Surgical planning of small intestine neuroendocrine tumors: the concept of mesenteric tumor deposits.

Endocrine oncology (Bristol, England) Pub Date : 2025-02-04 eCollection Date: 2025-01-01 DOI:10.1530/EO-24-0056
Romain L'Huillier, Gilles Poncet, Arnaud Pasquer, Thomas Walter, Catherine Lombard-Bohas, Valérie Hervieu, Bénédicte Cayot, Pierre-Jean Valette, Helen Cheung, Laurent Milot
{"title":"Surgical planning of small intestine neuroendocrine tumors: the concept of mesenteric tumor deposits.","authors":"Romain L'Huillier, Gilles Poncet, Arnaud Pasquer, Thomas Walter, Catherine Lombard-Bohas, Valérie Hervieu, Bénédicte Cayot, Pierre-Jean Valette, Helen Cheung, Laurent Milot","doi":"10.1530/EO-24-0056","DOIUrl":null,"url":null,"abstract":"<p><p>The mesenteric extension of small neuroendocrine tumors is the surgical limiting factor because of the risk of postoperative short bowel syndrome due to superior mesenteric artery involvement. Recent pathological studies have shown that this vascular involvement is due to mesenteric tumor deposits, differentiated from lymph node metastases. The aim of this study was to evaluate the performances of computed tomography (CT) for the surgical planning of small intestine neuroendocrine tumors. This was a retrospective observational study, and all patients undergoing surgery for small intestine neuroendocrine tumor between January 2014 and March 2019 were included. Preoperative CTs were reviewed, blinded from surgical and pathological data, by two radiologists. Diagnostic accuracy and interobserver reliability analysis were performed. We included 45 patients (mean age: 61 years (28-84 years); 23 men). The CT sensitivity to identify the mesenteric mass was 97% (37/38) with a <i>ĸ</i> of 0.73. The positive predictive value of CT to anticipate a right colic resection was 86% (18/21). The negative predictive value of CT was high (97% (34/35) to 100% (35/35)) for duodenal resection (<i>ĸ</i> = 0.78). Regarding retropancreatic lymph node invasion, the CT sensitivity was poor (24%, 4/17), with a high <i>ĸ</i> (0.88). The level of involvement by the mesenteric mass was correlated with the length and the percentage of the remaining small bowel. CT is essential for the surgical planning of small intestine neuroendocrine tumors, being accurate in defining the mesenteric tumor deposits, allowing one to anticipate, with a good reproducibility, the length and percentage of the remaining small bowel and the necessity for a right colectomy.</p>","PeriodicalId":72907,"journal":{"name":"Endocrine oncology (Bristol, England)","volume":"5 1","pages":"e240056"},"PeriodicalIF":0.0000,"publicationDate":"2025-02-04","publicationTypes":"Journal Article","fieldsOfStudy":null,"isOpenAccess":false,"openAccessPdf":"https://www.ncbi.nlm.nih.gov/pmc/articles/PMC11825162/pdf/","citationCount":"0","resultStr":null,"platform":"Semanticscholar","paperid":null,"PeriodicalName":"Endocrine oncology (Bristol, England)","FirstCategoryId":"1085","ListUrlMain":"https://doi.org/10.1530/EO-24-0056","RegionNum":0,"RegionCategory":null,"ArticlePicture":[],"TitleCN":null,"AbstractTextCN":null,"PMCID":null,"EPubDate":"2025/1/1 0:00:00","PubModel":"eCollection","JCR":"","JCRName":"","Score":null,"Total":0}
引用次数: 0

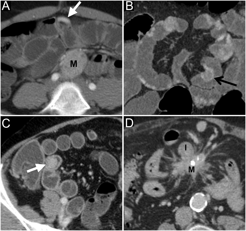
Abstract

The mesenteric extension of small neuroendocrine tumors is the surgical limiting factor because of the risk of postoperative short bowel syndrome due to superior mesenteric artery involvement. Recent pathological studies have shown that this vascular involvement is due to mesenteric tumor deposits, differentiated from lymph node metastases. The aim of this study was to evaluate the performances of computed tomography (CT) for the surgical planning of small intestine neuroendocrine tumors. This was a retrospective observational study, and all patients undergoing surgery for small intestine neuroendocrine tumor between January 2014 and March 2019 were included. Preoperative CTs were reviewed, blinded from surgical and pathological data, by two radiologists. Diagnostic accuracy and interobserver reliability analysis were performed. We included 45 patients (mean age: 61 years (28-84 years); 23 men). The CT sensitivity to identify the mesenteric mass was 97% (37/38) with a ĸ of 0.73. The positive predictive value of CT to anticipate a right colic resection was 86% (18/21). The negative predictive value of CT was high (97% (34/35) to 100% (35/35)) for duodenal resection (ĸ = 0.78). Regarding retropancreatic lymph node invasion, the CT sensitivity was poor (24%, 4/17), with a high ĸ (0.88). The level of involvement by the mesenteric mass was correlated with the length and the percentage of the remaining small bowel. CT is essential for the surgical planning of small intestine neuroendocrine tumors, being accurate in defining the mesenteric tumor deposits, allowing one to anticipate, with a good reproducibility, the length and percentage of the remaining small bowel and the necessity for a right colectomy.

Abstract Image

Abstract Image

Abstract Image

小肠神经内分泌肿瘤的手术计划:肠系膜肿瘤沉积的概念。
小神经内分泌肿瘤的肠系膜延伸是手术的限制因素,因为肠系膜上动脉受累有术后短肠综合征的风险。最近的病理研究表明,这种血管累及是由于肠系膜肿瘤沉积,与淋巴结转移区分开来。本研究的目的是评估计算机断层扫描(CT)在小肠神经内分泌肿瘤手术计划中的表现。这是一项回顾性观察性研究,纳入了2014年1月至2019年3月期间接受小肠神经内分泌肿瘤手术的所有患者。术前ct检查,盲法从手术和病理数据,由两名放射科医生。进行诊断准确性和观察者间信度分析。我们纳入了45例患者(平均年龄:61岁(28-84岁);23人)。CT对肠系膜肿块的敏感度为97%(37/38),准确率为0.73。CT预测右结肠切除术的阳性预测值为86%(18/21)。十二指肠切除术的CT阴性预测值较高(97% (34/35)~ 100% (35/35))( = 0.78)。对于胰后淋巴结侵犯,CT敏感性较差(24%,4/17),但较高(0.88)。肠系膜肿块的受累程度与剩余小肠的长度和百分比相关。CT对于小肠神经内分泌肿瘤的手术规划至关重要,它可以准确地确定肠系膜肿瘤沉积物,使患者能够以良好的再现性预测剩余小肠的长度和百分比,以及是否需要进行右结肠切除术。
本文章由计算机程序翻译,如有差异,请以英文原文为准。
求助全文
约1分钟内获得全文 求助全文
来源期刊
自引率
0.00%
发文量
0
×
引用
GB/T 7714-2015
复制
MLA
复制
APA
复制
导出至
BibTeX EndNote RefMan NoteFirst NoteExpress
×
提示
您的信息不完整,为了账户安全,请先补充。
现在去补充
×
提示
您因"违规操作"
具体请查看互助需知
我知道了
×
提示
确定
请完成安全验证×
copy
已复制链接
快去分享给好友吧!
我知道了
右上角分享
点击右上角分享
0
联系我们:info@booksci.cn Book学术提供免费学术资源搜索服务,方便国内外学者检索中英文文献。致力于提供最便捷和优质的服务体验。 Copyright © 2023 布克学术 All rights reserved.
京ICP备2023020795号-1
ghs 京公网安备 11010802042870号
Book学术文献互助
Book学术文献互助群
群 号:604180095
Book学术官方微信