Ferrochelatase Gene Variants Associated with Cholestasis in Adults: A Case Report.

IF 4.2 3区 医学 Q2 GASTROENTEROLOGY & HEPATOLOGY
Xiaona Lu, Kun Liu, Wenlan Zheng, Xuemei Zhang, Jia Shi, Shihan Yu, Yueqiu Gao, Hai Feng, Zhuo Yu
{"title":"Ferrochelatase Gene Variants Associated with Cholestasis in Adults: A Case Report.","authors":"Xiaona Lu, Kun Liu, Wenlan Zheng, Xuemei Zhang, Jia Shi, Shihan Yu, Yueqiu Gao, Hai Feng, Zhuo Yu","doi":"10.14218/JCTH.2024.00304","DOIUrl":null,"url":null,"abstract":"<p><p>We reported a case of recurrent liver dysfunction in an adult patient with a history of abnormal liver enzymes persisting for over ten years. The primary abnormalities included elevated levels of gamma-glutamyl transferase and alkaline phosphatase. Despite conducting a series of extensive etiological tests to identify common causes of liver disease, the diagnosis remained unclear. However, whole-exome next-generation sequencing revealed a homozygous intronic mutation in the ferrochelatase gene (c.315-48T>C), which may be associated with the patient's cholestasis.</p>","PeriodicalId":15484,"journal":{"name":"Journal of Clinical and Translational Hepatology","volume":"13 2","pages":"173-177"},"PeriodicalIF":4.2000,"publicationDate":"2025-02-28","publicationTypes":"Journal Article","fieldsOfStudy":null,"isOpenAccess":false,"openAccessPdf":"https://www.ncbi.nlm.nih.gov/pmc/articles/PMC11797824/pdf/","citationCount":"0","resultStr":null,"platform":"Semanticscholar","paperid":null,"PeriodicalName":"Journal of Clinical and Translational Hepatology","FirstCategoryId":"3","ListUrlMain":"https://doi.org/10.14218/JCTH.2024.00304","RegionNum":3,"RegionCategory":"医学","ArticlePicture":[],"TitleCN":null,"AbstractTextCN":null,"PMCID":null,"EPubDate":"2024/11/28 0:00:00","PubModel":"Epub","JCR":"Q2","JCRName":"GASTROENTEROLOGY & HEPATOLOGY","Score":null,"Total":0}
引用次数: 0

Abstract

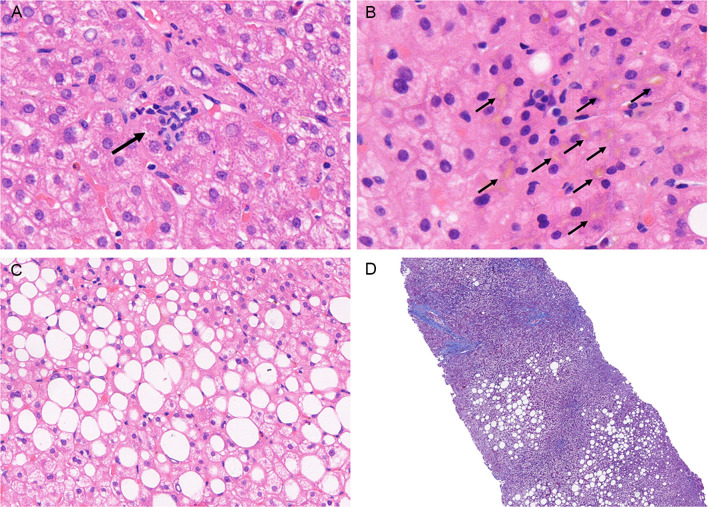
We reported a case of recurrent liver dysfunction in an adult patient with a history of abnormal liver enzymes persisting for over ten years. The primary abnormalities included elevated levels of gamma-glutamyl transferase and alkaline phosphatase. Despite conducting a series of extensive etiological tests to identify common causes of liver disease, the diagnosis remained unclear. However, whole-exome next-generation sequencing revealed a homozygous intronic mutation in the ferrochelatase gene (c.315-48T>C), which may be associated with the patient's cholestasis.

Abstract Image

Abstract Image

Abstract Image

铁螯合酶基因变异与成人胆汁淤积症相关:1例报告。
我们报告一例复发性肝功能障碍的成人患者的历史异常肝酶持续超过十年。原发性异常包括γ -谷氨酰转移酶和碱性磷酸酶水平升高。尽管进行了一系列广泛的病因学测试,以确定肝脏疾病的常见原因,但诊断仍不清楚。然而,下一代全外显子组测序显示,铁螯合酶基因(C .315- 48t >C)存在纯合子内含子突变,这可能与患者的胆汁淤积有关。
本文章由计算机程序翻译,如有差异,请以英文原文为准。
求助全文
约1分钟内获得全文 求助全文
来源期刊
Journal of Clinical and Translational Hepatology
Journal of Clinical and Translational Hepatology GASTROENTEROLOGY & HEPATOLOGY-
CiteScore
6.40
自引率
2.80%
发文量
496
×
引用
GB/T 7714-2015
复制
MLA
复制
APA
复制
导出至
BibTeX EndNote RefMan NoteFirst NoteExpress
×
提示
您的信息不完整,为了账户安全,请先补充。
现在去补充
×
提示
您因"违规操作"
具体请查看互助需知
我知道了
×
提示
确定
请完成安全验证×
copy
已复制链接
快去分享给好友吧!
我知道了
右上角分享
点击右上角分享
0
联系我们:info@booksci.cn Book学术提供免费学术资源搜索服务,方便国内外学者检索中英文文献。致力于提供最便捷和优质的服务体验。 Copyright © 2023 布克学术 All rights reserved.
京ICP备2023020795号-1
ghs 京公网安备 11010802042870号
Book学术文献互助
Book学术文献互助群
群 号:604180095
Book学术官方微信