Mass Spectrometry as a First-Line Diagnostic Aid for Congenital Disorders of Glycosylation.

Q3 Physics and Astronomy
Mass spectrometry Pub Date : 2025-01-01 Epub Date: 2025-02-08 DOI:10.5702/massspectrometry.A0169
Yoshinao Wada
{"title":"Mass Spectrometry as a First-Line Diagnostic Aid for Congenital Disorders of Glycosylation.","authors":"Yoshinao Wada","doi":"10.5702/massspectrometry.A0169","DOIUrl":null,"url":null,"abstract":"<p><p>Congenital disorders of glycosylation (CDG) constitute a group of rare inherited metabolic disorders resulting from mutations in genes involved in the biosynthesis of glycan chains that are covalently attached to proteins or lipids. To date, nearly 200 genes have been identified as responsible for these disorders, with approximately half implicated in N-glycosylation defects. Diagnosis of CDG is primarily achieved through genetic analysis and the identification of glycan abnormalities, referred to as molecular phenotypes. With the increasing use of whole exome and genome sequencing in the investigation of diseases with unknown etiology, the number of cases suspected of CDG is increasing, highlighting the necessity for glycan analysis. Molecular phenotyping in CDG typically targets glycoproteins, with transferrin and apolipoprotein CIII being key representatives of N- and mucin-type O-glycosylation, respectively. Mass spectrometry (MS) provides rapid analysis and yields moderately detailed information, establishing it as a first-line molecular diagnostic tool that complements genetic analysis. Structural anomalies detected by MS can be classified into distinct patterns, which may indicate specific defects within the glycosylation pathway. In cases of CDG types that lack clear molecular phenotypes, characteristic metabolites can often be identified and quantified by MS, further aiding in the diagnostic process. Molecular diagnosis of CDG using MS can be performed with a standard mass spectrometer and a dried blood spot on filter paper, enabling its application in population-based mass screening.</p>","PeriodicalId":18243,"journal":{"name":"Mass spectrometry","volume":"14 1","pages":"A0169"},"PeriodicalIF":0.0000,"publicationDate":"2025-01-01","publicationTypes":"Journal Article","fieldsOfStudy":null,"isOpenAccess":false,"openAccessPdf":"https://www.ncbi.nlm.nih.gov/pmc/articles/PMC11808201/pdf/","citationCount":"0","resultStr":null,"platform":"Semanticscholar","paperid":null,"PeriodicalName":"Mass spectrometry","FirstCategoryId":"1085","ListUrlMain":"https://doi.org/10.5702/massspectrometry.A0169","RegionNum":0,"RegionCategory":null,"ArticlePicture":[],"TitleCN":null,"AbstractTextCN":null,"PMCID":null,"EPubDate":"2025/2/8 0:00:00","PubModel":"Epub","JCR":"Q3","JCRName":"Physics and Astronomy","Score":null,"Total":0}
引用次数: 0

Abstract

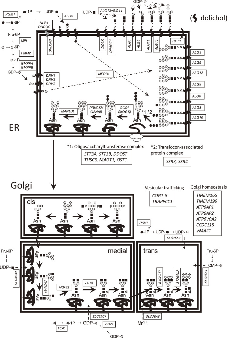
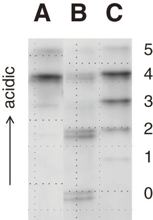
Congenital disorders of glycosylation (CDG) constitute a group of rare inherited metabolic disorders resulting from mutations in genes involved in the biosynthesis of glycan chains that are covalently attached to proteins or lipids. To date, nearly 200 genes have been identified as responsible for these disorders, with approximately half implicated in N-glycosylation defects. Diagnosis of CDG is primarily achieved through genetic analysis and the identification of glycan abnormalities, referred to as molecular phenotypes. With the increasing use of whole exome and genome sequencing in the investigation of diseases with unknown etiology, the number of cases suspected of CDG is increasing, highlighting the necessity for glycan analysis. Molecular phenotyping in CDG typically targets glycoproteins, with transferrin and apolipoprotein CIII being key representatives of N- and mucin-type O-glycosylation, respectively. Mass spectrometry (MS) provides rapid analysis and yields moderately detailed information, establishing it as a first-line molecular diagnostic tool that complements genetic analysis. Structural anomalies detected by MS can be classified into distinct patterns, which may indicate specific defects within the glycosylation pathway. In cases of CDG types that lack clear molecular phenotypes, characteristic metabolites can often be identified and quantified by MS, further aiding in the diagnostic process. Molecular diagnosis of CDG using MS can be performed with a standard mass spectrometer and a dried blood spot on filter paper, enabling its application in population-based mass screening.

Abstract Image

Abstract Image

Abstract Image

质谱法作为先天性糖基化疾病的一线诊断辅助。
先天性糖基化障碍(CDG)是一组罕见的遗传性代谢疾病,由参与共价附着在蛋白质或脂质上的聚糖链生物合成的基因突变引起。迄今为止,已经确定了近200个基因与这些疾病有关,其中大约一半与n -糖基化缺陷有关。CDG的诊断主要是通过遗传分析和聚糖异常的鉴定来实现的,称为分子表型。随着全外显子组和基因组测序在不明病因疾病调查中的应用越来越多,怀疑CDG的病例越来越多,这凸显了聚糖分析的必要性。CDG的分子表型通常针对糖蛋白,转铁蛋白和载脂蛋白CIII分别是N型和粘蛋白型o糖基化的关键代表。质谱(MS)提供快速分析和产生适度详细的信息,使其成为补充遗传分析的一线分子诊断工具。质谱检测到的结构异常可以分为不同的模式,这可能表明糖基化途径中的特定缺陷。在CDG类型缺乏明确的分子表型的情况下,通常可以通过质谱鉴定和定量特征代谢物,进一步帮助诊断过程。利用质谱法对CDG进行分子诊断,可以使用标准质谱仪和滤纸上的干血点,使其能够应用于基于人群的质量筛查。
本文章由计算机程序翻译,如有差异,请以英文原文为准。
求助全文
约1分钟内获得全文 求助全文
来源期刊
Mass spectrometry
Mass spectrometry Physics and Astronomy-Instrumentation
CiteScore
1.90
自引率
0.00%
发文量
3
×
引用
GB/T 7714-2015
复制
MLA
复制
APA
复制
导出至
BibTeX EndNote RefMan NoteFirst NoteExpress
×
提示
您的信息不完整,为了账户安全,请先补充。
现在去补充
×
提示
您因"违规操作"
具体请查看互助需知
我知道了
×
提示
确定
请完成安全验证×
copy
已复制链接
快去分享给好友吧!
我知道了
右上角分享
点击右上角分享
0
联系我们:info@booksci.cn Book学术提供免费学术资源搜索服务,方便国内外学者检索中英文文献。致力于提供最便捷和优质的服务体验。 Copyright © 2023 布克学术 All rights reserved.
京ICP备2023020795号-1
ghs 京公网安备 11010802042870号
Book学术文献互助
Book学术文献互助群
群 号:604180095
Book学术官方微信