Retropharyngeal Abscess in an Adult Patient Presenting with Neck Fullness and Dysphagia: A Case Report.

Journal of education & teaching in emergency medicine Pub Date : 2025-01-31 eCollection Date: 2025-01-01 DOI:10.21980/J8M36G
Justin Rederer, Tanner Folster, Sara Dimeo
{"title":"Retropharyngeal Abscess in an Adult Patient Presenting with Neck Fullness and Dysphagia: A Case Report.","authors":"Justin Rederer, Tanner Folster, Sara Dimeo","doi":"10.21980/J8M36G","DOIUrl":null,"url":null,"abstract":"<p><p>Retropharyngeal abscess (RPA) is an uncommon yet potentially life-threatening condition that is more often seen in young children and may be misdiagnosed in adults presenting with atypical features.1 Retropharyngeal abscess results from spread of antecedent upper respiratory tract infection or traumatic inoculation via foreign body ingestion or medical instrumentation. Clinically, RPA may present with fever, pharyngitis, neck pain, and dysphagia. Diagnosis is often confirmed with imaging studies. We present a case of a 66-year-old female with asthma, hypertension, and gastroesophageal reflux disease (GERD) who presented to the emergency department (ED) for evaluation of neck fullness, shoulder pain, dysphagia, and abdominal pain starting less than 24 hours prior to presentation. Computed tomography (CT) revealed a prevertebral/retropharyngeal fluid collection from the odontoid tip to the C4 vertebral body measuring 5.4 × 1.0 × 3.3 centimeters (cm) in size with associated edema at the left neck base extending into the upper chest, suggestive of retropharyngeal abscess. The patient received intravenous (IV) vancomycin and piperacillin/tazobactam and was transferred to a higher level of care for otolaryngologist evaluation. The patient remained stable without airway compromise while in our department. This case underscores challenges in diagnosing atypical presentations of RPA in adults, emphasizing timely recognition to prevent complications.</p><p><strong>Topics: </strong>Dysphagia, retropharyngeal abscess, prevertebral abscess, otolaryngology.</p>","PeriodicalId":73721,"journal":{"name":"Journal of education & teaching in emergency medicine","volume":"10 1","pages":"V12-V16"},"PeriodicalIF":0.0000,"publicationDate":"2025-01-31","publicationTypes":"Journal Article","fieldsOfStudy":null,"isOpenAccess":false,"openAccessPdf":"https://www.ncbi.nlm.nih.gov/pmc/articles/PMC11801486/pdf/","citationCount":"0","resultStr":null,"platform":"Semanticscholar","paperid":null,"PeriodicalName":"Journal of education & teaching in emergency medicine","FirstCategoryId":"1085","ListUrlMain":"https://doi.org/10.21980/J8M36G","RegionNum":0,"RegionCategory":null,"ArticlePicture":[],"TitleCN":null,"AbstractTextCN":null,"PMCID":null,"EPubDate":"2025/1/1 0:00:00","PubModel":"eCollection","JCR":"","JCRName":"","Score":null,"Total":0}
引用次数: 0

Abstract

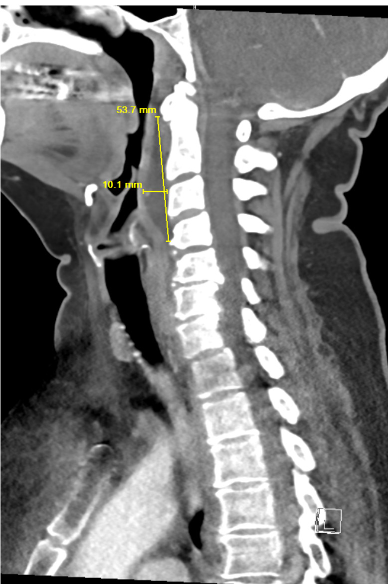
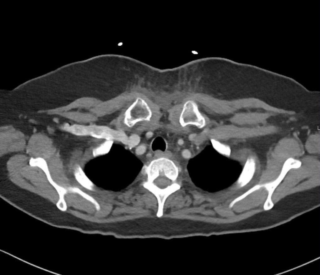
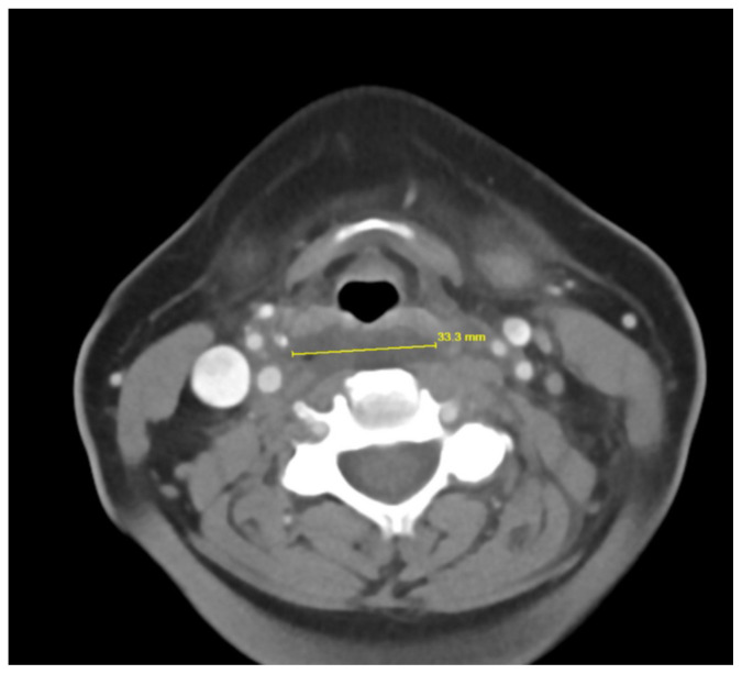
Retropharyngeal abscess (RPA) is an uncommon yet potentially life-threatening condition that is more often seen in young children and may be misdiagnosed in adults presenting with atypical features.1 Retropharyngeal abscess results from spread of antecedent upper respiratory tract infection or traumatic inoculation via foreign body ingestion or medical instrumentation. Clinically, RPA may present with fever, pharyngitis, neck pain, and dysphagia. Diagnosis is often confirmed with imaging studies. We present a case of a 66-year-old female with asthma, hypertension, and gastroesophageal reflux disease (GERD) who presented to the emergency department (ED) for evaluation of neck fullness, shoulder pain, dysphagia, and abdominal pain starting less than 24 hours prior to presentation. Computed tomography (CT) revealed a prevertebral/retropharyngeal fluid collection from the odontoid tip to the C4 vertebral body measuring 5.4 × 1.0 × 3.3 centimeters (cm) in size with associated edema at the left neck base extending into the upper chest, suggestive of retropharyngeal abscess. The patient received intravenous (IV) vancomycin and piperacillin/tazobactam and was transferred to a higher level of care for otolaryngologist evaluation. The patient remained stable without airway compromise while in our department. This case underscores challenges in diagnosing atypical presentations of RPA in adults, emphasizing timely recognition to prevent complications.

Topics: Dysphagia, retropharyngeal abscess, prevertebral abscess, otolaryngology.

Abstract Image

Abstract Image

Abstract Image

成人咽后脓肿伴颈部充盈及吞咽困难1例。
咽后脓肿(RPA)是一种罕见但可能危及生命的疾病,常见于幼儿,并可能被误诊为具有不典型特征的成人咽后脓肿是由先前上呼吸道感染的扩散或外伤性接种通过异物摄入或医疗器械引起的。临床上,RPA可表现为发热、咽炎、颈部疼痛和吞咽困难。通常通过影像学检查确诊。我们报告一个66岁女性哮喘、高血压和胃食管反流病(GERD)的病例,她到急诊科(ED)评估颈部充盈、肩部疼痛、吞咽困难和腹痛,并在就诊前不到24小时开始。计算机断层扫描(CT)显示从齿状突尖端到C4椎体的椎前/咽后积液,大小为5.4 × 1.0 × 3.3厘米(cm),伴有左颈底水肿,并延伸至上胸部,提示咽后脓肿。患者接受静脉注射(IV)万古霉素和哌拉西林/他唑巴坦,并转移到更高级别的护理进行耳鼻喉科医生评估。患者在我科期间病情稳定,无气道损伤。本病例强调了诊断成人非典型RPA的挑战,强调及时识别以预防并发症。主题:吞咽困难,咽后脓肿,椎前脓肿,耳鼻喉科。
本文章由计算机程序翻译,如有差异,请以英文原文为准。
求助全文
约1分钟内获得全文 求助全文
来源期刊
自引率
0.00%
发文量
0
审稿时长
10 weeks
×
引用
GB/T 7714-2015
复制
MLA
复制
APA
复制
导出至
BibTeX EndNote RefMan NoteFirst NoteExpress
×
提示
您的信息不完整,为了账户安全,请先补充。
现在去补充
×
提示
您因"违规操作"
具体请查看互助需知
我知道了
×
提示
确定
请完成安全验证×
copy
已复制链接
快去分享给好友吧!
我知道了
右上角分享
点击右上角分享
0
联系我们:info@booksci.cn Book学术提供免费学术资源搜索服务,方便国内外学者检索中英文文献。致力于提供最便捷和优质的服务体验。 Copyright © 2023 布克学术 All rights reserved.
京ICP备2023020795号-1
ghs 京公网安备 11010802042870号
Book学术文献互助
Book学术文献互助群
群 号:604180095
Book学术官方微信