The Erector Spinae Plane Block with 20 or 30 mL of 0.25% Bupivicaine Provides Equivalent Postoperative Analgesia after Mastectomy: A Prospective Randomized Trial.

IF 0.9 Q3 ANESTHESIOLOGY
Merve Bıdak, Bahadır Çiftçi, Pelin Basım, Birzat Emre Gölboyu, Yunus Oktay Atalay
{"title":"The Erector Spinae Plane Block with 20 or 30 mL of 0.25% Bupivicaine Provides Equivalent Postoperative Analgesia after Mastectomy: A Prospective Randomized Trial.","authors":"Merve Bıdak, Bahadır Çiftçi, Pelin Basım, Birzat Emre Gölboyu, Yunus Oktay Atalay","doi":"10.4274/TJAR.2024.241730","DOIUrl":null,"url":null,"abstract":"<p><strong>Objective: </strong>Analgesia management following breast surgery is a critical concern. The erector spinae plane block (ESPB) is a regional anaesthesia technique that is frequently used for analgesia after breast surgery. However, there is no consensus on the volume. Therefore, the aim of this study was to compare ESPB performed using 20 mL vs. 30 mL.</p><p><strong>Methods: </strong>The study included 43 female patients with American Society of Anesthesiologist class I-II physical status. Participants were randomized into two groups: 20 mL ESPB and 30 mL ESPB. Ibuprofen (400 mg) 3x1 was ordered, and a fentanyl patient-controlled analgesia device was attached intravenously to the participants. If the pain score was ≥4, meperidine (0.5 mg kg<sup>-1</sup>) was administered.</p><p><strong>Results: </strong>Postoperative fentanyl use was similar between the groups. There was no difference in the amount of rescue analgesic use between the groups. The static and dynamic numerical rating scores were similar between the groups. No statistical difference was noted in terms of nausea, vomiting, or itching between the groups.</p><p><strong>Conclusion: </strong>A similar analgesic effect is achieved by performing ESPB using 20 or 30 mL of local anaesthetic at the same concentration.</p>","PeriodicalId":23353,"journal":{"name":"Turkish journal of anaesthesiology and reanimation","volume":"53 1","pages":"5-11"},"PeriodicalIF":0.9000,"publicationDate":"2025-02-11","publicationTypes":"Journal Article","fieldsOfStudy":null,"isOpenAccess":false,"openAccessPdf":"https://www.ncbi.nlm.nih.gov/pmc/articles/PMC11827509/pdf/","citationCount":"0","resultStr":null,"platform":"Semanticscholar","paperid":null,"PeriodicalName":"Turkish journal of anaesthesiology and reanimation","FirstCategoryId":"1085","ListUrlMain":"https://doi.org/10.4274/TJAR.2024.241730","RegionNum":0,"RegionCategory":null,"ArticlePicture":[],"TitleCN":null,"AbstractTextCN":null,"PMCID":null,"EPubDate":"","PubModel":"","JCR":"Q3","JCRName":"ANESTHESIOLOGY","Score":null,"Total":0}
引用次数: 0

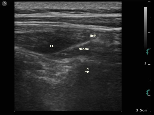
Abstract

Objective: Analgesia management following breast surgery is a critical concern. The erector spinae plane block (ESPB) is a regional anaesthesia technique that is frequently used for analgesia after breast surgery. However, there is no consensus on the volume. Therefore, the aim of this study was to compare ESPB performed using 20 mL vs. 30 mL.

Methods: The study included 43 female patients with American Society of Anesthesiologist class I-II physical status. Participants were randomized into two groups: 20 mL ESPB and 30 mL ESPB. Ibuprofen (400 mg) 3x1 was ordered, and a fentanyl patient-controlled analgesia device was attached intravenously to the participants. If the pain score was ≥4, meperidine (0.5 mg kg-1) was administered.

Results: Postoperative fentanyl use was similar between the groups. There was no difference in the amount of rescue analgesic use between the groups. The static and dynamic numerical rating scores were similar between the groups. No statistical difference was noted in terms of nausea, vomiting, or itching between the groups.

Conclusion: A similar analgesic effect is achieved by performing ESPB using 20 or 30 mL of local anaesthetic at the same concentration.

Abstract Image

Abstract Image

Abstract Image

竖脊肌平面阻滞20或30毫升0.25%布比卡因提供乳房切除术后等效的术后镇痛:一项前瞻性随机试验。
目的:乳房手术后的镇痛管理是一个关键问题。直立脊平面阻滞(ESPB)是一种区域麻醉技术,常用于乳房手术后的镇痛。然而,目前对其用量还没有达成共识。因此,本研究旨在比较使用 20 mL 和 30 mL 进行的 ESPB:研究对象包括 43 名美国麻醉师协会 I-II 级身体状况的女性患者。参与者被随机分为两组:20 mL ESPB 和 30 mL ESPB。为参与者开具布洛芬(400 毫克)3x1 的处方,并静脉注射芬太尼患者控制镇痛装置。如果疼痛评分≥4分,则注射甲哌啶(0.5毫克/公斤-1):结果:两组患者术后使用芬太尼的情况相似。结果:两组术后芬太尼用量相似,抢救镇痛药用量无差异。两组的静态和动态数字评分相似。两组在恶心、呕吐或瘙痒方面没有统计学差异:结论:使用 20 毫升或 30 毫升相同浓度的局麻药进行 ESPB 可达到相似的镇痛效果。
本文章由计算机程序翻译,如有差异,请以英文原文为准。
求助全文
约1分钟内获得全文 求助全文
来源期刊
CiteScore
1.10
自引率
0.00%
发文量
0
×
引用
GB/T 7714-2015
复制
MLA
复制
APA
复制
导出至
BibTeX EndNote RefMan NoteFirst NoteExpress
×
提示
您的信息不完整,为了账户安全,请先补充。
现在去补充
×
提示
您因"违规操作"
具体请查看互助需知
我知道了
×
提示
确定
请完成安全验证×
copy
已复制链接
快去分享给好友吧!
我知道了
右上角分享
点击右上角分享
0
联系我们:info@booksci.cn Book学术提供免费学术资源搜索服务,方便国内外学者检索中英文文献。致力于提供最便捷和优质的服务体验。 Copyright © 2023 布克学术 All rights reserved.
京ICP备2023020795号-1
ghs 京公网安备 11010802042870号
Book学术文献互助
Book学术文献互助群
群 号:604180095
Book学术官方微信