The natural course of cystic pancreatic neuroendocrine tumours in MEN1.

Endocrine oncology (Bristol, England) Pub Date : 2025-02-04 eCollection Date: 2025-01-01 DOI:10.1530/EO-24-0050
Eline N M van Vliembergen, Carolina R C Pieterman, Annenienke C van de Ven, Arthur J A T Braat, Gerlof D Valk, Joanne M de Laat
{"title":"The natural course of cystic pancreatic neuroendocrine tumours in MEN1.","authors":"Eline N M van Vliembergen, Carolina R C Pieterman, Annenienke C van de Ven, Arthur J A T Braat, Gerlof D Valk, Joanne M de Laat","doi":"10.1530/EO-24-0050","DOIUrl":null,"url":null,"abstract":"<p><p>Pancreatic neuroendocrine tumours (PanNETs) significantly impact life expectancy in multiple endocrine neoplasia type 1 (MEN1). Both solid and cystic pancreatic lesions are observed in MEN1, yet limited research has been focused on cystic lesions in MEN1. While solid PanNETs are generally considered to have an indolent course, the natural course of cystic lesions remains unclear. This study aims to provide more insights into the natural course of cystic PanNETs in MEN1. Patients with MEN1 and radiologically suspected PanNETs, treated at UMC Utrecht and Radboudumc between 2010 and 2023, were included. In the first part, we examined the characteristics of patients with tumours visible on imaging scans. In the second part, we investigated outcomes of pathological examinations, following resection of these lesions. A total of 136 patients were included, comprising 60 men and 76 women. The median follow-up was 5.1 years. [<sup>68</sup>Ga]Ga-DOTATOC PET/CT scans showed that both cystic and solid lesions demonstrated [<sup>68</sup>Ga]Ga-DOTATOC PET/CT uptake. The median growth of cystic and solid PanNETs was similar. Pathological examination of 38 resected tumours confirmed that cystic lesions identified on imaging were indeed PanNETs. Cystic lesions had a median diameter of 26 mm at the time of resection, compared to 18 mm for solid lesions, with comparable Ki-67 indices and mitotic counts. We conclude that cystic and solid PanNETs in MEN1 patients appear to be morphological variations of the same entity, suggesting that similar management approaches should be considered.</p>","PeriodicalId":72907,"journal":{"name":"Endocrine oncology (Bristol, England)","volume":"5 1","pages":"e240050"},"PeriodicalIF":0.0000,"publicationDate":"2025-02-04","publicationTypes":"Journal Article","fieldsOfStudy":null,"isOpenAccess":false,"openAccessPdf":"https://www.ncbi.nlm.nih.gov/pmc/articles/PMC11825168/pdf/","citationCount":"0","resultStr":null,"platform":"Semanticscholar","paperid":null,"PeriodicalName":"Endocrine oncology (Bristol, England)","FirstCategoryId":"1085","ListUrlMain":"https://doi.org/10.1530/EO-24-0050","RegionNum":0,"RegionCategory":null,"ArticlePicture":[],"TitleCN":null,"AbstractTextCN":null,"PMCID":null,"EPubDate":"2025/1/1 0:00:00","PubModel":"eCollection","JCR":"","JCRName":"","Score":null,"Total":0}
引用次数: 0

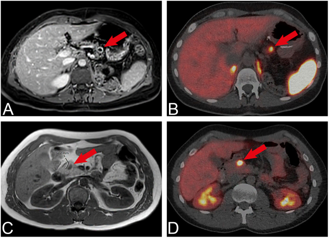
Abstract

Pancreatic neuroendocrine tumours (PanNETs) significantly impact life expectancy in multiple endocrine neoplasia type 1 (MEN1). Both solid and cystic pancreatic lesions are observed in MEN1, yet limited research has been focused on cystic lesions in MEN1. While solid PanNETs are generally considered to have an indolent course, the natural course of cystic lesions remains unclear. This study aims to provide more insights into the natural course of cystic PanNETs in MEN1. Patients with MEN1 and radiologically suspected PanNETs, treated at UMC Utrecht and Radboudumc between 2010 and 2023, were included. In the first part, we examined the characteristics of patients with tumours visible on imaging scans. In the second part, we investigated outcomes of pathological examinations, following resection of these lesions. A total of 136 patients were included, comprising 60 men and 76 women. The median follow-up was 5.1 years. [68Ga]Ga-DOTATOC PET/CT scans showed that both cystic and solid lesions demonstrated [68Ga]Ga-DOTATOC PET/CT uptake. The median growth of cystic and solid PanNETs was similar. Pathological examination of 38 resected tumours confirmed that cystic lesions identified on imaging were indeed PanNETs. Cystic lesions had a median diameter of 26 mm at the time of resection, compared to 18 mm for solid lesions, with comparable Ki-67 indices and mitotic counts. We conclude that cystic and solid PanNETs in MEN1 patients appear to be morphological variations of the same entity, suggesting that similar management approaches should be considered.

Abstract Image

Abstract Image

MEN1患者囊性胰腺神经内分泌肿瘤的自然病程。
胰腺神经内分泌肿瘤(PanNETs)显著影响多发性内分泌肿瘤1型(MEN1)患者的预期寿命。MEN1中可见实性和囊性胰腺病变,但对MEN1中囊性胰腺病变的研究有限。虽然固体PanNETs通常被认为具有惰性病程,但囊性病变的自然病程尚不清楚。本研究旨在为MEN1中囊性PanNETs的自然过程提供更多的见解。2010年至2023年期间在UMC乌得勒支和Radboudumc治疗的MEN1和放射学疑似PanNETs患者纳入研究。在第一部分中,我们检查了在成像扫描上可见肿瘤患者的特征。在第二部分中,我们研究了切除这些病变后的病理检查结果。共纳入136例患者,其中男性60例,女性76例。中位随访时间为5.1年。[68Ga]Ga-DOTATOC PET/CT扫描显示囊性和实性病变均显示[68Ga]Ga-DOTATOC PET/CT摄取。囊性PanNETs和实性PanNETs的中位数生长相似。38例切除肿瘤的病理检查证实影像学上发现的囊性病变确实是PanNETs。囊性病变切除时的中位直径为26毫米,而实性性病变为18毫米,Ki-67指数和有丝分裂计数相当。我们的结论是,MEN1患者的囊性和实性PanNETs似乎是同一实体的形态变化,表明应该考虑类似的治疗方法。
本文章由计算机程序翻译,如有差异,请以英文原文为准。
求助全文
约1分钟内获得全文 求助全文
来源期刊
自引率
0.00%
发文量
0
×
引用
GB/T 7714-2015
复制
MLA
复制
APA
复制
导出至
BibTeX EndNote RefMan NoteFirst NoteExpress
×
提示
您的信息不完整,为了账户安全,请先补充。
现在去补充
×
提示
您因"违规操作"
具体请查看互助需知
我知道了
×
提示
确定
请完成安全验证×
copy
已复制链接
快去分享给好友吧!
我知道了
右上角分享
点击右上角分享
0
联系我们:info@booksci.cn Book学术提供免费学术资源搜索服务,方便国内外学者检索中英文文献。致力于提供最便捷和优质的服务体验。 Copyright © 2023 布克学术 All rights reserved.
京ICP备2023020795号-1
ghs 京公网安备 11010802042870号
Book学术文献互助
Book学术文献互助群
群 号:604180095
Book学术官方微信