Radiographic Features of Spinal Meningioma and Schwannoma: A Novel Specific Feature-Ginkgo Leaf Sign.

IF 1.2 Q3 SURGERY
Spine Surgery and Related Research Pub Date : 2024-07-10 eCollection Date: 2025-01-27 DOI:10.22603/ssrr.2024-0059
Yu Toda, Masashi Miyazaki, Takaomi Kobayashi, Yoshiaki Egashira, Deokcheol Lee, Hideaki Hamanaka, Shigeo Ueda, Hiromu Yoshizato, Masatsugu Tsukamoto, Tomohito Yoshihara, Hirohito Hirata, Hiroaki Konishi, Tatsuya Tanaka, Koji Otani, Masaaki Mawatari, Tadatsugu Morimoto
{"title":"Radiographic Features of Spinal Meningioma and Schwannoma: A Novel Specific Feature-Ginkgo Leaf Sign.","authors":"Yu Toda, Masashi Miyazaki, Takaomi Kobayashi, Yoshiaki Egashira, Deokcheol Lee, Hideaki Hamanaka, Shigeo Ueda, Hiromu Yoshizato, Masatsugu Tsukamoto, Tomohito Yoshihara, Hirohito Hirata, Hiroaki Konishi, Tatsuya Tanaka, Koji Otani, Masaaki Mawatari, Tadatsugu Morimoto","doi":"10.22603/ssrr.2024-0059","DOIUrl":null,"url":null,"abstract":"<p><strong>Introduction: </strong>Meningiomas and schwannomas are common intradural-extramedullary spinal tumors. Because of their different origins, they necessitate different surgical procedures, which makes preoperative diagnosis important.</p><p><strong>Methods: </strong>In this study, clinical and imaging data for 62 patients diagnosed with either meningioma or schwannoma across multiple institutions were analyzed.</p><p><strong>Results: </strong>The average age of patients was older (67.6 vs. 58.9 years), and the frequency of females was higher (72% vs. 46%) for meningioma than for schwannoma. Meningiomas were mostly found in the thoracic region (84%), whereas schwannomas were commonly located in the lumbar region (54%). For each tumor type, specific radiological findings were identified. For meningiomas, findings included the ginkgo leaf sign (GLS) (sensitivity 58%, specificity 100%), oval shape (sensitivity 84%, specificity 63%), dural tail sign (DTS) (sensitivity 75%, specificity 100%), and intertumoral calcification (sensitivity 39%, specificity 100%). Combining GLS and DTS greatly improved sensitivity to 89% (specificity 100%). For schwannomas, specific findings included a lobule shape (sensitivity 25%, specificity 95%), dumbbell shape (sensitivity 54%, specificity 100%), and cystic changes (sensitivity 54%, specificity 97%).</p><p><strong>Conclusions: </strong>GLS may be a specific radiological feature for meningiomas and can aid in diagnosis when combined with DTS. Understanding these distinct radiological characteristics is valuable for preoperative differential diagnosis of intradural-extramedullary spinal tumors.</p>","PeriodicalId":22253,"journal":{"name":"Spine Surgery and Related Research","volume":"9 1","pages":"45-50"},"PeriodicalIF":1.2000,"publicationDate":"2024-07-10","publicationTypes":"Journal Article","fieldsOfStudy":null,"isOpenAccess":false,"openAccessPdf":"https://www.ncbi.nlm.nih.gov/pmc/articles/PMC11808241/pdf/","citationCount":"0","resultStr":null,"platform":"Semanticscholar","paperid":null,"PeriodicalName":"Spine Surgery and Related Research","FirstCategoryId":"1085","ListUrlMain":"https://doi.org/10.22603/ssrr.2024-0059","RegionNum":0,"RegionCategory":null,"ArticlePicture":[],"TitleCN":null,"AbstractTextCN":null,"PMCID":null,"EPubDate":"2025/1/27 0:00:00","PubModel":"eCollection","JCR":"Q3","JCRName":"SURGERY","Score":null,"Total":0}
引用次数: 0

Abstract

Introduction: Meningiomas and schwannomas are common intradural-extramedullary spinal tumors. Because of their different origins, they necessitate different surgical procedures, which makes preoperative diagnosis important.

Methods: In this study, clinical and imaging data for 62 patients diagnosed with either meningioma or schwannoma across multiple institutions were analyzed.

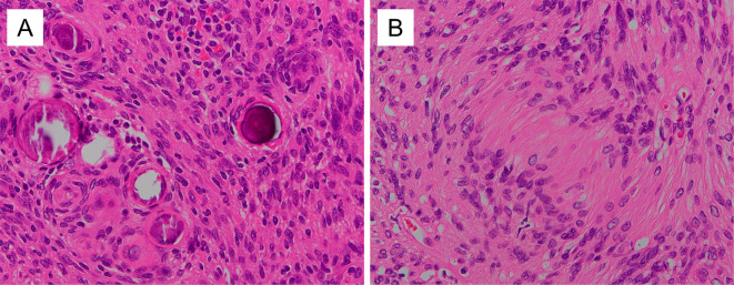
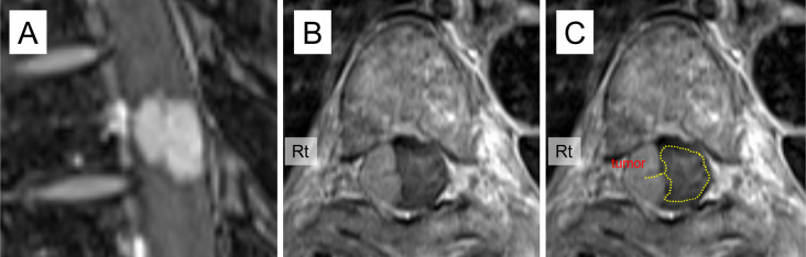
Results: The average age of patients was older (67.6 vs. 58.9 years), and the frequency of females was higher (72% vs. 46%) for meningioma than for schwannoma. Meningiomas were mostly found in the thoracic region (84%), whereas schwannomas were commonly located in the lumbar region (54%). For each tumor type, specific radiological findings were identified. For meningiomas, findings included the ginkgo leaf sign (GLS) (sensitivity 58%, specificity 100%), oval shape (sensitivity 84%, specificity 63%), dural tail sign (DTS) (sensitivity 75%, specificity 100%), and intertumoral calcification (sensitivity 39%, specificity 100%). Combining GLS and DTS greatly improved sensitivity to 89% (specificity 100%). For schwannomas, specific findings included a lobule shape (sensitivity 25%, specificity 95%), dumbbell shape (sensitivity 54%, specificity 100%), and cystic changes (sensitivity 54%, specificity 97%).

Conclusions: GLS may be a specific radiological feature for meningiomas and can aid in diagnosis when combined with DTS. Understanding these distinct radiological characteristics is valuable for preoperative differential diagnosis of intradural-extramedullary spinal tumors.

Abstract Image

Abstract Image

Abstract Image

脊髓脑膜瘤和神经鞘瘤的影像学特征:一种新的特异性特征——银杏叶征。
简介:脑膜瘤和神经鞘瘤是常见的脊髓硬膜内-髓外肿瘤。由于它们的起源不同,它们需要不同的外科手术,这使得术前诊断很重要。方法:本研究对62例诊断为脑膜瘤或神经鞘瘤的患者的临床和影像学资料进行分析。结果:脑膜瘤患者的平均年龄较大(67.6岁对58.9岁),女性发生率高于神经鞘瘤(72%对46%)。脑膜瘤多见于胸椎(84%),而神经鞘瘤多见于腰椎(54%)。对于每种肿瘤类型,确定了特定的放射学表现。对于脑膜瘤,结果包括银杏叶征(GLS)(敏感性58%,特异性100%),椭圆形征(敏感性84%,特异性63%),硬脑膜尾征(DTS)(敏感性75%,特异性100%)和瘤间钙化(敏感性39%,特异性100%)。GLS和DTS联合使用可显著提高灵敏度,达到89%(特异性100%)。对于神经鞘瘤,特异性表现包括小叶形状(敏感性25%,特异性95%)、哑铃形状(敏感性54%,特异性100%)和囊性改变(敏感性54%,特异性97%)。结论:GLS可能是脑膜瘤的特殊影像学特征,与DTS联合可帮助诊断脑膜瘤。了解这些独特的放射学特征对硬膜内-髓外脊髓肿瘤的术前鉴别诊断是有价值的。
本文章由计算机程序翻译,如有差异,请以英文原文为准。
求助全文
约1分钟内获得全文 求助全文
来源期刊
CiteScore
1.80
自引率
0.00%
发文量
71
审稿时长
15 weeks
×
引用
GB/T 7714-2015
复制
MLA
复制
APA
复制
导出至
BibTeX EndNote RefMan NoteFirst NoteExpress
×
提示
您的信息不完整,为了账户安全,请先补充。
现在去补充
×
提示
您因"违规操作"
具体请查看互助需知
我知道了
×
提示
确定
请完成安全验证×
copy
已复制链接
快去分享给好友吧!
我知道了
右上角分享
点击右上角分享
0
联系我们:info@booksci.cn Book学术提供免费学术资源搜索服务,方便国内外学者检索中英文文献。致力于提供最便捷和优质的服务体验。 Copyright © 2023 布克学术 All rights reserved.
京ICP备2023020795号-1
ghs 京公网安备 11010802042870号
Book学术文献互助
Book学术文献互助群
群 号:604180095
Book学术官方微信