Iruplinalkib for G1202R-mutant non-small cell lung cancer with anaplastic lymphoma kinase double fusion failed to alectinib: a case report.

IF 2.2 4区 医学 Q3 ONCOLOGY
Anti-Cancer Drugs Pub Date : 2025-06-01 Epub Date: 2025-02-17 DOI:10.1097/CAD.0000000000001695
Guangjian Yang, Jiaqi Hu, Runze Liu, Pei Li, Linke Yang, Xiaoyong Tang, Luokun Wang
{"title":"Iruplinalkib for G1202R-mutant non-small cell lung cancer with anaplastic lymphoma kinase double fusion failed to alectinib: a case report.","authors":"Guangjian Yang, Jiaqi Hu, Runze Liu, Pei Li, Linke Yang, Xiaoyong Tang, Luokun Wang","doi":"10.1097/CAD.0000000000001695","DOIUrl":null,"url":null,"abstract":"<p><p>The novel and highly selective anaplastic lymphoma kinase ( ALK ) inhibitor iruplinalkib showed potent activity and manageable safety profiles in patients with ALK -rearranged non-small cell lung cancer (NSCLC). However, the evidence of iruplinalkib for uncommon ALK double fusion and secondary G1202R resistance mutation is limited. Here, we report a case of a 36-year-old male with metastatic NSCLC harboring uncommon TTC7A - ALK and EML4 - ALK double fusion. Alectinib as first-line therapy showed partial response, with a progression-free survival (PFS) of 20 months. When his disease progressed, the ALK secondary G1202R resistance mutation was identified. His metastatic paraesophageal lymph node decreased during iruplinalkib treatment, achieving an ongoing PFS benefit for 10 months. Treatment-related adverse events of iruplinalkib were grade 1 hypercholesterolemia and hypertriglyceridemia. The modeling simulation revealed that the G1202R mutation exerted little effect on the binding of iruplinalkib. Iruplinalkib showed potency to G1202R because of its unique chemical structure and removal of steric clashes, which might be a promising option for ALK -rearranged NSCLC patients with G1202R resistance mutation.</p>","PeriodicalId":7969,"journal":{"name":"Anti-Cancer Drugs","volume":" ","pages":"432-437"},"PeriodicalIF":2.2000,"publicationDate":"2025-06-01","publicationTypes":"Journal Article","fieldsOfStudy":null,"isOpenAccess":false,"openAccessPdf":"https://www.ncbi.nlm.nih.gov/pmc/articles/PMC11969368/pdf/","citationCount":"0","resultStr":null,"platform":"Semanticscholar","paperid":null,"PeriodicalName":"Anti-Cancer Drugs","FirstCategoryId":"3","ListUrlMain":"https://doi.org/10.1097/CAD.0000000000001695","RegionNum":4,"RegionCategory":"医学","ArticlePicture":[],"TitleCN":null,"AbstractTextCN":null,"PMCID":null,"EPubDate":"2025/2/17 0:00:00","PubModel":"Epub","JCR":"Q3","JCRName":"ONCOLOGY","Score":null,"Total":0}
引用次数: 0

Abstract

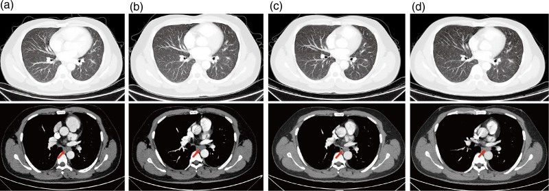
The novel and highly selective anaplastic lymphoma kinase ( ALK ) inhibitor iruplinalkib showed potent activity and manageable safety profiles in patients with ALK -rearranged non-small cell lung cancer (NSCLC). However, the evidence of iruplinalkib for uncommon ALK double fusion and secondary G1202R resistance mutation is limited. Here, we report a case of a 36-year-old male with metastatic NSCLC harboring uncommon TTC7A - ALK and EML4 - ALK double fusion. Alectinib as first-line therapy showed partial response, with a progression-free survival (PFS) of 20 months. When his disease progressed, the ALK secondary G1202R resistance mutation was identified. His metastatic paraesophageal lymph node decreased during iruplinalkib treatment, achieving an ongoing PFS benefit for 10 months. Treatment-related adverse events of iruplinalkib were grade 1 hypercholesterolemia and hypertriglyceridemia. The modeling simulation revealed that the G1202R mutation exerted little effect on the binding of iruplinalkib. Iruplinalkib showed potency to G1202R because of its unique chemical structure and removal of steric clashes, which might be a promising option for ALK -rearranged NSCLC patients with G1202R resistance mutation.

Abstract Image

Abstract Image

Abstract Image

依鲁替尼治疗g1202r突变型非小细胞肺癌伴间变性淋巴瘤激酶双融合失败1例
新型高选择性间变性淋巴瘤激酶(ALK)抑制剂iruplinalkib在ALK重排的非小细胞肺癌(NSCLC)患者中显示出有效的活性和可管理的安全性。然而,对于罕见的ALK双融合和继发性G1202R耐药突变,iruplinalkib的证据是有限的。在此,我们报告一例36岁男性转移性非小细胞肺癌,伴有罕见的TTC7A-ALK和EML4-ALK双融合。阿勒替尼作为一线治疗显示部分缓解,无进展生存期(PFS)为20个月。当他的疾病进展时,鉴定出ALK继发性G1202R耐药突变。他的转移性食道旁淋巴结在伊鲁普那基布治疗期间减少,实现了持续10个月的PFS获益。治疗相关不良事件为1级高胆固醇血症和高甘油三酯血症。模型模拟显示,G1202R突变对iruplinalkib的结合影响不大。Iruplinalkib由于其独特的化学结构和消除空间冲突而显示出对G1202R的有效性,可能是alk重排的G1202R耐药突变的NSCLC患者的有希望的选择。
本文章由计算机程序翻译,如有差异,请以英文原文为准。
求助全文
约1分钟内获得全文 求助全文
来源期刊
Anti-Cancer Drugs
Anti-Cancer Drugs 医学-药学
CiteScore
3.80
自引率
0.00%
发文量
244
审稿时长
3 months
期刊介绍: Anti-Cancer Drugs reports both clinical and experimental results related to anti-cancer drugs, and welcomes contributions on anti-cancer drug design, drug delivery, pharmacology, hormonal and biological modalities and chemotherapy evaluation. An internationally refereed journal devoted to the fast publication of innovative investigations on therapeutic agents against cancer, Anti-Cancer Drugs aims to stimulate and report research on both toxic and non-toxic anti-cancer agents. Consequently, the scope on the journal will cover both conventional cytotoxic chemotherapy and hormonal or biological response modalities such as interleukins and immunotherapy. Submitted articles undergo a preliminary review by the editor. Some articles may be returned to authors without further consideration. Those being considered for publication will undergo further assessment and peer-review by the editors and those invited to do so from a reviewer pool.
×
引用
GB/T 7714-2015
复制
MLA
复制
APA
复制
导出至
BibTeX EndNote RefMan NoteFirst NoteExpress
×
提示
您的信息不完整,为了账户安全,请先补充。
现在去补充
×
提示
您因"违规操作"
具体请查看互助需知
我知道了
×
提示
确定
请完成安全验证×
copy
已复制链接
快去分享给好友吧!
我知道了
右上角分享
点击右上角分享
0
联系我们:info@booksci.cn Book学术提供免费学术资源搜索服务,方便国内外学者检索中英文文献。致力于提供最便捷和优质的服务体验。 Copyright © 2023 布克学术 All rights reserved.
京ICP备2023020795号-1
ghs 京公网安备 11010802042870号
Book学术文献互助
Book学术文献互助群
群 号:604180095
Book学术官方微信