Long-Term Outcomes and Management of Atypical Carotid Web in Nonagenarian.

IF 0.9
Journal of medical cases Pub Date : 2025-02-01 Epub Date: 2025-02-02 DOI:10.14740/jmc4339
Daniel L Burke, Aldin Malkoc, Iden Andacheh
{"title":"Long-Term Outcomes and Management of Atypical Carotid Web in Nonagenarian.","authors":"Daniel L Burke, Aldin Malkoc, Iden Andacheh","doi":"10.14740/jmc4339","DOIUrl":null,"url":null,"abstract":"<p><p>Internal carotid artery webs (ICAWs) have been described as noninflammatory, nonatherosclerotic shelf-like projections of intimal fibrous tissue which may be the culprit for embolic stroke of unknown origin. Carotid webs are an atypical form of intimal fibromuscular dysplasia (FMD) and internal carotid webs create areas of stagnation and recirculation distal to the web that favor thrombus formation and embolism. Symptomatic carotid webs are conventionally associated with young women presenting with few vascular risk factors and < 50% stenosis in the affected ICA. ICAWs are being described more and more in the vascular literature, but the management of this pathology remains unclear. We describe a rare case of a 90-year-old male who presented with a significantly sclerosed symptomatic right ICAW without evidence of comorbid atherosclerotic disease. The clinical management, intraoperative findings, and postoperative course are described herein. At the age of 90, this patient is the oldest case of symptomatic carotid web recorded in the literature. Successful management with a carotid endarterectomy is an appropriate strategy for treatment even in a nonagenarian. We would favor carotid endarterectomy over carotid artery stenting given the circumferential, fibrotic nature of these lesions.</p>","PeriodicalId":101328,"journal":{"name":"Journal of medical cases","volume":"16 2","pages":"82-86"},"PeriodicalIF":0.9000,"publicationDate":"2025-02-01","publicationTypes":"Journal Article","fieldsOfStudy":null,"isOpenAccess":false,"openAccessPdf":"https://www.ncbi.nlm.nih.gov/pmc/articles/PMC11809605/pdf/","citationCount":"0","resultStr":null,"platform":"Semanticscholar","paperid":null,"PeriodicalName":"Journal of medical cases","FirstCategoryId":"1085","ListUrlMain":"https://doi.org/10.14740/jmc4339","RegionNum":0,"RegionCategory":null,"ArticlePicture":[],"TitleCN":null,"AbstractTextCN":null,"PMCID":null,"EPubDate":"2025/2/2 0:00:00","PubModel":"Epub","JCR":"","JCRName":"","Score":null,"Total":0}
引用次数: 0

Abstract

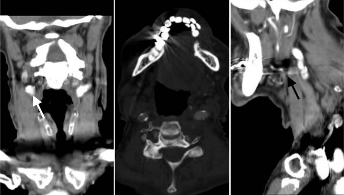
Internal carotid artery webs (ICAWs) have been described as noninflammatory, nonatherosclerotic shelf-like projections of intimal fibrous tissue which may be the culprit for embolic stroke of unknown origin. Carotid webs are an atypical form of intimal fibromuscular dysplasia (FMD) and internal carotid webs create areas of stagnation and recirculation distal to the web that favor thrombus formation and embolism. Symptomatic carotid webs are conventionally associated with young women presenting with few vascular risk factors and < 50% stenosis in the affected ICA. ICAWs are being described more and more in the vascular literature, but the management of this pathology remains unclear. We describe a rare case of a 90-year-old male who presented with a significantly sclerosed symptomatic right ICAW without evidence of comorbid atherosclerotic disease. The clinical management, intraoperative findings, and postoperative course are described herein. At the age of 90, this patient is the oldest case of symptomatic carotid web recorded in the literature. Successful management with a carotid endarterectomy is an appropriate strategy for treatment even in a nonagenarian. We would favor carotid endarterectomy over carotid artery stenting given the circumferential, fibrotic nature of these lesions.

Abstract Image

Abstract Image

Abstract Image

非典型颈动脉壁在老年患者的长期预后和治疗。
颈内动脉网(ICAWs)被描述为内膜纤维组织的非炎性、非动脉粥样硬化的架子样突起,可能是不明来源的栓塞性中风的罪魁祸首。颈动脉网是内膜纤维肌肉发育不良(FMD)的一种非典型形式,颈动脉网在其远端形成停滞和再循环区域,有利于血栓形成和栓塞。症状性颈动脉网通常与年轻女性的血管危险因素较少,且受影响的ICA狭窄< 50%有关。血管文献中越来越多地描述了icaw,但这种病理的处理仍不清楚。我们描述了一个罕见的病例,一个90岁的男性谁提出了一个明显硬化的症状右侧ICAW没有证据合并症动脉粥样硬化疾病。本文描述临床处理、术中发现和术后过程。患者年龄90岁,是文献中记录的年龄最大的症状性颈动脉网病例。成功的颈动脉内膜切除术是一个合适的治疗策略,即使是在一个90多岁。考虑到颈动脉内膜切除术与支架置入术的周缘性、纤维化性质,我们更倾向于颈动脉内膜切除术。
本文章由计算机程序翻译,如有差异,请以英文原文为准。
求助全文
约1分钟内获得全文 求助全文
来源期刊
CiteScore
1.10
自引率
0.00%
发文量
0
×
引用
GB/T 7714-2015
复制
MLA
复制
APA
复制
导出至
BibTeX EndNote RefMan NoteFirst NoteExpress
×
提示
您的信息不完整,为了账户安全,请先补充。
现在去补充
×
提示
您因"违规操作"
具体请查看互助需知
我知道了
×
提示
确定
请完成安全验证×
copy
已复制链接
快去分享给好友吧!
我知道了
右上角分享
点击右上角分享
0
联系我们:info@booksci.cn Book学术提供免费学术资源搜索服务,方便国内外学者检索中英文文献。致力于提供最便捷和优质的服务体验。 Copyright © 2023 布克学术 All rights reserved.
京ICP备2023020795号-1
ghs 京公网安备 11010802042870号
Book学术文献互助
Book学术文献互助群
群 号:604180095
Book学术官方微信