture":[],"TitleCN":null,"AbstractTextCN":null,"PMCID":null,"EPubDate":"2025/1/1 0:00:00","PubModel":"eCollection","JCR":"","JCRName":"","Score":null,"Total":0}
引用次数: 0

Abstract

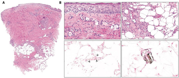
A woman with metabolic dysfunction-associated steatohepatitis (MASH) cirrhosis presented to our hospital with hepatic encephalopathy, acute kidney injury, and painful skin lesions. A skin biopsy and broad work-up led to a diagnosis of non-uremic calciphylaxis. Despite treatment with IV sodium thiosulfate therapy, the patient ultimately passed away from infectious complications. This case highlights the need to recognize non-uremic calciphylaxis, which is a dermatologic complication associated with both alcohol-associated and MASH cirrhosis. While treatment options are currently limited, recognition of non-uremic calciphylaxis is crucial for enabling honest conversations with patients about prognosis.

Abstract Image

Abstract Image

Abstract Image

非尿毒症性钙化反应:MASH和酒精相关性肝硬化的皮肤病并发症。
一位患有代谢功能障碍相关脂肪性肝炎(MASH)肝硬化的女性以肝性脑病、急性肾损伤和疼痛的皮肤病变来到我院。皮肤活检和广泛检查诊断为非尿毒症性钙化反应。尽管接受了静脉注射硫代硫酸钠治疗,患者最终还是死于感染并发症。本病例强调需要识别非尿毒症性钙化反应,这是一种与酒精相关和MASH肝硬化相关的皮肤病并发症。虽然目前治疗选择有限,但认识到非尿毒症性钙化反应对于与患者诚实地讨论预后至关重要。
本文章由计算机程序翻译,如有差异,请以英文原文为准。
求助全文
约1分钟内获得全文 求助全文
来源期刊
自引率
0.00%
发文量
0
×
引用
GB/T 7714-2015
复制
MLA
复制
APA
复制
导出至
BibTeX EndNote RefMan NoteFirst NoteExpress
×
提示
您的信息不完整,为了账户安全,请先补充。
现在去补充
×
提示
您因"违规操作"
具体请查看互助需知
我知道了
×
提示
确定
请完成安全验证×
copy
已复制链接
快去分享给好友吧!
我知道了
右上角分享
点击右上角分享
0
联系我们:info@booksci.cn Book学术提供免费学术资源搜索服务,方便国内外学者检索中英文文献。致力于提供最便捷和优质的服务体验。 Copyright © 2023 布克学术 All rights reserved.
京ICP备2023020795号-1
ghs 京公网安备 11010802042870号
Book学术文献互助
Book学术文献互助群
群 号:604180095
Book学术官方微信