Nontraumatic headaches in the emergency department: identifying clinical associations and predictive warning signs of intracranial pathologies.

Annals of Saudi medicine Pub Date : 2025-01-01 Epub Date: 2025-02-06 DOI:10.5144/0256-4947.2025.50
Abdulaziz M Alghamdi, Abdulkarim M Alghamdi, Yousof Fahad Allarakia, Arwa S Alghamdi, Abdulaziz S Alrashid, Abdulwhab M Alotaibi, Reem Addas, Ahmed I Lary
{"title":"Nontraumatic headaches in the emergency department: identifying clinical associations and predictive warning signs of intracranial pathologies.","authors":"Abdulaziz M Alghamdi, Abdulkarim M Alghamdi, Yousof Fahad Allarakia, Arwa S Alghamdi, Abdulaziz S Alrashid, Abdulwhab M Alotaibi, Reem Addas, Ahmed I Lary","doi":"10.5144/0256-4947.2025.50","DOIUrl":null,"url":null,"abstract":"<p><strong>Background: </strong>Although headaches are common, only 3-21% are estimated to be secondary, with their causes ranging from non-alarming to life-threatening conditions.</p><p><strong>Objectives: </strong>Evaluate the associated factors and predictive warning signs of intracranial pathologies in patients presenting with nontraumatic headaches to the emergency document (ED).</p><p><strong>Design: </strong>Retrospective chart review.</p><p><strong>Settings: </strong>Medical center in Jeddah.</p><p><strong>Patients and methods: </strong>Data were collected from all patients who presented to the ED with nontraumatic headaches and underwent brain computed tomography (CT) scans from September 2021 to September 2022.</p><p><strong>Main outcome measures: </strong>The associated factors and predictive warning signs of intracranial pathologies.</p><p><strong>Sample size: </strong>387.</p><p><strong>Results: </strong>Sixty-seven (17.31%) patients had intracranial pathologies. The median (IQR) age of all patients was 49 (23) years and females constituted 61.8%. Patients with intracranial pathologies were significantly more likely to have severe headaches (59.7% vs. 33.7%, <i>P</i><.001), to have compressing or sharp headaches (16.4% vs. 6.2%, P=.003), to have constant headaches (16.4% vs. 7.8%, <i>P</i>=.003), to be on chemo-therapy or radiotherapy (10.5% vs. 2.8%, <i>P</i>=.004), and to be smokers (13.4% vs. 6.2%, <i>P</i>=.042) than the other group. Multiple logistic regression of headache warning signs revealed that significant changes or progression in pattern, frequency, or severity of headache (OR: 3.2, CI: 1.5-6.6, <i>P</i>=.001), motor deficits, including abnormal reflexes (OR: 2.9, CI: 1.2-6.9, <i>P</i>=.011), personality changes, confusion, memory impairment, drowsiness, slurred speech or loss of consciousness (OR: 2.6, CI: 1.4-5.0, <i>P</i>=.002), and sudden onset of headache (OR: 1.9, CI: 1.0-3.6, <i>P</i>=.046) were predictive of intracranial pathologies.</p><p><strong>Conclusions: </strong>Our findings suggest that these four headache warning signs can help physicians predict intracranial pathologies and subsequently decide which patients should undergo brain imaging in non-traumatic headache cases.</p><p><strong>Limitations: </strong>Single-center study and retrospective design.</p>","PeriodicalId":93875,"journal":{"name":"Annals of Saudi medicine","volume":"45 1","pages":"50-61"},"PeriodicalIF":0.0000,"publicationDate":"2025-01-01","publicationTypes":"Journal Article","fieldsOfStudy":null,"isOpenAccess":false,"openAccessPdf":"https://www.ncbi.nlm.nih.gov/pmc/articles/PMC11810879/pdf/","citationCount":"0","resultStr":null,"platform":"Semanticscholar","paperid":null,"PeriodicalName":"Annals of Saudi medicine","FirstCategoryId":"1085","ListUrlMain":"https://doi.org/10.5144/0256-4947.2025.50","RegionNum":0,"RegionCategory":null,"ArticlePicture":[],"TitleCN":null,"AbstractTextCN":null,"PMCID":null,"EPubDate":"2025/2/6 0:00:00","PubModel":"Epub","JCR":"","JCRName":"","Score":null,"Total":0}
引用次数: 0

Abstract

Background: Although headaches are common, only 3-21% are estimated to be secondary, with their causes ranging from non-alarming to life-threatening conditions.

Objectives: Evaluate the associated factors and predictive warning signs of intracranial pathologies in patients presenting with nontraumatic headaches to the emergency document (ED).

Design: Retrospective chart review.

Settings: Medical center in Jeddah.

Patients and methods: Data were collected from all patients who presented to the ED with nontraumatic headaches and underwent brain computed tomography (CT) scans from September 2021 to September 2022.

Main outcome measures: The associated factors and predictive warning signs of intracranial pathologies.

Sample size: 387.

Results: Sixty-seven (17.31%) patients had intracranial pathologies. The median (IQR) age of all patients was 49 (23) years and females constituted 61.8%. Patients with intracranial pathologies were significantly more likely to have severe headaches (59.7% vs. 33.7%, P<.001), to have compressing or sharp headaches (16.4% vs. 6.2%, P=.003), to have constant headaches (16.4% vs. 7.8%, P=.003), to be on chemo-therapy or radiotherapy (10.5% vs. 2.8%, P=.004), and to be smokers (13.4% vs. 6.2%, P=.042) than the other group. Multiple logistic regression of headache warning signs revealed that significant changes or progression in pattern, frequency, or severity of headache (OR: 3.2, CI: 1.5-6.6, P=.001), motor deficits, including abnormal reflexes (OR: 2.9, CI: 1.2-6.9, P=.011), personality changes, confusion, memory impairment, drowsiness, slurred speech or loss of consciousness (OR: 2.6, CI: 1.4-5.0, P=.002), and sudden onset of headache (OR: 1.9, CI: 1.0-3.6, P=.046) were predictive of intracranial pathologies.

Conclusions: Our findings suggest that these four headache warning signs can help physicians predict intracranial pathologies and subsequently decide which patients should undergo brain imaging in non-traumatic headache cases.

Limitations: Single-center study and retrospective design.

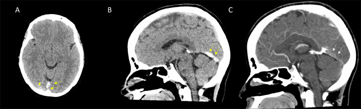
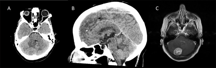
Abstract Image

Abstract Image

Abstract Image

急诊科的非创伤性头痛:识别临床关联和颅内病变的预测性警告信号。
背景:虽然头痛很常见,但估计只有3-21%是继发性的,其原因从无警示到危及生命。目的:评价急诊非创伤性头痛患者颅内病变的相关因素和预测性预警信号。设计:回顾性图表回顾。环境:吉达的医疗中心。患者和方法:从2021年9月至2022年9月期间,所有以非创伤性头痛就诊并接受脑部计算机断层扫描(CT)的患者收集数据。主要观察指标:颅内病变的相关因素及预警信号。样本量:387。结果:颅内病变67例(17.31%)。所有患者的中位(IQR)年龄为49(23)岁,女性占61.8%。颅内病变患者发生严重头痛(59.7% vs. 33.7%, PP= 0.003)、接受化疗或放疗(10.5% vs. 2.8%, P= 0.004)和吸烟(13.4% vs. 6.2%, P= 0.042)的可能性明显高于另一组。头痛警告信号的多重逻辑回归显示,头痛的模式、频率或严重程度的显著变化或进展(or: 3.2, CI: 1.5-6.6, P= 0.001)、运动缺陷,包括异常反射(or: 2.9, CI: 1.2-6.9, P= 0.011)、性格改变、精神错乱、记忆障碍、嗜睡、言语不清或意识丧失(or: 2.6, CI: 1.4-5.0, P= 0.002)和突然发作的头痛(or: 1.9, CI: 1.0-3.6, P= 0.046)是颅内病变的预测因素。结论:我们的研究结果表明,这四个头痛警告信号可以帮助医生预测颅内病变,并随后决定哪些患者应该在非创伤性头痛病例中进行脑成像。局限性:单中心研究和回顾性设计。
本文章由计算机程序翻译,如有差异,请以英文原文为准。
求助全文
约1分钟内获得全文 求助全文
来源期刊
自引率
0.00%
发文量
0
×
引用
GB/T 7714-2015
复制
MLA
复制
APA
复制
导出至
BibTeX EndNote RefMan NoteFirst NoteExpress
×
提示
您的信息不完整,为了账户安全,请先补充。
现在去补充
×
提示
您因"违规操作"
具体请查看互助需知
我知道了
×
提示
确定
请完成安全验证×
copy
已复制链接
快去分享给好友吧!
我知道了
右上角分享
点击右上角分享
0
联系我们:info@booksci.cn Book学术提供免费学术资源搜索服务,方便国内外学者检索中英文文献。致力于提供最便捷和优质的服务体验。 Copyright © 2023 布克学术 All rights reserved.
京ICP备2023020795号-1
ghs 京公网安备 11010802042870号
Book学术文献互助
Book学术文献互助群
群 号:604180095
Book学术官方微信